お勧めの治療法
中等度より進んだ状態(重度)の目の上のくぼみは、グロースファクターで改善可能です。
しかし、目の上はまばたきによる動きが常にがあるため、他の部位と比較して、グロースファクターが多少分散する傾向があります。
そのため、半年経った仕上がりは、注入直後よりも多少物足りなくなることがあります。
つまり、追加治療が必要になることもあります。
特に目の上のくぼみが重度の方は、追加治療が2回必要になることもまれではありません。
1回の治療後の仕上がりは中等度くらいの状態になり、追加治療を行うごとに軽度、さらにくぼみがない状態になるのが一般的な経過です。
ただし、これには多少個人差はあります。
追加治療を受けられる方の割合は、目の上のグロースファクターを受けられた方のおよそ20%ですが、どこまでをゴールに求められるかにもよります。
中にはあえて控えめを目指して、追加を希望されないで様子を見られる方もいらっしゃいます。
ちなみに、全く変化しなかったということはこれまでありませんでした。
追加料金は、初回料金の半額になります。
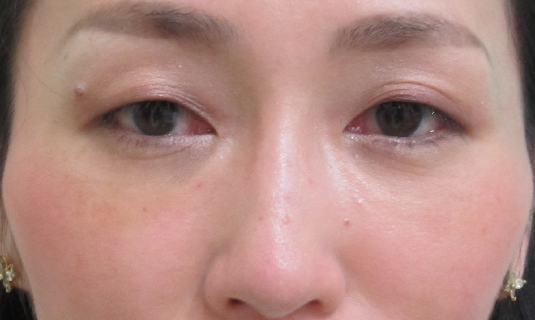
目の下のたるみ・クマ治療(経結膜脱脂法および目の下のグロースファクター)と目の上のくぼみ(くぼみ目)治療を同時に受けられたモニターの方です。
術前・・・目の上のくぼみは重度の状態です。
6か月後・・・軽度から中等度くらいに改善しています。
これ以上の改善は希望されませんでした。
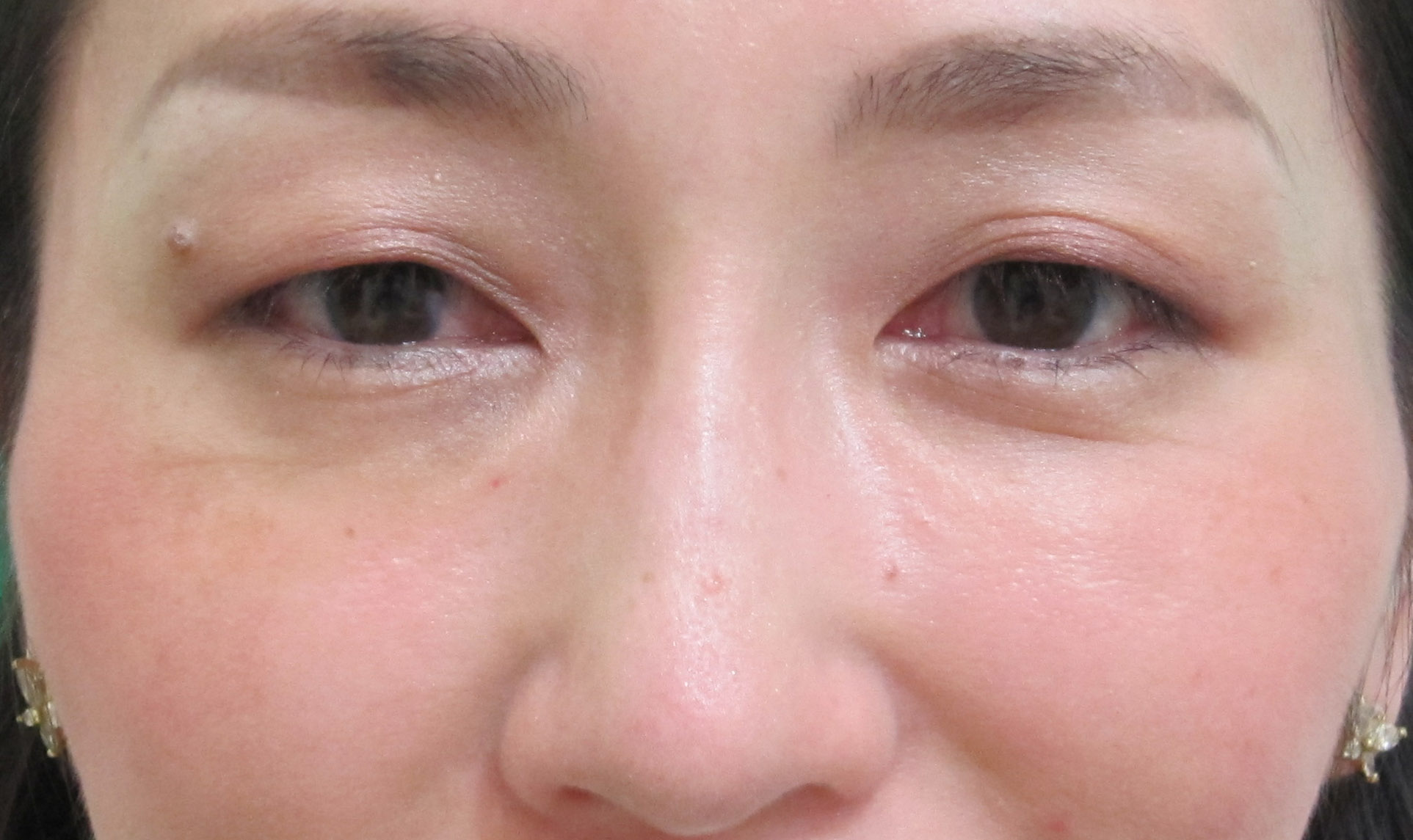
術前・・・斜めから見た状態です。
6か月後・・・目の上のくぼみ・クマが目立たなくなっています。
術前
6か月後
術前・・・笑った状態です。
6か月後・・・笑った状態でも違和感はありません。
触ってもしこりなどもありません。
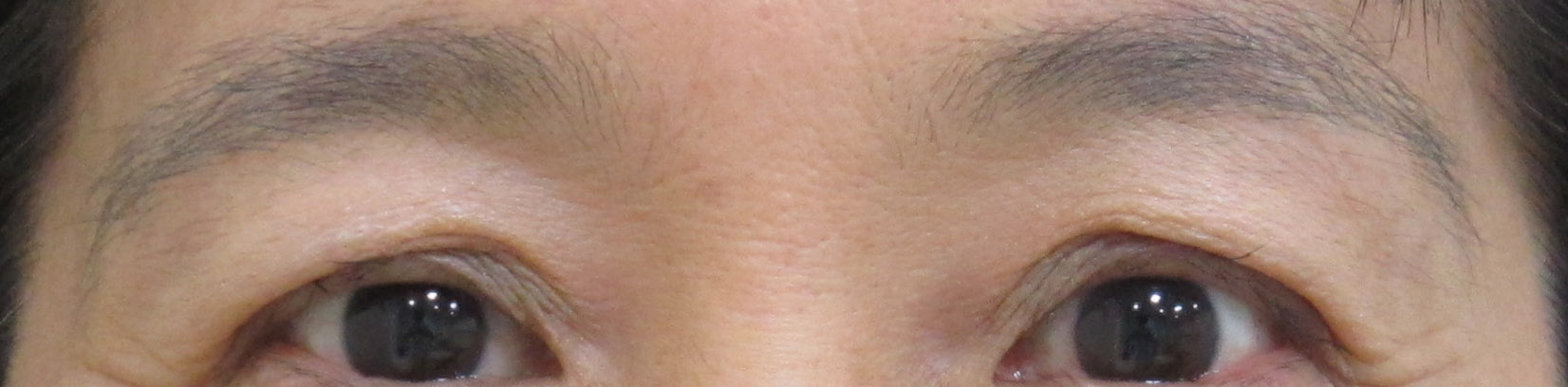
目の上のグロースファクターを受けられたモニターの方です。

施術前
6か月後・・・中等度くらいの状態に改善しています。
この時点で追加投与を受けられています。

1年後・・・軽度の状態に改善してます。
再度追加投与を受けられました。

1年6か月後・・窪みがない状態に改善しています。
この状態で長期維持されます。

施術前

6か月後

1年後・・・追加投与の間隔は、基本的には半年空けていただきます。
1年6か月後・・・特に上まぶたのたるみがおありの方は、くぼみを完全に治すと、多少二重の幅が狭くなります。
![]()
施術前・・・笑った状態の比較です。
1年6か月後・・・笑っても違和感はありません。
目の上のグロースファクターおよびメラフェードによる治療を受けられたモニターの方です。

施術前・・・重度のくぼみが見られます。
1年後・・・わずかに改善が見られていますが、くぼみが残っています。
この時点で追加治療を受けられました。
1年3か月後・・・わずかにくぼみがのこっていますが、さらに改善が得られています。
施術前
1年後
1年3か月後
施術前
1年3か月後・・・この時点では、多少お顔のむくみがあるかもしれません。
一旦仕上がった後も、目の上は、朝晩などの時間帯や季節・気候(特に乾燥)、疲労や体調による変化が出やすい場所なので、目の上のくぼみは変動することがあります。
次の方は、ほぼ同時期に撮影したお写真で、右の疲労時のお写真では、くぼみが増していてます。
そのため、もしご予約を取られるとしたら、夕方の時間帯をお勧めいたします。
料金は以下の通りです。(両側、税込み、麻酔クリーム代込み)
目の上のグロースファクター 195,000円
よろしければ以下の詳細をご覧下さい。
目の上のグロースファクター
症例写真 | 目の上のグロースファクター





















