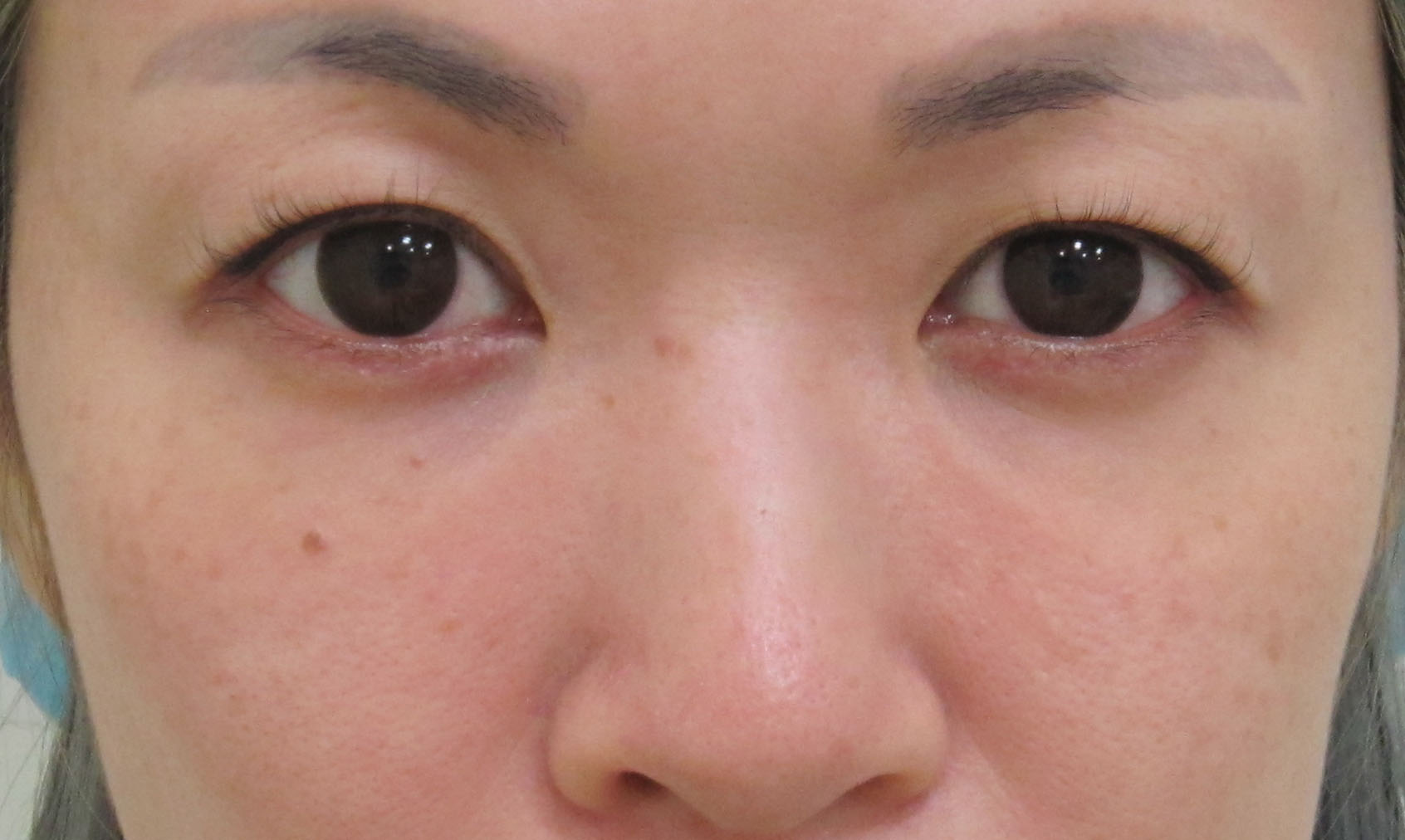
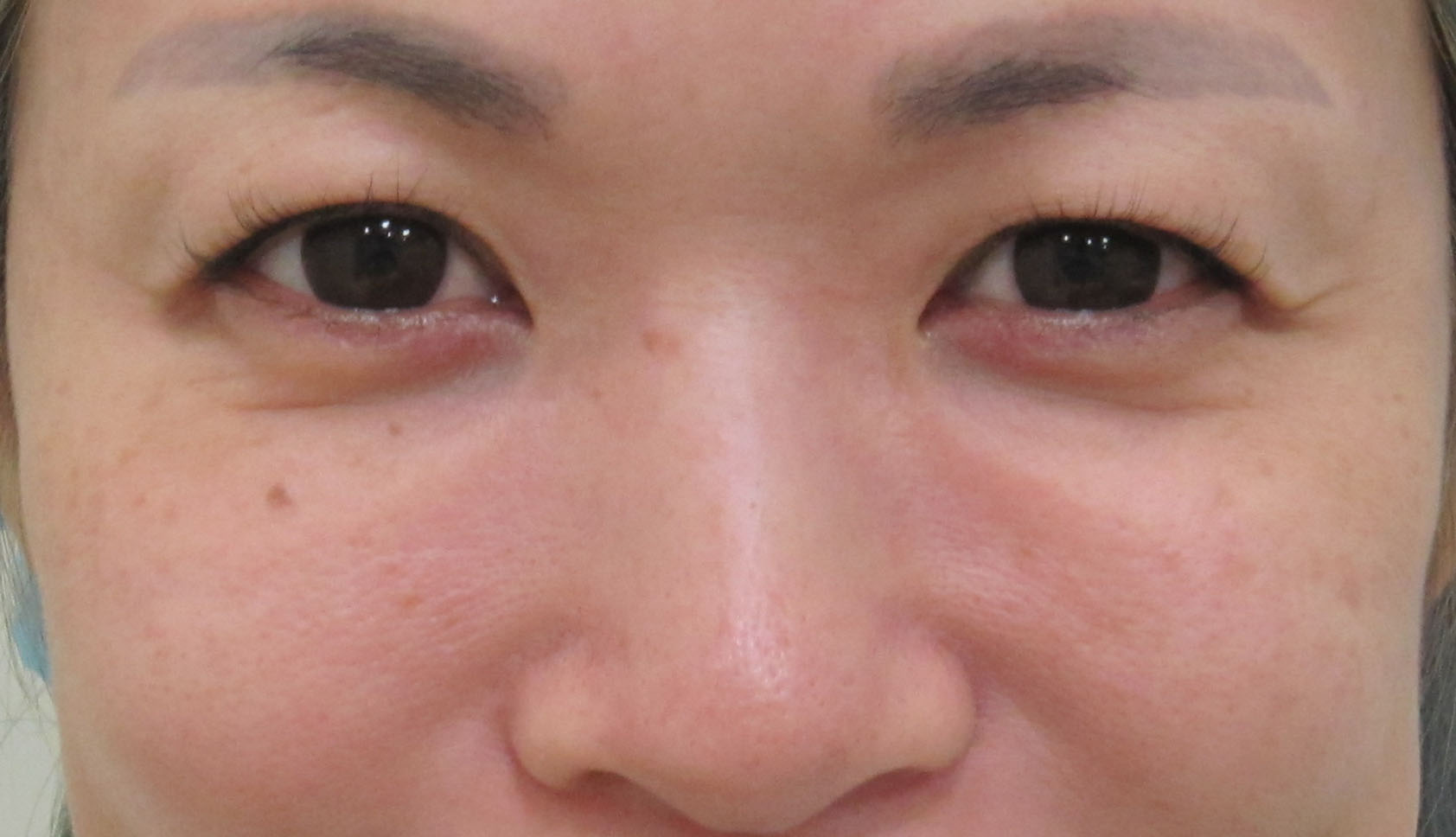
上まぶたのたるみに対して、上まぶたのたるみ取り手術を受けられたモニターの方です。
他院様で、10年以上前に切開法の二重の手術を受けられ、その際に眼窩脂肪の切除をされたそうです。
また、元々上まぶたの脂肪は多めだったそうです。
その他、目の上のくぼみもおありでしたが、まずは、上まぶたのたるみ取り手術を受けられてから、グロースファクターを検討する治療方針で行われました。
術前・・・目を開ける時に、眉毛を上げる癖がおありのようです。
上まぶたのたるみにより、奥二重になっています。
術前(拡大)・・・切開線は、二重の線に沿ってデザインします。
また、あまり皮膚を取りすぎると、皮膚がつっぱたりして不自然になるので、どこまでの改善を希望されるかご相談の上、ほどよい加減にすることが重要です。
1週間後(抜糸直後)・・・この時点では、まだ腫れが残っています。
腫れや内出血は、必ず時間とともに引いていきます。
また、結果には影響しません。
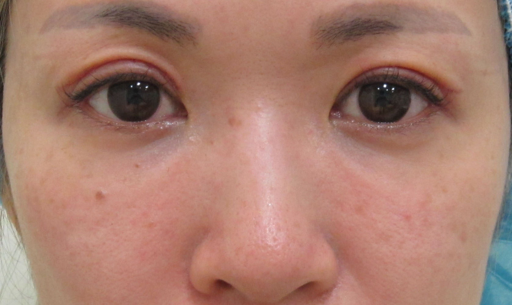
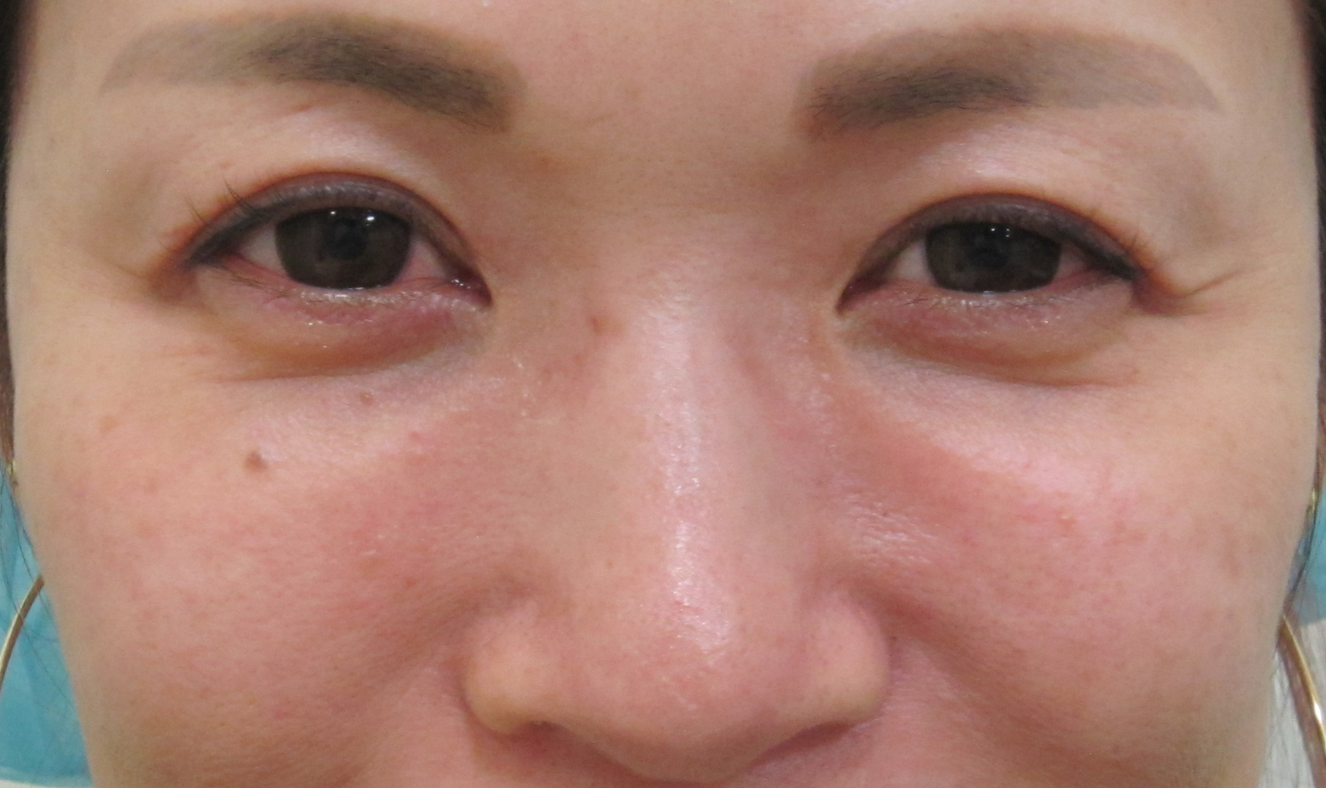
1か月後・・・順調な経過です。
この時点で、「眼精疲労が減った」とのお話がありました。
また、ご本人様は、「目の上のくぼみは気にならない」「知り合いにもすすめたい」とのことでした。
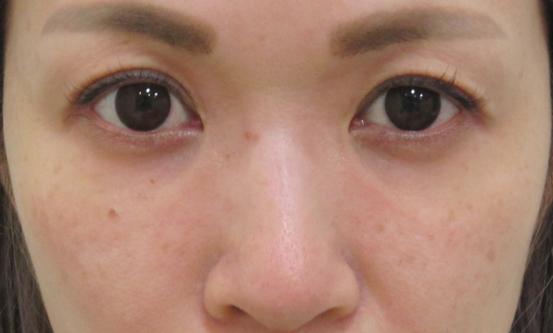
6か月後・・・すっきりとした印象です。
「以前の状態を忘れるくらい」自然な仕上がりとなり、喜んでいらっしゃいました。
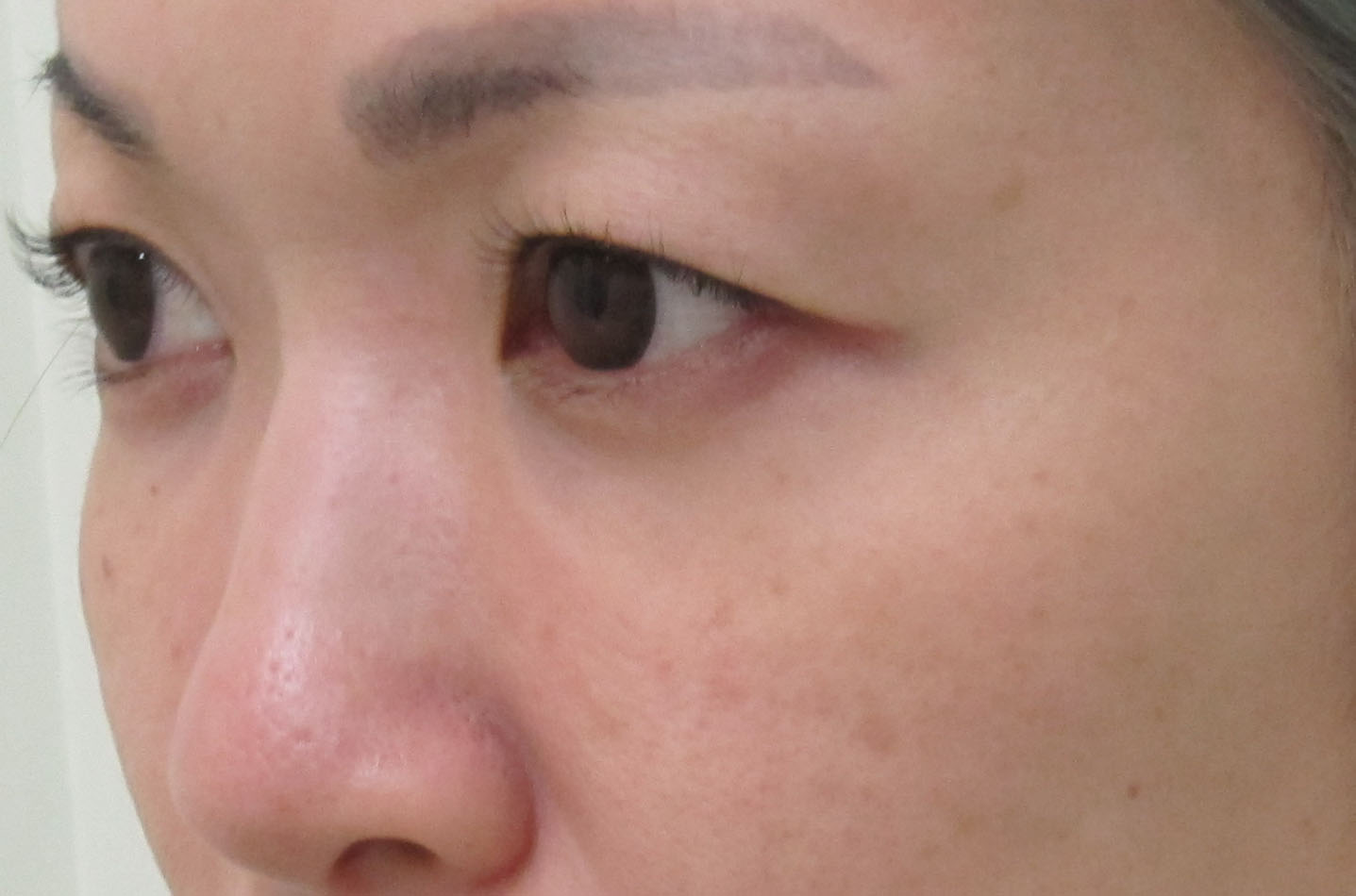
術前・・・斜めから見た状態です。
6か月後・・・二重がしっかり見えるようになりました。
術前・・・斜めから見た状態です。
6か月後・・・すっきりして見えます。
術前・・・笑った状態の比較です。
6か月後・・・笑っても違和感はありません。

術前・・・目を閉じた状態です。
6か月後・・・傷跡は目立ちません。
また、メイクで隠せるのでほとんど分かりません。
















