目の上のグロースファクターを受けられたモニターの方です。
目の上のくぼみが気になられているそうです。
また、二日酔いの次の日は、むくみにより、くぼみが気になられないこともあるそうです。
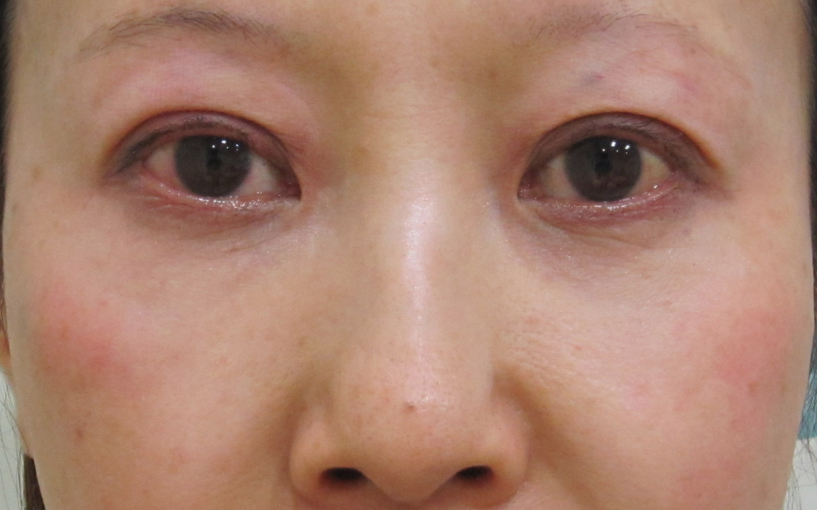
施術前・・・目の上のくぼみが見られます。
目の上のくぼみの進行度としては、「重度」の状態です。
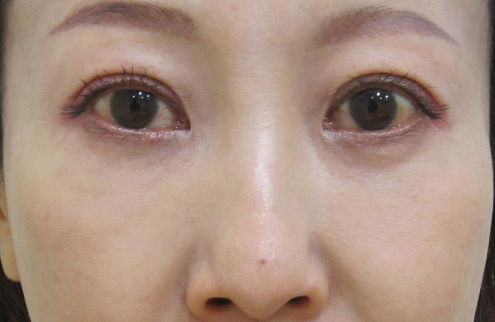
施術直後・・・よく見たら、ポツポツと注射の跡が見られますが、それほど目立ちません。
ただし、後から出血が起こることもあるので、帰られる際はゆっくりと帰っていただき、1週間程度はできるだけ安静に過ごしていただきます。
グロースファクターの最終結果が出るのは3~6か月後です。
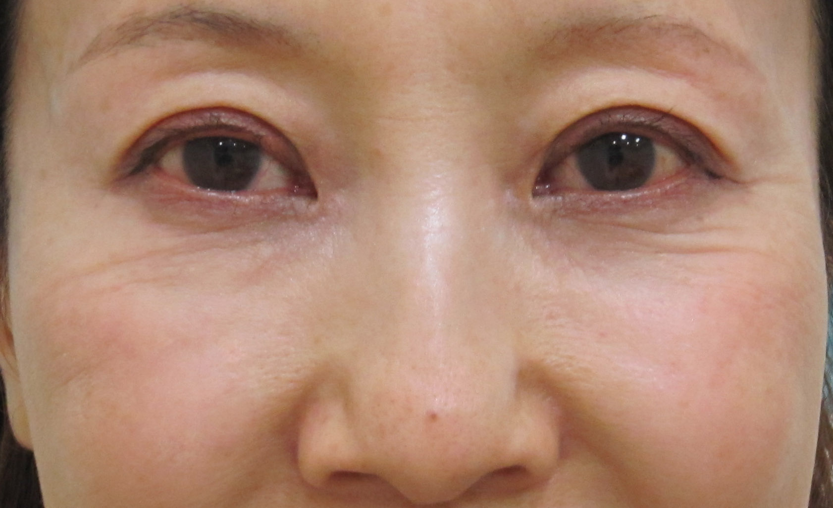
6か月後・・・くぼみが改善されています。
ご本人様も結果にご満足されているとのことでした。
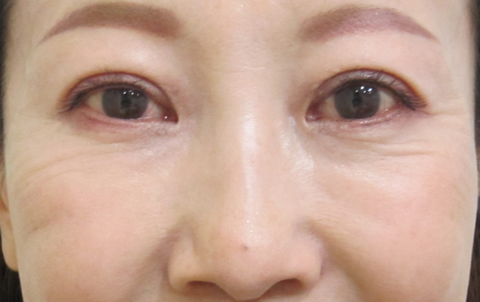
1年11か月後・・・いい状態を維持されています。
施術前・・・斜めから見た状態の比較です。
6か月後・・・自然な仕上がりになっています。
1年11か月後
施術前・・・反対側です。
6か月後・・・きれいになっていますね。
1年11か月後・・・ごくわずかに二重が狭くなっています。
一般的に、目の上のグロースファクターのリスクとして、腫れ・内出血以外に、くぼみの中に奥まっている皮膚が手前に出てくることで、二重が多少狭くなることがあります。(詳細はこちら>>)
施術前・・・笑った状態の比較です。
1年11か月後・・・笑っても違和感はありません。
施術名:グロースファクター注入療法
よろしければ診断ツールをご利用ください
質問に答えていくタイプのツールです。
あなたのお顔のシワ・たるみの種類や状態、さらに適切な治療法が分かります。
次をクリックしていただくと、セルフチェックのページに移動します。
関連記事
目のくぼみ(まぶたの窪み)に対するグロースファクター注入治療の詳細はこちらをご覧下さい。
グロースファクター注入療法の詳細・治療の流れ等はこちらをご覧下さい。
















