目の下のクマ、顔のシワ・たるみ治療専門 | 二子玉川美容外科クリニック
電話受付: 休止中(メールのみ)
診療時間:10〜19時(完全予約制)
ある
ない
目の下のクマ・たるみを取る方法【あなたに適した方法の選び方】
目の下の脱脂で後悔した方のパターンの分析から得られる失敗学
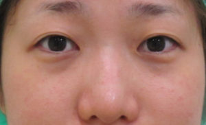
グロースファクター注入療法【クマ、顔のシワ・たるみ治療専門】
「メラフェード」・・・通院せずに気軽に自宅でシミ・くすみ・小ジワ治療
目の下のたるみ・クマ治療の実例と結果を出すための3ステップ
鼻根部のグロースファクター|顔のシワ専門・二子玉川美容外科クリニック
鼻根部のシワ|顔のシワ専門・二子玉川美容外科クリニック
施術名:グロースファクター注入療法
鼻下のグロースファクター|顔のシワ専門・二子玉川美容外科クリニック
当院テナントビルの大規模改修工事のお知らせ