目の下のたるみ・クマ治療+目の上のくぼみ治療 9ヵ月後の経過
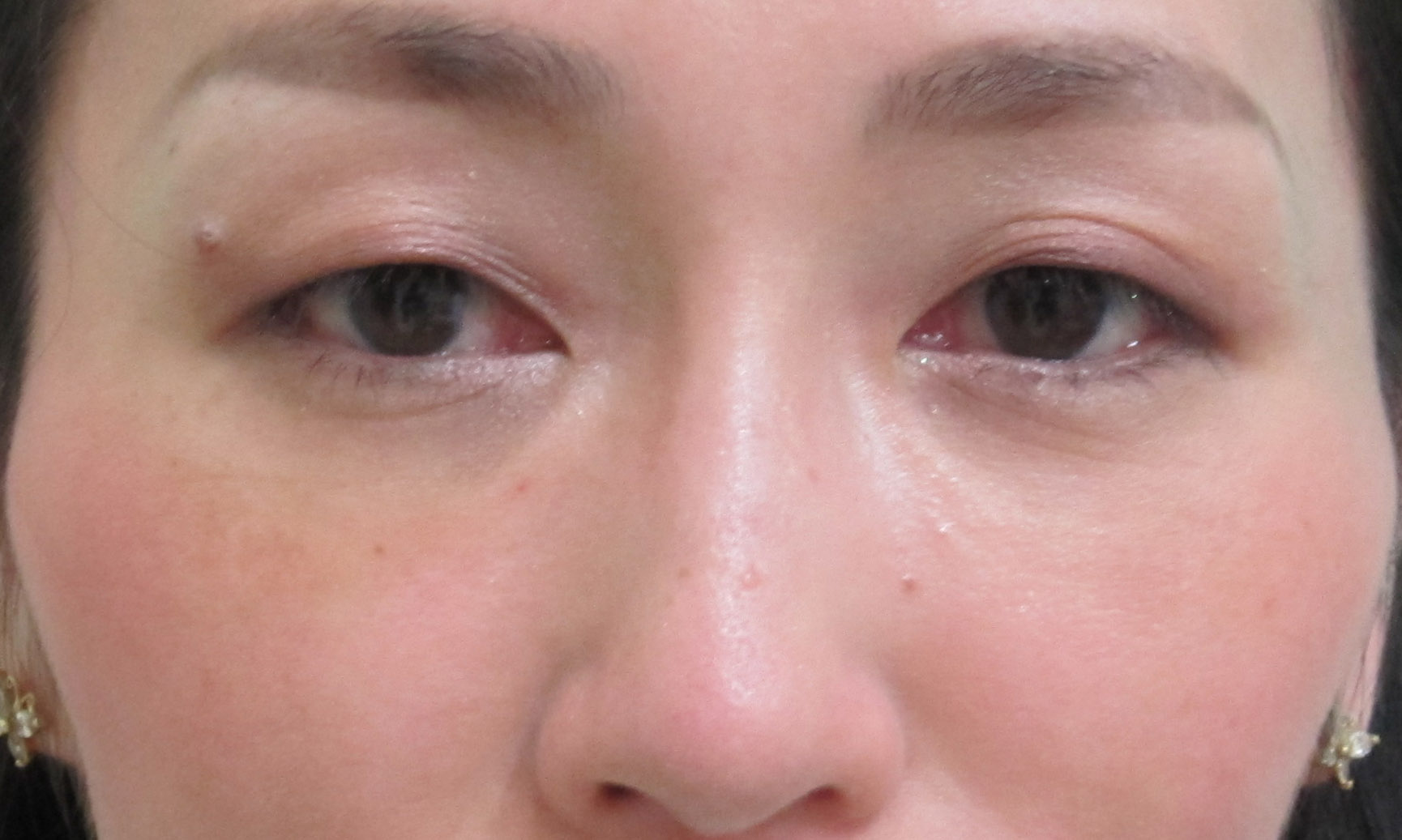
30代女性 目の下のクマ 他院脱脂後の修正+右目の上のくぼみ治療(グロースファクター注入療法)
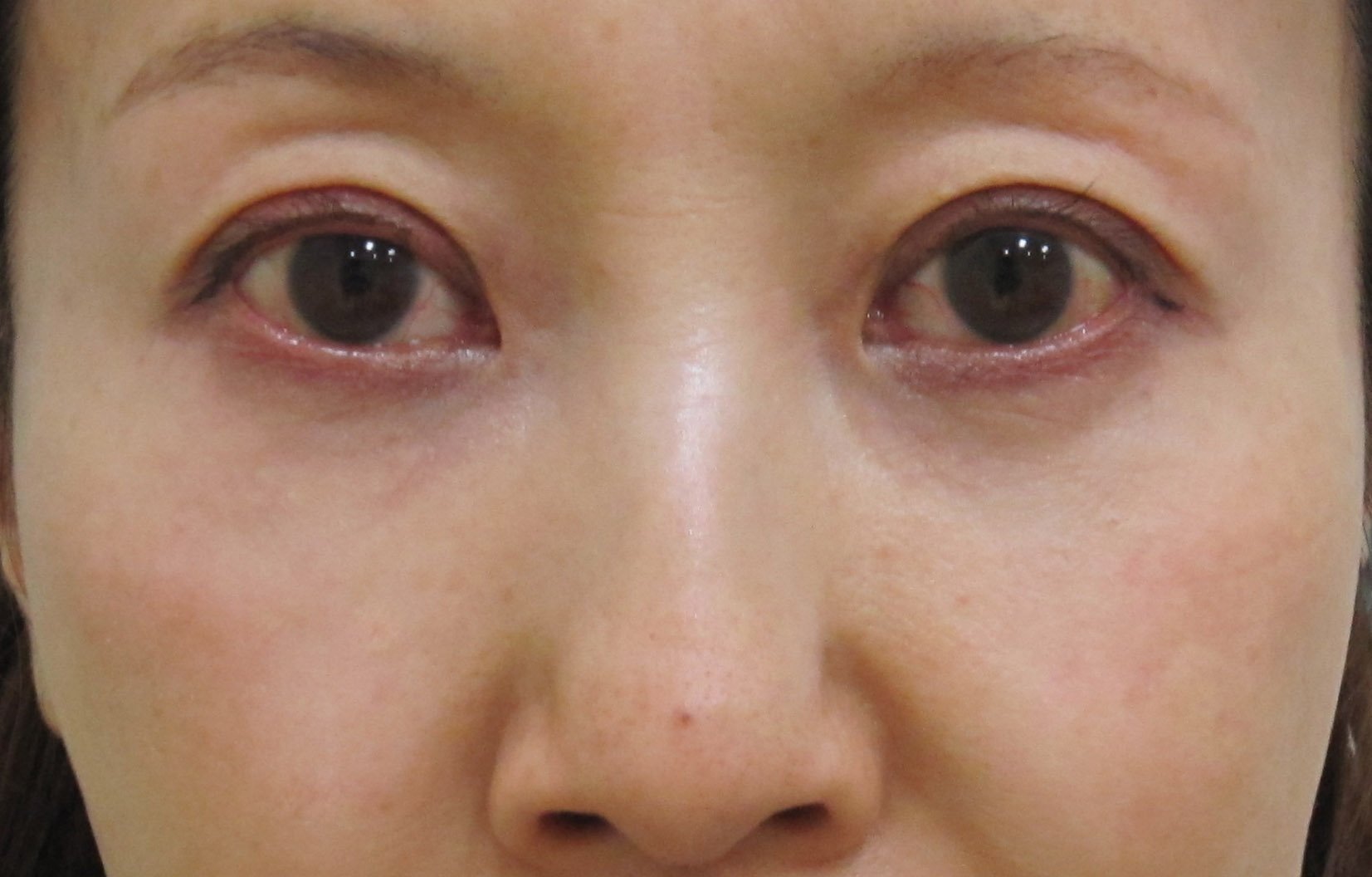
30代女性 目の上のくぼみ治療(グロースファクター) 2年後の経過
30代女性 目の上のくぼみ治療(グロースファクター) 1年1ヵ月後の経過
30代女性 目の上のくぼみ治療(グロースファクター)+メラフェード
各施術の詳細はこちらをご覧下さい。
- 経結膜脱脂手術
- 手術しない目の下のクマ治療
- グロースファクター注入療法
- 頬のグロースファクター
- 法令線のグロースファクター
- 口角のグロースファクター
- 目の上のグロースファクター
- 手の甲(手背)のグロースファクター
- 頸部のグロースファクター
- メラフェード
























