①他院様にて目の下の皮膚切開による脱脂手術+ベビーコラーゲン注射後の修正治療(目の下のグロースファクター)、
③シミ・くすみ治療(メラフェード)
を受けられたモニターの方です。
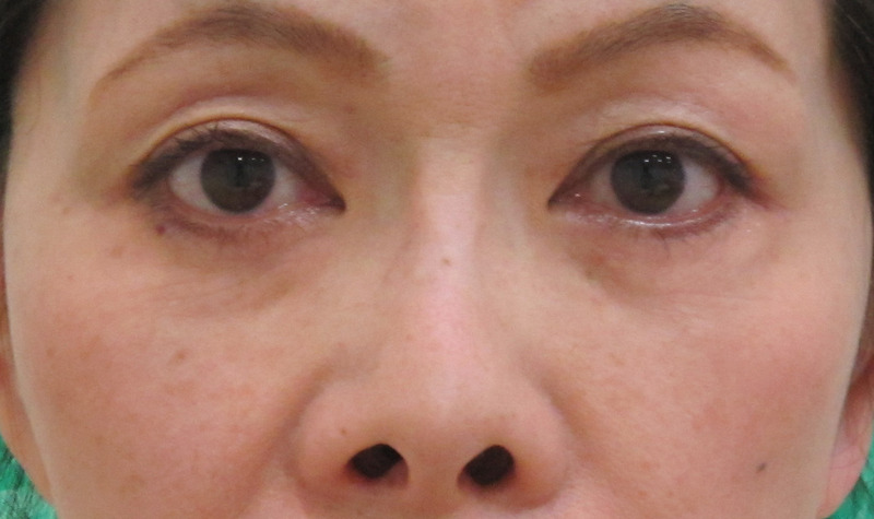
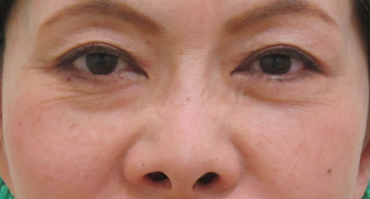
施術前・・・診察上の所見・色で分類したクマの種類としては、以下の通りです。
1.涙袋 は目の下の脂肪(眼窩脂肪)の突出により左右ともにやや不明瞭になっています。
2.脂肪の量(進行度) としては中等度です。
ふくらみ(目袋)が影を作っています。(影クマ・黒クマ)
3.脂肪によるふくらみの左右差はごくわずかです。(右<左)。
4.ふくらみのところには赤み (赤クマ)がわずかに見られます。
5.ふくらみの下にはハの字状にくぼみ があります。
6.青クマとの重複によりふくらみには一部紫がかっているところもごく一部あります。(紫クマ)
施術直後・・・冷やして赤くなっているのは一時的なものです。
よく見ると、ポツポツと注射の跡が見られますが、それほど目立ちません。
3ヵ月後・・・グロースファクターの最終結果は半年後なので、この時期はまだ経過を見ていただきます。
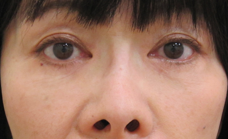
6ヵ月後・・・目の下の凹凸がグロースファクターにより改善しています。
また、メラフェードによりくすみや小ジワが取れ、目の下が明るくなっています。
さらに、赤み(眼輪筋が脂肪により圧迫を受けて透けて見える状態)もグロースファクターにより緩和しています。
これは、コラーゲンが増えて、皮膚が厚くなり、透けて見えづらくなったためです。
施術前・・・斜めから見た状態の比較です。
6ヵ月後・・・きれいになっていますね。
施術前・・・反対側です。
6ヵ月後・・・一旦良くなった後は、長期にわたり維持されます。
施術前・・・笑った状態の比較です。
6ヵ月後・・・脂肪は取っていないので、強く笑うと脂肪が浮き出ていますが、以前よりは緩和されています。
また、笑っても違和感はなく、笑った時のシワも減っています。
施術名:グロースファクター注入療法
施術名:メラフェード
二子玉川美容外科クリニックで行っている目の下のクマの他院修正治療は、脱脂後やヒアルロン酸後、脂肪注入後など、様々な状況に対応しております。
他院修正例の症例写真をご覧になりたい方は、次をクリックして下さい。
「再脱脂しないと修正は無理です」と言われた方が、注射だけで改善できたケースも!
目の下のクマの他院修正治療の詳細をご覧になりたい方は、次をクリックして下さい。
目の下のたるみ・クマでお悩みの方は、解決方法がここできっと見つかると思います。
目の下のたるみ・クマの記事一覧をご覧になりたい方は、次をクリックして下さい。
よろしければ診断ツールをご利用ください
質問に答えていくタイプのツールです。
あなたの目の下のたるみ・クマの種類や状態、さらに適切な治療法が分かります。
次をクリックしていただくと、セルフチェックのページに移動します。
目の下のたるみ・クマの関連記事
症例写真
症例写真|脱脂+グロースファクター
症例写真|手術しない目の下のクマ治療
症例写真 | 目の下のクマ他院修正治療
















