経結膜脱脂+グロースファクターによる目の下のたるみ・クマ治療のモニターの方です。
術前・・・目の下の脂肪が多めの方です。
1週間後・・腫れは少しありますが周りから気づかれない程度です。
内出血は出なかったそうです。
1か月後・・・だいぶ良くなっています。
3か月の時点で、小ジワに対してグロースファクターを少量追加しています。
6か月後・・・きれいになりましたね。
ふくらみが特に多い方は、術後小ジワが出る可能性がありますが、グロースファクターを少しだけ追加することで、満足していただけるまで微調整することも可能です。
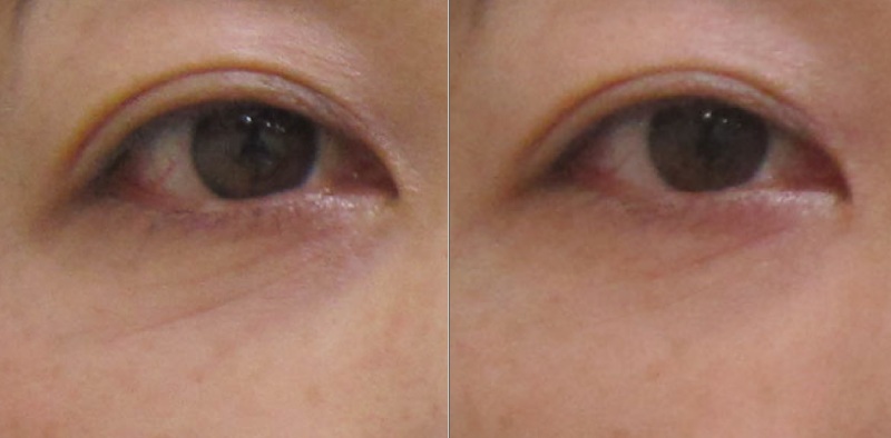
3か月後と6か月後・・・グロースファクターの追加により目の下の小ジワが改善しています。
術前・・・斜めから見るとふくらみがより目立ちます。
1週間後
6か月後・・・自然な仕上がりです。
術前と6か月後・・・メラフェードは半分くらいしか使われなかったそうですが、ふくらみがあったところのシミもだいぶ薄くなっています。
いわゆる茶クマですが、ご自宅でこのように手軽に治療できます。
施術名:経結膜脱脂+グロースファクター
施術名:メラフェード
よろしければ診断ツールをご利用ください
質問に答えていくタイプのツールです。
あなたの目の下のたるみ・クマの種類や状態、さらに適切な治療法が分かります。
次をクリックしていただくと、セルフチェックのページに移動します。
関連記事
症例写真
症例写真|脱脂+グロースファクター
症例写真|手術しない目の下のクマ治療
症例写真 | 目の下のクマ他院修正治療















