目の下の赤クマに悩んでいませんか?
赤クマは、目の下が赤くなっている状態です。
そのような方は、赤み以外に、だいたい目の下に「ふくらみとくぼみ」もあることが多いです。
目の下のふくらみ・くぼみは、一般的に黒クマ・影クマと呼ばれています。
では、赤クマを治すにはどのようにすればよいのでしょうか?
実は、脱脂(経結膜脱脂法)で圧力を減らせば、赤クマは改善します。

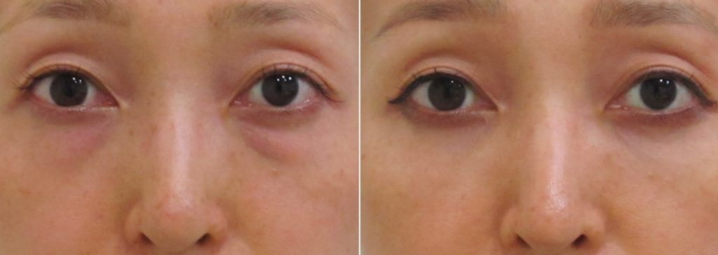
赤クマの治療前後です。
赤クマがなくなっています。
それと同時に、目の下の凹凸(黒クマ)も取れています。
施術名:経結膜脱脂+グロースファクター
ここでは、目の下の赤クマの原因・自宅ケア・治療法について詳しく解説いたします。
「赤クマを解消したい!」という方は、ぜひ参考にしてみて下さい。
目次
目の下の赤み(赤クマ)の原因
なぜ赤クマでは目の下が赤くなるのでしょうか?
赤クマの原因は、皮膚のすぐ裏側にある眼輪筋という筋肉が透けて、赤く見えていることによります。
特に目の下の脂肪の圧力が高まっていると出やすくなります。
ちなみに、眼輪筋は、皮膚と脂肪の間にあります。
また、元々皮膚が色白の方は、目の下の毛細血管の色が透けて見えやすい傾向にあります。
ただし、このような方は、涙袋も同時に赤く見えることが多いです。
一方、上記の目の下の脂肪(眼窩脂肪)の圧力による赤クマの場合は、涙袋はそれほど赤くなりません。
赤クマと茶クマとの違いは?
茶クマとは、目の下のシミ・くすみ・色素沈着によるものです。
目の下の皮膚を引っ張ってみて下さい。
皮膚が茶色いようでしたら、茶クマです。
ただし、見分ける時の注意点として、屋内の暗めの場所ですと分かりづらいです。
屋根のない屋外で、斜め45度から拡大した写真を撮ると、シミ・くすみが鑑別しやすくなります。
実際の赤クマがある方の画像
赤クマがある方は、たいてい黒クマも伴っています。
黒クマは、目の下のふくらみ(脂肪)+くぼみによるものです。
目の下の脂肪のふくらみが多い方は、黒クマの影により、赤クマは、赤黒く見える傾向があります。
赤クマに有効な改善方法は?
目の下の赤クマの原因として、①目の下の皮膚が薄くなっている、②目の下の脂肪(眼窩脂肪)が眼輪筋を圧迫しているということが挙げられます。
したがって、対処法としては、以下の2つを行えば、赤クマが改善します。
①目の下の皮膚が薄くなっている⇒グロースファクター注入
②目の下の脂肪(眼窩脂肪)が眼輪筋を圧迫している⇒経結膜脱脂法
上記の方々は、ともに目の下の脱脂手術を受けられています。
逆に言うと、これくらい目の下の赤みがある方は、脱脂手術を受けられない限りは、赤クマが残ることが多いです。
赤クマの治療例
手術による治療例
CASE1
術前/術後4か月・・・目の下の脂肪が飛び出していますが、赤クマが強く、メイクでも隠せないくらい赤みを帯びています。
経結膜脱脂+グロースファクターによる治療で目の下の凹凸と赤クマが改善しています。
詳細な経過>>
CASE2

術前・・・目の下に赤クマが見られます。
脱脂+グロースファクター以外に頬、ほうれい線のグロースファクターも受けられました。
その他、メラフェードによるシミ・くすみ治療も受けられています。

6か月後・・・赤クマを含めた目の下のクマが解消されています。
口元のシワ・たるみもきれいになり、肌全体も明るくなった印象です。
詳細な経過>>
非手術による治療例
グロースファクターのみですと、眼輪筋への目の下の脂肪の圧迫は変わらないので、完全に赤みは取れるわけではありませんが、皮膚が薄くなることで赤みが透けて見えづらくなり、赤クマはある程度改善します。
CASE1

施術前・・・脂肪の量(進行度) としては軽度~中等度です。
赤クマが見られます。
目の下のグロースファクターを受けられました。

1年2ヵ月後・・・赤みは多少残っていますが、改善が見られています。
元々目の下の脂肪の量は中等度で、本来は、目の下だけでなく、頬のグロースファクターまで受けられた方が確実と考えます。
詳細な経過>>
CASE2

施術前・・・目の下にはふくらみ・くぼみがあり、さらに赤クマも見られます。
目の下+頬のグロースファクターを受けられました。
6か月後の時点で、目の下に少量追加投与を受けられています。

9か月後・・・目の下の凹凸がさらに改善しています。
また、赤い感じも少なくなっています。
詳細な経過>>
脱脂をしたのに「赤クマが治らない」場合は、何が考えられるか?
目の下の脱脂をしたのに「赤クマが治らない」ということもあります。
経結膜脱脂法をすれば、必ず赤い色が治るわけではありません。
脂肪を、控えめに、残し気味で取ると、赤クマが残ってしまいます。
これは、「脱脂後にくぼんだ」という事態を避けるために控えめに取っていることが考えられます。
当院の経結膜脱脂法は、脂肪を過不足なく取るようにしています。(脱脂の成功のポイント>>)
ご自分でできる赤クマ対策
以下のケア方法がネットで紹介されているかもしれません。
- 温める
- スマホの使用を控える
- マッサージ
しかし、残念ながら、これらは赤クマの原因を除去することはできません。
サプリメントを飲んだりしても、赤クマはなかなか改善しません。
また、マッサージをした場合、摩擦による色素沈着で、茶クマがプラスされ、黒ずむことで、余計に赤クマが気になってしまうことにもなりかねません。
アイクリームも、あいにく赤クマの原因を改善するほどの効能は期待できないとお考え下さい。
赤クマを含めた全てのクマの治し方は?
「私は、赤クマ以外に他の種類のクマもありそうなので、全てまとめて治したい!」と思っていますか?
そのためには、以下の2つが重要です。
・「クマの種類」を正確に把握する⇒クマの種類の簡単な見分け方>>
・クマの治療法を知る⇒
当院の方針を知りたい方はこちら>>
一般的な目の下のクマの治し方を網羅的に比較したい方はこちら>>
【無料】目の下診断ツール
質問に答えていくだけで、今すぐあなたの目の下のクマの治療法や種類が分かります。
次をクリックして下さい。
赤クマの関連記事
「赤クマを早く治したい」という方は、こちらをご覧下さい。
赤クマの改善方法の詳細>>
赤クマの原因を知りたい方は、次をクリックして下さい。
赤クマの原因についての詳細>>
「赤クマの状態ってどんな感じ?」という疑問を解消したい方は、こちら。
赤クマの画像の詳細>>
「いろいろ試したけど、赤クマが治らない!」という方は、次のページをご参考にしてみて下さい。
赤クマが治らない場合の詳細>>
「自力で赤クマを何とかしたい」という方は、こちらです。
セルフケアによる赤クマ対策の詳細>>
その他の目の下のクマの関連記事
青クマや紫クマは、治療により改善することができますか?
青クマの原因・治療・自力ケアについて【形成外科専門医が解説】
黒クマ | 特徴と原因、見分け方、ご自分でできる対策と治し方
茶クマについて【画像・原因・自宅ケア・治療法を専門医が解説】
目の下のクマの種類の見分け方【クマ治療専門クリニックが解説】
目の下のたるみ・クマ治療の実例と結果を出すための3ステップ
目の下のクマの種類の見分け方【クマ治療専門クリニックが解説】














