0120-735-538
03-5491-5588

電話受付: 休止中(メールのみ)

診療時間:10〜19時(完全予約制)

  • 症例写真

目の下のたるみ・クマ治療 6ヶ月後の経過

目の下のたるみ・クマ治療(経結膜脱脂+グロースファクター)を受けられたモニターの方です。


p

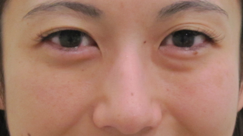
術前・・・目の下にふくらみ(脂肪)があります。

その下はくぼみがあり、皮膚は薄い印象です。

 

術直後・・・ポツポツと注射の跡が見られます。

最終的にはこの状態に近い感じになります。

 

1週間後・・・グロースファクターはこれから効いてきます。

 

1

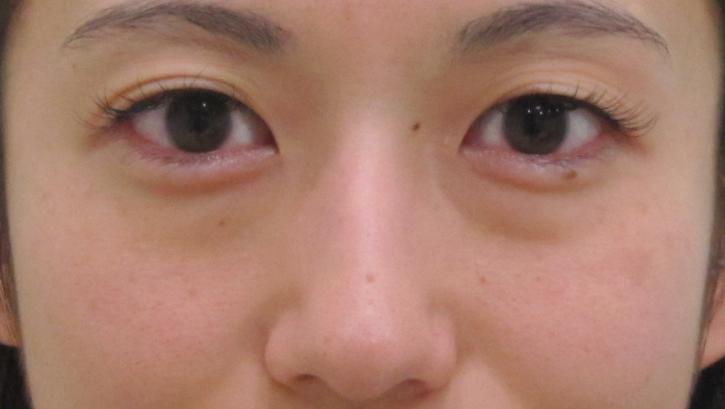
1か月後・・・この時点でだいぶ良くなっています。




3

3か月後

 


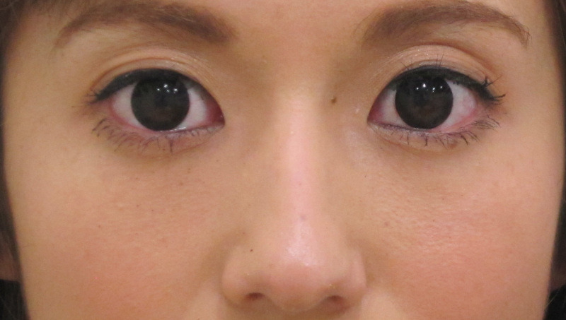
6

6か月後・・・半年後が最終結果です。

グロースファクターの効果により目の下の皮膚にハリが出ています。

 

術前の笑った状態です。




s

6か月後・・・笑った時の目の下のふくらみが改善しています。
違和感も特にありません。





1

術前・・・斜めから見た状態です。




2

6か月後・・・きれいになっていますね。

 


 

よろしければ診断ツールをご利用ください

質問に答えていくタイプのツールです。
あなたの目の下のたるみ・クマの種類や状態、さらに適切な治療法が分かります。
次をクリックしていただくと、セルフチェックのページに移動します。

目の下のたるみクマ自動診断

 

関連記事

症例写真

症例写真|脱脂+グロースファクター 
症例写真|手術しない目の下のクマ治療 
症例写真 | 目の下のクマ他院修正治療