0120-735-538
03-5491-5588

電話受付: 休止中(メールのみ)

診療時間:10〜19時(完全予約制)

  • 症例写真

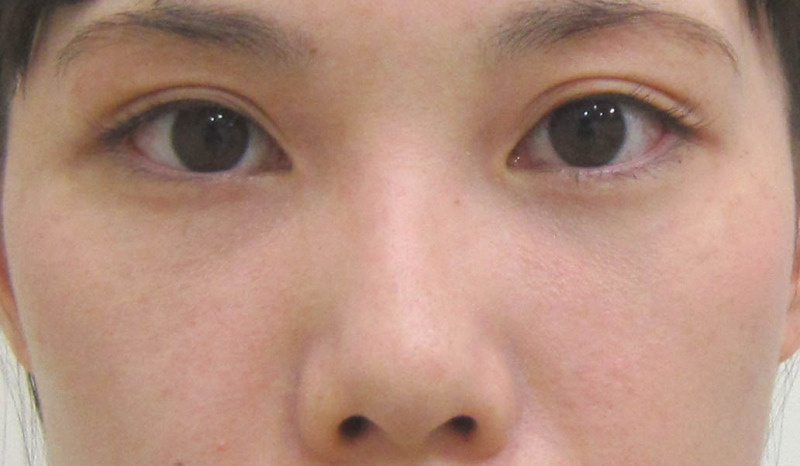
モニター写真:経結膜脱脂6か月後の経過

経結膜脱脂+グロースファクターによる目の下のたるみ・クマ治療のモニターの方の写真です。

 


モニター2-1’

術前・・・目の下の脂肪によるふくらみ(目袋とその下の目の下のくぼみがあります。

ふくらみは中等度の状態です。

 


赤い点線で囲まれた部分が脂肪の突出によるふくらみで、脱脂をしています。

青い点線は溝(筋肉と筋肉の境目によるもの)で、グロースファクターによってご自身の皮膚を再生することでなだらかにしています。

 


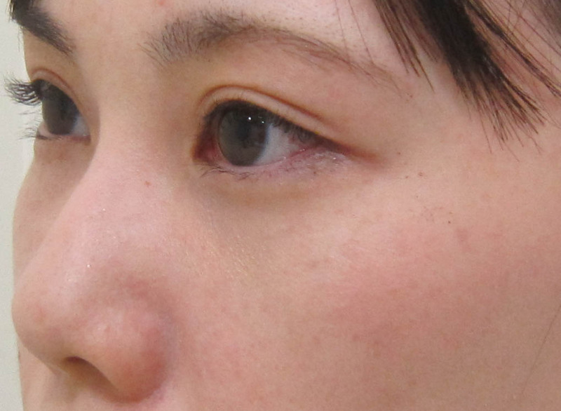
モニター2-2
術直後の状態:赤くなっているのは冷やしたためで一時的なものです。





術後6か月の状態・・・きれいになっていますね。




術後6か月

 


術後6か月・・・もともと脂肪で隠れていた涙袋もきれいに出ています。(涙袋とクマの関係の詳細>>

 

施術名:経結膜脱脂+グロースファクター 

 

 


経結膜脱脂法の術前・術後に気をつけることやダウンタイムの詳細が気になりますよね?
経結膜脱脂法(目の下のたるみ取り治療)の詳細をご覧になりたい方は、次をクリックして下さい。


目の下のたるみ・クマは、グロースファクターの注射のみでも改善できることが多いです。
その場合、費用やダウンタイムが最小限で済み、脱脂後のシワを回避できることと、頬のリフトアップによる若返り効果も得られるというメリットがあ ります。
詳細をご覧になりたい方は、次をクリックして下さい。


目の下のたるみ・クマでお悩みの方は、解決方法がここできっと見つかると思います。
目の下のたるみ・クマの記事一覧をご覧になりたい方は、次をクリックして下さい。


実は、経結膜脱脂手術できれいに仕上げるためには、手術前の準備で9割が決まります。
逆に言うと、そこをクリアすれば、経結膜脱脂法で成功するのはそれほど難しいことではありません。
詳細は、以下をご覧下さい。


目の下の脱脂で失敗したり後悔したくないですよね?
当院または他院様で目の下の脱脂などを受けられ、後悔された方の分析と、そこから得られる失敗学について解説いたします。

よろしければ診断ツールをご利用ください

質問に答えていくタイプのツールです。
あなたの目の下のたるみ・クマの種類や状態、さらに適切な治療法が分かります。
次をクリックしていただくと、セルフチェックのページに移動します。

目の下のたるみクマ自動診断

 

関連記事

症例写真

症例写真|脱脂+グロースファクター 
症例写真|手術しない目の下のクマ治療 
症例写真 | 目の下のクマ他院修正治療


 

【直筆】当院に寄せられた真実の物語

 

 

 

 

 

「このクリニックに興味があるけど、実際はどうなんだろう?」

色々ご不安な方も多いと思います。

そこで、実際に治療を受けられた方々による直筆の資料(症例写真付き)をご覧になりませんか?

主な内容:
・痛み・内出血・腫れ
・お仕事を休まれた期間
・結果の満足度 など


ぜひ以下をクリックしてご覧下さい!


資料を読む>>