目の下のクマ・たるみへの「経結膜脱脂法(脱脂)」を検討されていますか?
経結膜脱脂法は、まぶたの裏側から脂肪を取る「目の下のたるみ取りの手術」です。
「手術は抵抗がある」という方もいらっしゃるかもしれませんが、実は手術の中では、比較的簡単な手術の部類になります。
「どこで手術を受けても同じでしょうか?」
確かに比較的気軽にできる手術なので、多くのクリニックで行われています。
しかし、簡単にできることときれいに仕上がることは別なのです。
実は、きれいに仕上げないと、ふくらみ(脂肪)の取り残しがあったり、左右差や凹凸、取りすぎによるくぼみが出ることがあり、後悔することにならないとも限りません。
もし私が身内にアドバイスをするなら、「失敗するくらいなら経結膜脱脂法は受けない方がよい」と伝えます。
なぜなら、修正治療は費用や時間がかかるだけではなく、癒着などの問題もあり、ややこしくなるためです。
ですので、このような治療は1回でバシッと仕上げるのがベストです。
きれいに仕上げるノウハウ、リスクを回避する知識があれば、経結膜脱脂法は高い再現性で成功することが可能です。
この記事を読んでいただくと、目の下のクマ治療専門クリニックでは、どのように経結膜脱脂法を行っているかがお分かりになると思います。
こちらを読んでいただき、きれいな目元を取り戻せる参考になれば幸いです。
なお、こちらのページは、経結膜脱脂法についてかなり詳細に書かれてあります。
概要のみをお知りになりたい方は、以下をご覧下さい。
目次
- 経結膜脱脂法+グロースファクターの経過写真(年代別)
- 経結膜脱脂法とは
- 経結膜脱脂法が向いている方
- 経結膜脱脂法を受けられる年齢について
- 経結膜脱脂法の痛みについて
- 経結膜脱脂法の手順
- 経結膜脱脂法と同時に行う目の下のくぼみ治療について
- 経結膜脱脂法で起こり得る危険性・リスク・副作用
- 目の下の脂肪の量が「重度」の方向けのお勧めの脱脂の方法
- 経結膜脱脂法を行って後悔した方とは?
- 経結膜脱脂法の所要時間の目安
- 料金表(税込み、麻酔代込み)
- 経結膜脱脂法に関するQ&A
- 経結膜脱脂法は目(眼球)に影響はありませんか?
- 手術時間はどれくらいですか?
- 経結膜脱脂法の術後にシワが出ますか?
- 経結膜脱脂法の術中・術後の痛みはありますか?
- 「脱脂のみ」でグロースファクターをしない場合はどうなりますか?
- 術後の安静期間はどれくらい必要ですか?
- 脱脂+グロースファクターで青クマや赤クマは治りますか?
- 術後に数年で脂肪が出てくることはありますか?
- 脱脂+脂肪注入はできますか?
- 脱脂を行った後、脂肪を取りすぎてくぼみが残ることはありませんか?
- 私の目の下のたるみ・クマは、経結膜脱脂法で良くなりますか?
- 経結膜脱脂法の後、どれくらい休みを取ればいいですか?
- 経結膜脱脂法の後、グロースファクターはどのタイミングで注射するのですか?
- 脱脂当日の帰宅方法に制限はありますか?当日は宿泊した方がよいでしょうか?
- 脱脂後の通院は必要ですか?
- 術後の飲酒・入浴などについてはどのようにすればよいでしょうか?
- 経結膜脱脂法を検討中ですが、事前に気を付けるべきこと・知っておくべきことはありますか?
- 普段使っている目薬は、術前・術後に継続できますか?
- 経結膜脱脂と「ハムラ法・裏ハムラ」の違いは何ですか?
- ボトックスやHIFUを受けていますが、脱脂手術を受けられますか?
- 脱脂+グロースファクターの効果がどれくらい維持されますか?
- この治療を受けることで、後々何かに影響や問題はありますか?
- 治療後すぐにマスクを着用できますか?
- 経結膜脱脂術後、横向きで寝ても大丈夫ですか?
- 術後に処方は出ますか?
- 経結膜脱脂後の表情筋トレーニングはいつから可能ですか?
- 経結膜脱脂後の美顔器や顔のマッサージ、顔の脱毛、フォトフェイシャルはいつから可能ですか?
- 脱脂手術当日、食事・水分制限はありますか?
- よろしければ診断ツールをご利用ください
- 経結膜脱脂法の適否を無料でご相談できます
- ご予約・お問い合わせはこちら
- 関連記事
経結膜脱脂法+グロースファクターの経過写真(年代別)
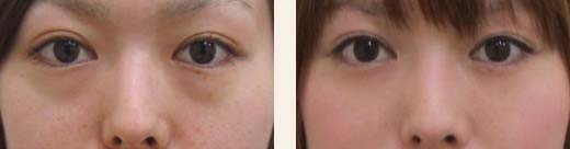
20代女性
20代の方ではふくらみは初期段階のことが多いです。早めに経結膜脱脂法+グロースファクターを行うことで今後の進行を予防できます。

術前 / 6か月後
詳細な経過≫

術前 / 6か月後
詳細な経過≫

術前 / 6か月後
詳細な経過≫
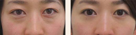
30代女性
30代の方では、皮膚のたるみにより目の下の窪みも目立つことが多いです。
当院のグロースファクターでは仕上がりも自然です。

術前 / 6か月後
詳細な経過≫

術前 / 6か月後
詳細な経過≫

術前 / 6か月後
詳細な経過≫
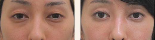
40代女性
40代の方では、ふくらみがある程度進行していることが多く、またシミを伴っていることもあります。
当院では、ともに解決する方法も提案できます。

術前 / 6か月後
詳細な経過≫

術前 / 6か月後
詳細な経過≫

術前 / 6か月後
詳細な経過≫

術前 / 6か月後
詳細な経過≫
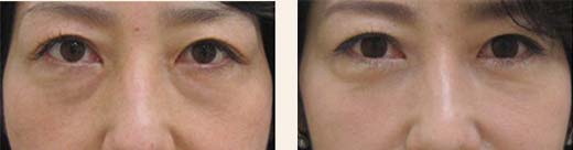
50代女性
50代の方では皮膚が薄くなっていることが多いので、経結膜脱脂法の後に小ジワが出ないようにする必要があります。
当院では、丁寧なフォローアップにより術後の小ジワを解決することが可能です。

術前 / 6か月後
詳細な経過≫

術前 / 6か月後
詳細な経過≫

術前 / 6か月後
詳細な経過≫
30代男性
男性の方では脂肪のふくらみや窪みから生じる凹凸が大きいことが特徴ですが、自然な仕上がりになるように致します。
また、丁寧な経結膜脱脂法により術後のダウンタイムも最小限になるような工夫をしています。

術前 / 6か月後
詳細な経過≫
40代男性
40代以降の男性の方では、日焼け・喫煙などの影響により皮膚が薄くなっていることが多いです。
脂肪注入やヒアルロン酸などの詰め物による治療では、皮膚そのものは変わらないため、小ジワが残ることが多いですが、グロースファクターは皮膚のハリを出し、若々しい目元になるように仕上げられます。

術前 / 7か月後
詳細な経過≫
※その他の「経結膜脱脂法+グロースファクター」の経過写真は、こちらをご覧ください。
※手術しない目の下のクマ治療(グロースファクターの注射のみによる切らない目の下のたるみ取り)の経過写真はこちらです。
※経結膜脱脂法による「笑った時のふくらみの改善」については、以下をご覧下さい。
【笑った時の目の下のふくらみ】経結膜脱脂法による30の治療例>>
経結膜脱脂法とは
経結膜脱脂法(脱脂)は、目の下のたるみ・クマの治療法の一つです。

これは、まぶたの裏側から皮膚を切らずに眼窩脂肪(図の赤で囲った部分)を取る方法です。
取る量は、飛び出している余分な部分だけです。
眼球への影響はありません。
青い矢印は、まぶたの裏側からの進入経路が最短距離です。
まぶたの裏の結膜を1cm前後炭酸ガスレーザーで切開して、飛び出している分だけ脂肪を取ると(経結膜脱脂法)、目の下のふくらみがなくなります。
経結膜脱脂法のみだと、目の下にくぼみが残ることが多いため、経結膜脱脂法だけを行うことは当院では通常行いません。
当院では、目の下のくぼみ治療として、グロースファクターを皮膚の外から注入します。
経結膜脱脂法が向いている方
黒クマ・赤クマがある方
クマの種類により、経結膜脱脂法(脱脂)が適しているかどうかが異なります。
黒クマ(影クマ)や赤クマがある方は、経結膜脱脂法の適応となります。
ただし、黒クマ(影クマ)・赤クマともにある程度まではグロースファクター注射治療のみでも改善可能です。
(グロースファクターによる「手術しない目の下のクマ治療」>>)
なお、青クマについては、「経結膜脱脂法+グロースファクター」の際に、グロースファクターにより皮膚のコラーゲンが増えて透けて見えづらくなることで、ある程度改善します。
ただし、目の上と同じくらいの青い色が残ることが多いです。
目の下のふくらみが多めの方
目の下のふくらみの進行度が中等度~重度の方は、「脱脂+グロースファクター」が効果的なことが多いです。
「笑った時に目の下にぷっくりとしたふくらみ」がある方
「笑った時に目の下にぷっくりとしたふくらみ」がある方は、脱脂が向いています。(脱脂による笑った時のふくらみの治療例>>)
ただし、グロースファクターのみでも改善できることがあります。
したがって、まずは真顔の状態での改善をどこまで目指すかを考えます。
治療方針の選択の詳細については、以下をご覧下さい。
目の下のクマ・たるみを取る方法【あなたに適した方法の選び方】>>
経結膜脱脂法を受けられる年齢について
経結膜脱脂法は、基本的には何歳の方でも受けられます。(経結膜脱脂法を受けられた方の年齢の詳細>>)
ただし、一般的に50代以上の方やこれまでに紫外線を多く浴びられてきた方は、経結膜脱脂法の後に小ジワが出るリスクが高いため、グロースファクター注射のみによる治療(手術しない目の下のクマ治療)あるいは「控えめに脱脂+目の下・頬のグロースファクター」が向いていることもあります。
経結膜脱脂法の痛みについて
麻酔方法
当院の経結膜脱脂法の際の麻酔には、いくつかの痛くない工夫をしています。
まず麻酔の目薬をします。
これである程度痛みは取れるので、次に細い針で注射の麻酔をします。(後述のように、目を閉じた状態で行いますので、針は見えません。)
注射は少し違和感がある程度でほとんど痛くないと思います。
ほとんどの方が「歯医者さんの治療よりもたいしたことなかった」とおっしゃいます。
眠る麻酔をしない理由は?
眠る麻酔はいたしません。
その理由は手術中に体を起こしていただいて、適切な量の脂肪が過不足なく取れているか状態を確認するためです。
麻酔が切れても手術後の痛みはほとんどありません。
それは、傷口が空気に触れずに涙で潤されているためです。

実際には上記のように、まつ毛をテープで固定し、目をつぶった状態でガーゼを載せて何も見えない状態で行いますので怖くないと思います。
ちなみに、眼球の向きは、どの方向を向いていても問題ありません。
上まぶたさえ閉じていただければ大丈夫です。
なお、手術中に、上まぶたは、ギュッと力強くではなく、軽く閉じた状態にしていただきますようお願いいたします。
経結膜脱脂法の手順
コンタクトレンズをされている方は事前に外していただき、まず洗顔をしていただきます。
洗顔前に、首から上に着けられているものは全て外していただきます。(術中、髪の毛は帽子の中に入れさせていただきます。)
頬・法令線・口角などの目の下以外の部位の治療も受けられる方は、まずそれらの部位に麻酔クリームを塗ります。
お顔を消毒後、お顔に清潔な布をかけ、まつ毛をテープで固定し、ガーゼを載せて何も見えない状態で、下まぶたの裏側に前述の麻酔(目薬+注射)をいたします。
下まぶたを「あっかんベー」の状態に裏返すと、ある程度脂肪がある方は、ぷっくりと盛り上がります。
そこに目薬の麻酔および注射の麻酔をして、炭酸ガスレーザーで約1cm切開します(脂肪が多い方は、わずかにだけ長めに切開します)。
そこから飛び出している余分な脂肪だけを取ります(経結膜脱脂法の脂肪の取り方の詳細>>)。

この炭酸ガスレーザーは、熱が限局しているのできれいに切れ、周囲の結膜に影響がなく、切り口がきれいに切れるので術後の治りがスムーズです。
数か月経ってから傷跡を見てもほとんど分からなくなります。
なお、触るのは下まぶたのみで、眼球自体は触りません。
術中は麻酔が効いているので、術中は痛みを感じることはないようにいたします。(触っている感覚や押されている・引っ張られている感覚は多少あります。)
経結膜脱脂法の痛みについての詳細>>
要所ごとに「今痛くないですか?大丈夫ですか?」と確認しながら進めていきますので、その際は「大丈夫です」などとお返事を口頭でおっしゃっていただければ幸いです。(少しでも痛みがある場合は麻酔を追加したりいたします。)
なお、術中の注意点として、頭や足を動かさないように(特にお返事の際)、また、お手元をお顔の方へ持っていかれないようにお願い申し上げます(お顔は消毒しているためです)。
お顔がかゆい時はおっしゃっていただければ、こちらで対処いたします。
脱脂の際にレーザーで切開した後の傷について
切開した傷は、縫う必要はなく、自然にきれいに治ります。
したがって、抜糸は必要ありません。
当院では、炭酸ガスレーザーというのを使用します。
まぶたの裏を切開する方法も実はいろいろあり、このレーザーはこげが少なく、きれいに治ります。
数か月くらいしてキズ跡を見ても全く分からないくらいになります。
傷の表面はだいたい24時間くらいでくっつきます。
全体的に甘く傷がくっつくのに1週間かかります。
2週間もたてば、比較的しっかり傷が治ります。
そのため、安全のために術後1か月くらいまでの間は、傷のところを強く引っ張ったりしないようにお気をつけ下さい。
脱脂後にくぼみが残らないようにする技術について
目の下の脂肪(眼窩脂肪)を取る際は、飛び出している部分(下の図の赤線で囲った部分)だけを丁寧に取ります。
具体的には、術中、体を起こしながら、取りすぎないように、なおかつ取り残しがないように慎重に手術を進めていきます。
当院は、目の下のたるみ・クマ専門クリニックとして20年以上にわたり培ったノウハウがあり、過不足なく脱脂する範囲を丁寧に見極めることを心がけています。
なお、元々目の下にくぼみがある場合は、次に述べるくぼみを処理しないと「くぼんだ印象」が残ることがあります。
もし「脱脂後にくぼんだ」ということがあるとしたら、脱脂後に目の下のくぼみを処理しない場合や、取った脂肪の量に対してくぼみの処理が不完全な場合も考えられます。
当院には、他院様で脱脂された方々がくぼみの修正を求めて全国からご来院されています。
経結膜脱脂法と同時に行う目の下のくぼみ治療について
目の下のくぼみ治療の詳細
目の下にふくらみがある方は、たいていその下にくぼみ・溝があります。
そこは、グロースファクター注射により皮膚のハリを出すことで、解決できます。
グロースファクターの注射は、経結膜脱脂法の直後に行います。
(目の下のくぼみの詳細>>)
グロースファクターは、液体成分からなり、細い針で注射できるため、脂肪注入などと比較して、腫れが少ないのが特徴です。
グロースファクターの最終結果が出るのには約6か月かかりますが、早ければ1週間後くらいに良くなっている方もいます。
その後、効果は長期持続します。
(目の下のクマの治療後の長期経過の詳細>>)
当院のグロースファクターは、経験上、正しい方法で行えば、明らかな塊にはならないことが分かっています。
術後に注射部位を触ってもどこに注射したかほとんど分からなくなるほど自然で、凹凸感などの違和感がありません。
また、紫外線防止や甘いものを控えるなど、予防に努めて頂ければ、グロースファクターの効果は何年も維持されます。
(目の下のクマ・たるみに対するセルフケア・解消法>>)
グロースファクターでくぼみが治る理由

上の図は、左から、①脱脂前、②脱脂直後、③グロースファクター後の状態を示します。
①脱脂前の状態では、脂肪の飛び出した部分がふくらんで見えます。
② 脱脂直後・・・ふくらみは取れても、皮膚はたるみがある状態なので、くぼんで見えます。脱脂のみを行った場合だと、このようにくぼんだ印象になることが多いです。
③ グロースファクター後数か月・・・皮膚のコラーゲンを増やすことでハリが出ます。塊を作るわけではありません。たるんだ皮膚がピンと張ることで、くぼみがない状態になります。また、うれしいことに小ジワも改善します。
また、脂肪注入を経結膜脱脂法と同時に行うの一般的ですが、グロースファクターの方が、①しこりになりにくく、②仕上がりのボリュームが調整しやすい、③笑った時などの仕上がりが自然といった優位性があると考えます。(グロースファクターと脂肪注入の違いの詳細>>)
「経結膜脱脂法+グロースファクター」を同時に行う理由について
「経結膜脱脂法」では、まぶたの裏から目の下の脂肪(眼窩脂肪)の余分な部分を取ります。
その後、当院では目の下のくぼみ(図の矢印)にグロースファクターを皮膚の外から注射します。

経結膜脱脂法により脂肪を取るだけ(脱脂のみ)だと、目の下のくぼみが残り(上記の②の状態)、ふくらみがなくなった分だけくぼみが強調されて、げっそりとした印象になるためです。
当院で「経結膜脱脂法のみ」を受ける方がほとんどいない理由は?
「経結膜脱脂法のみ」だと、くぼみ・溝が残るため仕上がりは完璧ではないことが多いです。
そのため、ほぼ全例の方が経結膜脱脂法+グロースファクターをセットで受けられています。
目の下のくぼみを治療する各方法の詳細>>
当院における目の下のたるみ改善の方針>>
経結膜脱脂法で起こり得る危険性・リスク・副作用
「脱脂+グロースファクター」で目の下をきれいにしたいと思っていても、どうしても副作用が心配ですよね?
ここでは、「経結膜脱脂法」と「グロースファクター」の危険性・リスク・副作用についてそれぞれ解説いたします。
「理論上起こり得るが、当院では経験したことがないもの」も列挙しています。
「経結膜脱脂法」の危険性・リスク・副作用
経結膜脱脂法は、比較的容易な治療法ですが、強いてあげますと、以下のような危険性・リスクがあります。
- 腫れ(目の下の腫れ。ごくまれに結膜の腫れが起こることがある。)・内出血・シワや小ジワ・たるみ(皮膚の弾力が低下している方は余った皮膚が下に落ちることでふくらみになる可能性)(経結膜脱脂法の術後の腫れと内出血の詳細>>)(術後の小ジワ・くぼみのリスクの詳細>>)
- 一時的にくぼみが出る可能性・・・グロースファクターが効いてくるまで半年は待っていただきます。
- 傷の違和感(軽く引っ張られる感じ)・目を強く閉じた時の軽い痛み・・・数日~1週間程度
- レーザーでまぶた・頬に傷が付く可能性(それによる傷跡が残る可能性)・・・これまで1例のみ2mmくらい傷が目の下と頬の間くらいに付いた方がいらっしゃいますが、きれいに治る場所なので特に問題はありませんでした。
- 出血・・・血が出やすい・止まりにくいなどの体質による。術後、涙みたいに傷から血がポタポタ出る・中で血が溜まる可能性がある。)
- 感染・・・ばい菌が入って、赤み・腫れ・痛みなどの症状が出る可能性。抗生剤による治療法があります。これまで1例のみありましたが、抗生剤の内服の追加で軽快しています。
- アレルギー・・・内服薬・局所麻酔・点眼薬などで起こり得ます。
- 目やに・かゆみ・涙・・・傷が治る過程で1週間くらい起こる場合があります。必ず落ち着いてきます。
- 気分が悪くなる・・・グロースファクターの注射でこらえすぎて脳が貧血を起こす可能性です。通常は休んでいただければ改善します。
- 術直後に目の焦点が合いづらい・目の上が引っ張られる感覚・・・麻酔の影響による一時的なものです。数時間以内に回復します。
- 下斜筋を傷つける(これまでなし)・・・下斜筋とは眼球を動かす筋肉の一つで、眼球の下にあります。もしこれを傷つけた場合、物が二重に見えるようになる可能性があります。
- 笑った時のふくらみが残る可能性・・・眼輪筋の癖が残ることが原因です。脱脂をしても、笑った時だけに出るふくらみがごくまれに残ることがあります。(笑った時だけに出るふくらみの詳細>>)
- 災害(地震など)が起こった場合、中断する可能性・・・もし何かあった場合、途中で中断して、後日無料で続きを行う可能性があります。
- 見慣れない状態になることによる違和感が生じる可能性・・・目の下のたるみ・クマが長年おありの方は注意が必要です。特に、頬骨の外側への張り出しがおありの方で、術後にお顔のバランスの違和感が気になられるケースがごくまれにあります。(詳細を見る>>)
※経結膜脱脂法の危険性・リスク・副作用についての詳細>>
(上記以外の詳細な記載がありますので、経結膜脱脂法をご検討中の方は必ずご覧下さい。)
目の下の脱脂後に行うグロースファクターの危険性・リスク・副作用
経結膜脱脂法の直後に行うグロースファクター注入で起こり得る危険性・リスク・副作用について解説いたします。
- 左右差・・・骨格や皮下脂肪の左右差、技術的な限界により仕上がりに左右差が出る可能性があります。
- 腫れ・・・1週間~数週間。非常にごくまれに数か月。
- 内出血・・・経結膜脱脂法以外に、グロースファクターの注射でも内出血のリスクがあります。ポツポツとした内出血のことが多いですが、目立つこともあり得ます。通常は1週間~10日くらいで消えます。ひどく出た場合は、数週間(ごくまれに数か月)長引くこともあります。
- 違和感・軽い痛み・・・注射の刺激によるチクチク感を1週間~数週間感じる可能性がまれにあります。
- もの足りない可能性・部分的なくぼみ・・・特に目の下のシワ・くぼみが深い場合、2~3回の注入が必要になることもあります(追加治療は6か月以降に可能となります。目の下の脱脂+グロースファクター後に追加投与を受けられる方の割合は約20%です。ごくわずかに残ったシワ・くぼみへの修正がほとんどですが、どこまでを目指すかにもよります。追加料金は量や範囲に応じた半額以下の料金となります。)
- たるんだ皮膚が下に落ちてふくらみとなる可能性・・・経結膜脱脂法により皮膚が余り、そこへグロースファクターによるコラーゲン増加分の重みが加わることで起こり得るリスクです。日焼け、年齢、糖質、喫煙により皮膚の弾力の低下がある方はリスクが高くなります。(目の下のグロースファクターによる膨らみすぎの副作用・リスクの詳細>>)
- かすり傷・・・注射の針が皮膚をかすることで起こり得ます。肌が敏感な方は、刺激によりみみず腫れのようになることがありますが、翌日には目立たなくなることがほとんどです。仕上がりにも影響しません。
※グロースファクター単独のリスク・副作用についての詳細>>
(上記以外の詳細な記載がありますので、経結膜脱脂法をご検討中の方は必ずご覧下さい。)
たるんだ皮膚が下に落ちてふくらみとなるリスクについて
脂肪が比較的多くても、皮膚の弾力があれば、経結膜脱脂法+グロースファクター後にキュッと引き締まってきれいになります(例)。
しかし、元々目の下に小ジワが寄っているような弾力が低下している方は、術後にたるみが下がってふくらみのように見えることがあります(例)。
目の下の脱脂術後にたるみが生じるかどうかは、皮膚の弾力次第のところがあります。
明らかに皮膚が薄い方(ウインクをして小ジワがかなり寄る方)や目の下の脂肪の量が重度の方は、「経結膜脱脂法を控えめに行い、さらに目の下+頬のグロースファクターを行う」という治療法がお勧めです。(「控えめに脱脂+目の下・頬のグロースファクター」の詳細>>)
頬のグロースファクターは、脱脂後のたるみを下から支えるという意味があります。
頬のグロースファクターは後から必要に応じて行ってもよいのですが、目の下と頬は境界があいまいなので、後から行った場合、打ち漏れのリスクがあります(例)。
同時に行った方がバランスが取りやすいです。
経結膜脱脂法の危険性・リスク・副作用に関する関連記事
ダウンタイムについて
経結膜脱脂法:年代別・男女別・進行度別で内出血・腫れに差はありますか?
経結膜脱脂法の後に、人に気づかれる程度の腫れ・内出血が出る確率はどれくらいでしょうか?
経結膜脱脂法の翌日、腫れや内出血が出た場合、化粧で隠せる程度ですか?
経結膜脱脂法10日後で目の下がまだむくんでいます。これは良くなるのでしょうか?
仕上がり・後遺症などについて
私の骨格のタイプは経結膜脱脂術をする上で問題はないでしょうか?
脱脂後、キレイだったのに数か月後に窪んだというのは個人の体質が原因ですか?
脱脂後のグロースファクターで失敗した場合はどうすればいいのですか?
経結膜脱脂で予想される副作用として、内出血や腫れ以外に何かあるでしょうか?
脱脂手術の影響で目の上が窪んでくるということはあるものなのでしょうか?
脱脂後、時間が経つと下まぶたの裏側のキズ跡はきれいになりますか?
目の下の脂肪の量が「重度」の方向けのお勧めの脱脂の方法
目の下の脂肪の量が重度の方は、グロースファクターのみだとふくらみが残ってしまいます。
一方、しっかり脱脂をすると小ジワが目立ってしまいます。
そこで、脱脂を控えめにして、その上で目の下+頬までグロースファクターを行うという「控えめに脱脂+目の下・頬のグロースファクター」という方法があります。
これは経結膜脱脂法と手術しない目の下のクマ治療のいいところ取りをするような方法です。
また、経結膜脱脂法の後の小ジワ回避のため、メラフェードの併用も効果的ですが、後から気になってからでも結構です。
経結膜脱脂法を行って後悔した方とは?
もし経結膜脱脂法をして後悔することがあるとしたら、以下のことが考えられます。
- 元々それほどなかった小ジワが脱脂の後に出た・・・50代以上の方、紫外線を多く浴びてこられた方は脱脂後の小ジワ・たるみリスクが高いです(脱脂後に生じる小ジワやくぼみの対処法の詳細>>)。
小ジワのリスクが高い方は、グロースファクターのみによる「手術しないクマ治療(本当の切らない目の下のたるみ取り)」あるいは「控えめに脱脂+目の下・頬のグロースファクター」をお勧めいたします。 - 術後の内出血が目立った・・・経結膜脱脂法は手術なので、注射のみよりも腫れや内出血によるダウンタイムを考慮する必要があります。
グロースファクターのみですと、腫れはほとんどなく、内出血のリスクも経結膜脱脂法よりは低いです。(グロースファクターのみのダウンタイムの詳細>>) - 上記以外に特に経結膜脱脂法によるデメリットはありませんが、「手術しないクマ治療」と比較すると、①費用が高くつく、②目の下+頬のグロースファクターの方がトータルで見た時に、頬を治療する分だけ、若返り効果が高いという違いがあります。
逆に治療をせずに後悔することがあるとしたら、「こんなに簡単に良くなるなら、もっと早く治療をしておけば良かった」とおっしゃった方がいましたので、ご参考になれば幸いです。
経結膜脱脂法の所要時間の目安
「脱脂+グロースファクター」のみでしたら、合計1.5~2時間でお帰りいただけます。
カウンセリングも当日に受けられる場合は、以下のカウンセリングの時間がプラスされ、合計2~3時間になります。
内訳は以下の通りです。
- カウンセリング・・・20~60分(ご相談内容の項目数によります)
- お会計・洗顔・・・5~10分くらい
- 経結膜脱脂法・・・40~60分くらい
- 経結膜脱脂法の直後に行う目の下のグロースファクター・・・10分~15分くらい(注射自体は数分で、ほとんどがガーゼで圧迫している時間)
- 他の部位のグロースファクターを同時に受けられる場合は、1か所に付き10分~15分くらいかかります。
- 最後に、冷やしながら術後の過ごし方のご説明を行い、お薬をお渡しいたしますのに10分程度かかります。
(参考)「目の下+頬のグロースファクター」の施術(手術しない目の下のクマ治療)の所要時間は、麻酔クリームの時間(約20分)も含めて約1時間程度です。
料金表(税込み、麻酔代込み)
| 脱脂 + グロースファクター | 398,000円 |
※治療費には、麻酔代も含まれています。
(経結膜脱脂法の場合は、さらに術後にお渡しするお薬代も含まれています)
※「控えめに脱脂+目の下・頬のグロースファクター」を受けられる場合は、上記に加えて頬のグロースファクターの料金186,000円がかかります。
※どの治療が向いているか事前にお知りになりたい方は、メールカウンセリング(無料)をご利用下さい。
※グロースファクターの追加料金は、各部位のグロースファクターの正規料金の半額以下の量や範囲に応じた料金とさせていただいております。(追加までは、半年は様子を見ていただいております。)
経結膜脱脂法に関するQ&A
経結膜脱脂法は目(眼球)に影響はありませんか?
経結膜脱脂法では眼球に操作が入ることはありません。
目を閉じて下まぶたを下げた状態で手術を行います。
触るのは下まぶたの裏側のみです。(経結膜脱脂法で眼球に影響がないことに関する詳細>>)
また、当院では、これまで術中に角膜を傷つけたことはありません。
脱脂手術の際は、前述の通り、目を閉じた状態で、下まぶたのみを操作します。
そのため、術中は目を開けないようにお気を付け下さい。
手術時間はどれくらいですか?
脱脂+グロースファクターは両目で40~60分前後です。
脂肪の粒が細かく分かれているかにより多少時間が異なります。
その直後に行うグロースファクターの所要時間は、1部位10~15分程度です(注射自体は数分で、ほとんどが止血のために押さえている時間です)。
経結膜脱脂法の術後にシワが出ますか?
膨らんでいる風船がしぼむ時のように、膨らんでいる脂肪を取ると、術後微妙な小ジワが出る可能性がありますが、たいていの場合は意外と目立ちません。
それは皮膚に弾力があればキュッと引き締まってある程度良くなるためです。
あとグロースファクターで皮膚のハリが出ることでシワが伸びる効果もあり、実際にはそれほど目立ちません。
しかし脂肪が特に多い方、日焼けなどで皮膚の弾力が低下している方は、経結膜脱脂法の後にシワが比較的出やすいかもしれません。(脱脂後のシワの詳細>>)
経結膜脱脂法の術中・術後の痛みはありますか?
「経結膜脱脂法の手術中は痛くないのですか?」というご質問をよく頂きます。
結論から言うと、72%の方が無痛だったとおっしゃっています。
残りの28%の方は、術中に1回でも多少の痛みを感じたことがあるものの、我慢できる範囲でした。
痛みがちょっとでもある場合は、すぐにおっしゃっていただいて、局所麻酔をすぐ追加して対処しています。
基本的には経結膜脱脂法の術中に痛みはほとんどありません。
「歯の治療より楽」と皆さんおっしゃいます。
経結膜脱脂法の際の麻酔は、まず目薬の麻酔をします。
これは、まぶたの裏側にポタポタと垂らすだけです。
これだけでもある程度表面に麻酔が効きます。
目薬の麻酔を30秒以上して十分に効かせてから麻酔の注射をします。
注射もまぶたの裏側にします。
麻酔の注射は非常に細い針なので、グッと押される感じだけであまり痛くないと思います。
なお、眠る麻酔は使用しないので、手術中には意識はあります。
もし痛みに弱い方や特に心配な方は、事前におっしゃっていただければ、目薬の量や効かせる時間を長めにすることも可能です。
術中は、押されたり引っ張られたりするような感覚だけはありますが、痛みはほとんどないと思います。
ただ、脂肪が「動く脂肪」がどうか確認するため、軽く引っ張られるような感覚だけは残ります。
結膜を切開する時には痛みはありません。
ほんのちょっとでもピリッとすることがあれば、おっしゃっていただければ、手を止めて、麻酔を追加したりして対処いたします。
なお、術後は1日~1週間程度違和感があるくらいですので、痛み止めは出しておりません。
まれに、目をぎゅっと強くぶった時に軽い痛みが1週間ほどある場合がありますが、基本的には経結膜脱脂法の術後には痛みを感じることはまずないと言ってもよいです。
「脱脂のみ」でグロースファクターをしない場合はどうなりますか?
グロースファクター注射を行わない場合、くぼみが元々ある方だと、くぼんだ印象が残ってしまいます。
そのため「ふくらみ+くぼみ」がある方は、「脱脂+グロースファクター」を同時にすることをお勧めしています。
当院では、ほぼ100%の方が両方同時に行っています。
もちろん脱脂のみでも承ることは可能ですが、もしあとで「やっぱり追加してほしい」となられた場合、脱脂による腫れで本来のくぼみが分からなくなるため、数か月待ってからグロースファクターの注射を行います。(脱脂のみの場合の脂肪の取り加減の詳細>>)
術後の安静期間はどれくらい必要ですか?
内出血は最初の24時間で出やすいので、特にその間は力を入れたりしないように過ごして下さい。
一般的な運動などの活動は、1週間してから可能です。(ただし、内出血や腫れが出た場合は、それらが治まるまでは控えていただいた方がよいです。)
脱脂+グロースファクターで青クマや赤クマは治りますか?
青クマは、皮下の静脈がうっ血して透けて見えているために起こります。
グロースファクターで皮膚が厚くなることで、青クマは透けて見えづらくなります。
ちなみに、赤クマは脱脂により改善することが多いです。
つまり、どちらも「脱脂+グロースファクター」で解決できます(グロースファクターのみですと赤クマはある程度の解消にとどまります)。
術後に数年で脂肪が出てくることはありますか?
術後に脂肪が出てくることは基本的にはありません。
ただし10年単位では加齢や紫外線による影響で皮膚のコラーゲンが減ってくるような変化はありえます。
【よくあるご質問】経結膜脱脂法+グロースファクターの効果はどれくらい持ちますか?
脱脂+脂肪注入はできますか?
目の下の溝・くぼみに対して、以前は当院でも脂肪注入を行っていましたが、腫れが強く、しこりが残ることがあるため、グロースファクターの注射に切り替えました。
グロースファクターは液体であるため、脂肪のような「固体」と比べ、周囲となじみやすく、腫れも最小限ですみます。
さらに、脂肪は固体であるため、注射の際に太めの針を使うのに対して、グロースファクターは、細い針で注入できるというメリットもあります。
脱脂を行った後、脂肪を取りすぎてくぼみが残ることはありませんか?
脱脂の際に取り過ぎてくぼんでしまうといったことは当院ではまずありません。
それは、脱脂をする際に座った状態で確認しながら丁寧に取っていることと、目の下のくぼみのところの皮膚にグロースファクターでハリを出すことでくぼみを改善することができるからです。
目の下に眼窩脂肪によるふくらみがある方は、大半の方がくぼみもあります。
そこを改善しないと、脱脂のみではくぼんだ印象が残ってしまいます。
したがって、当院ではほぼ全例「脱脂+グロースファクター」をセットで行っております。
私の目の下のたるみ・クマは、経結膜脱脂法で良くなりますか?
お一人お一人症状は違いますので、拝見してみないと何とも言えません。
また、そもそも脱脂をする必要がない場合もあります。
脱脂が向いているかなどのご相談のご希望があれば、セルフチェックをご利用いただくか、ページ最上段の「お問い合わせ」からメールカウンセリングを無料でいたします。
お写真を添付して、ご質問などをお書き下さい。
経結膜脱脂法の後、どれくらい休みを取ればいいですか?
多くの方は脱脂の術後、2~3日休みを取られることが多いようですが、翌日からお仕事に行かれる方もいらっしゃいます。
中には1週間しっかり休まれる方もいらっしゃいます。
経結膜脱脂法のダウンタイムについて>>
【よくあるご質問】経結膜脱脂後、どれくらい休みを取ったらよいですか?
経結膜脱脂法の後、グロースファクターはどのタイミングで注射するのですか?
当院では、グロースファクターは、脱脂直後に行います。
そのため、「脱脂+グロースファクター」というセットになっています。
当院でそれができるのは、直後に腫れがほとんどないためです。
実際に当院の脱脂・目の下のたるみ取りの治療経過を見ていただいても、直後・1週間後は腫れはほとんど見られないと思います。
脱脂当日の帰宅方法に制限はありますか?当日は宿泊した方がよいでしょうか?
目の下の脱脂後の最初の24時間は、内出血予防のために力をいれないように過ごしていただくことをお勧めしております。
ただし、まれに術後数日経ったあとでも、力を一瞬入れてしまったり、ぶつけたりした場合に少量出血がある場合もあります。
そのため、お車の運転は、傷からの出血(血の涙)により視界が遮られる場合を考えて、念のために1週間は(どうしてもという場合でも最低3日間は)控えていただくことをお勧めしております。
自転車は、力を入れない程度であれば、翌日から大丈夫です。
電車・新幹線・飛行機は、手術当日に乗られてもかまいません。
また、当日は、皆様、ほとんど日帰りで来られています。
ご帰宅後にもし何かありましたら、メールにてご連絡いただければ、対応させていただきます。
脱脂後の通院は必要ですか?
術後の通院は基本的には必要ありません。(術後の通院等に関する詳細はこちら≫)
もし何かありましたら、まずHPのお問い合わせよりご連絡いただければ幸いです。
術後の飲酒・入浴などについてはどのようにすればよいでしょうか?
最低術後1週間、さらに腫れや内出血、痛みが残っているうちは、お酒、温泉、サウナ、運動、喫煙・刺激物は控えていただき、体が極端に温まらないようにお気をつけ下さい。
重い物を持ったり、力んだり、表情を強く出したりといったことも内出血の原因となります。
特に直後の飲酒は、出血や腫れの原因になりますのでご注意下さい。
シャワーは、首から下でしたら当日から浴びる事ができます。
傷口を濡らさないように気をつけて下さい。
湯船は3日後から可能です。
シャンプーやお化粧は翌日の朝から可能です。(極力傷口を濡らさない様に洗髪・洗顔してください。)
その他の術後の過ごし方の注意点については以下をご覧下さい。
経結膜脱脂法を検討中ですが、事前に気を付けるべきこと・知っておくべきことはありますか?
お車の運転について
経結膜脱脂法の手術当日はお車でのご来院はお控えください。(運転中の出血により視界が遮られる可能性があるため)
まつ毛のエクステンションについて
まつ毛のエクステは、手術中にまつ毛をテープで直接お留めするため、部分的に取れてしまう可能性がありますことをご了承下さい。
気になられる方は、予め外しておいていただくことをお勧めいたします。
なお、術後のまつ毛のエクステは1か月後より可能です。
コンタクトレンズについて
手術当日、コンタクト使用の方はコンタクトを外し、メガネをご持参してご来院下さい。(術後もメガネの着用は可能です。)
ソフトコンタクトレンズは術後3日後から、ハードコンタクトレンズは7日後からご使用可能です。
コンタクトの付け外しの際は、傷口を引っ張らないようお気を付け下さい。
メイクについて
目の下の脱脂当日は、メイクをされたままご来院可能ですが、ノーメイクに近い状態であればあるほど、ご来院後がスムーズです。
なお、ご来院当日のマスカラはお控えください。(傷口への混入を避けるため。また、異物として注射の妨げになるのを防ぐため。)
特に目の下の治療を受けられる場合は、マスカラについては目の上・目の下の両方ともお控えいただければ幸いです。
また、普段「ラメ入りのメイク」を目元に使われている方は、皮膚への埋入や感染のリスクを最小限にするため、前日の夜から念入りに目の上・目の下ともに落としておいて下さい。(当日、こちらでもできるだけ落とすようにいたしますが、万全を期するためにご協力いただければ幸いです。)
なお、メイクや日焼け止め等は、術直前にご自身で洗面台にて落としていただきます。
内服薬・サプリメントについて
種類によっては、一定期間の休薬が必要になるものもあります(血液がサラサラになるお薬、EPA・DHAなど)。
その他、ステロイドや免疫抑制剤などについては、感染対策について特別の考慮をする必要がある場合があります。
メール相談の際に、内服薬・サプリメントについては、全てお申し出いただければ幸いです。
なお、当院での目の下の治療をご検討中の方は、必ず以下の2つをご覧いただきますよう、お願いいたします。
普段使っている目薬は、術前・術後に継続できますか?
現在お使いの目薬は、種類を問わず、術前は普段通りお使いいただけます。
術後も、ステロイド剤の点眼薬以外は継続可能です。(ただし、開封後2週間を過ぎたものは感染のリスクがあるため、ご使用はお控え下さい。)
なお、複数の目薬をご使用される時は、5分以上空けて下さい。
経結膜脱脂と「ハムラ法・裏ハムラ」の違いは何ですか?
ハムラ法・裏ハムラは、目の下の脂肪を包む袋(眼窩隔膜)をはがして移動させることで、目の下のたるみを改善する方法です。
比較的大掛かりでダウンタイムが長い(侵襲の大きい)手術法になります。
特に初回治療でハムラ法や裏ハムラを行った場合、癒着がひどくなり再手術が困難になることもあります。
初回手術を行うとしたら、侵襲の少ない経結膜脱脂の方が、腫れも最小限で済み、無難であると言えます。
ボトックスやHIFUを受けていますが、脱脂手術を受けられますか?
ボトックスについては、受けられた時期に関係なく目の下のクマ治療を受けていただけます。
ただし、HIFU(ハイフ)などの強めの照射治療は、3か月後以降にご予約が可能となります。
照射治療では、熱による微妙な腫れが一時的に生じるため、照射治療後に目の下の治療を行うとなると、治療すべき部位が分かりづらくなるためです。
その他の施術を受けられた方、あるいはご検討中の方は、以下をご覧下さい。
目の下の治療前の過ごし方について
脱脂+グロースファクターの効果がどれくらい維持されますか?
当院はおよそ20年近くの実績がありますが、10年くらい経過した方を実際に拝見しても、問題ないことがほとんどです。
詳細は以下をご覧下さい。
目の下のクマに対する脱脂後の長期経過【10年後も大丈夫?】
この治療を受けることで、後々何かに影響や問題はありますか?
特に長期的な影響はありません。
グロースファクターで治療したところはたるみにくくなります。
10年単位で見たら、周りの未治療部位が先にたるむはずです。
これは、コラーゲンが年々減少するのに対して、治療部位はコラーゲンが増えており、老化に対する予備ができているためです。
そのため早めに治療することで今後の老化防止が期待できます。
つまり、今治療されることで10年後が違うということです。
一旦治療を受けられた後は、その後は老化予防にいい習慣を継続されるだけでよいです。
その方法としましては、紫外線防止、糖質を避け栄養と睡眠をしっかりとる、運動を週3回行うなどがあります。
これらは、美容だけではなく、健康にも寄与します。
こちらに関連記事がございます。
【よくあるご質問】グロースファクターは、今やっておけば10年後かなり違いますか?
治療後すぐにマスクを着用できますか?
はい。すぐに着用可能です。
マスク自体が治療結果に影響を及ぼすことはないのでご安心下さい。
マスクが必要な方にはお渡しすることも可能なので、その際はお申し出いただければ幸いです。
経結膜脱脂術後、横向きで寝ても大丈夫ですか?
脱脂後に横向きで寝ても悪影響はありません。
ただし、一晩中同じ方向の横向きで寝た場合、下にしている方に重力の影響で水分が移動して、腫れに左右差が出ることがあります。
しかし、腫れは最終的には引いていきますので、仕上がりには影響はありません。
また、塩分が高い食事は、腫れの原因となることがありますので、お気を付けください。
術後に処方は出ますか?
はい。
抗生剤(化膿止め)の飲み薬1日分と炎症止めの目薬(7日間使用)が出ます。
なお、お薬代は、治療費に含まれます。
経結膜脱脂後の表情筋トレーニングはいつから可能ですか?
1週間後から可能です。
経結膜脱脂後の美顔器や顔のマッサージ、顔の脱毛、フォトフェイシャルはいつから可能ですか?
美顔器やお顔のマッサージ、お顔の脱毛、フォトフェイシャルは、いずれも1か月後から可能です。
HIFUやサーマクールも1か月後から施術自体は可能ですが、追加治療の可能性などを考え、半年はお控えいただくことをお勧めいたします。
脱脂手術当日、食事・水分制限はありますか?
脱脂当日に特に飲食に制限はございません。
ただし、内出血予防のため、前日の過度の飲酒はお控え下さい。
手術前日および当日は極端に辛いものは、手術前日および当日はお控えていただいた方が無難です。
コーヒーなどの熱い飲み物を脱脂手術の当日や翌朝に飲んでいただくのは構いません。
アルコールは、術後1週間(さらに内出血や腫れが引くまで)はお控え下さい。
その他のよくあるご質問については、以下をクリックして下さい>>
よろしければ診断ツールをご利用ください
質問に答えていくタイプのツールです。
あなたの目の下のたるみ・クマの種類や状態、さらに適切な治療法が分かります。
次をクリックしていただくと、セルフチェックのページに移動します。
経結膜脱脂法の適否を無料でご相談できます
まずはご来院前に無料相談をご利用いただければ、
①適応のある治療法の詳細
②お見積もり
③ご予約のご案内
についてお答えいたします。
診療の流れの概要はこちらをご覧下さい。
ご予約・お問い合わせはこちら
当院は目の下のクマ、顔のシワ・たるみ治療専門の完全予約制プライベートクリニックです。
1回で改善するグロースファクターの技術は当院オリジナルのものですので、全国から患者様がいらっしゃいます。
お一人お一人を丁寧に診療しておりますので一日の枠には限りがあります。
そのため、もしご予約される場合はお早めにお問い合わせください。

(お電話受付時間:診療日の10~12時、13~18時)
診療時間10:00~19:00
関連記事
手術しないクマ治療
手術しない目の下のクマ治療(本当の切らない目の下のたるみ取り)
経結膜脱脂法
経結膜脱脂法の危険性・リスク・副作用
目の下の脱脂のみ行う場合について
経結膜脱脂法の後遺症について
経結膜脱脂法のデメリットについて
目の下の脱脂後の窪みについて
目の下の脱脂における取りすぎについて
経結膜脱脂法の費用対効果を高める方法について
目の下の脱脂の経過
目の下の脱脂術後の出血について
目の下の脱脂後の腫れについて
経結膜脱脂法のダウンタイムについて
目の下の脱脂後のシワについて
経結膜脱脂法の痛みについて
目の下の脱脂で失敗を避けるポイントについて
「控えめに脱脂+目の下・頬のグロースファクター」について
目の下のクマに対する脱脂後の長期経過について
笑った時のふくらみが脱脂でどらくらい改善するかについて
目の下のたるみ・クマの治療前後について
目の下の治療前の過ごし方について
目の下治療後の方へ
目の下の治療後の過ごし方について
脱脂後のフォローアップについて
目の下治療後の他の部位の治療について
目の下のグロースファクターについて
目の下へのグロースファクターについて
グロースファクターの危険性・副作用・リスク
目の下のグロースファクターの副作用・危険性・リスクについて
グロースファクターとヒアルロン酸との違いについて
グロースファクターと脂肪注入との違いについて
グロースファクターの効果が出る時期について
症例写真
症例写真|脱脂+グロースファクター
症例写真 | 目の下のクマ他院修正治療
よくあるご質問
よくあるご質問【脱脂+グロースファクター】
よくあるご質問【目の下のたるみ・クマ】














