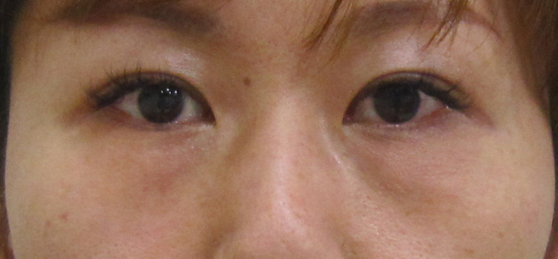
グロースファクターのみによるクマ治療を受けられたモニターの方です。
施術前・・・目の下にふくらみ(目の下の脂肪)+くぼみ(皮膚のたるみが原因)があります。
目の下+頬グロースファクターを受けられました。
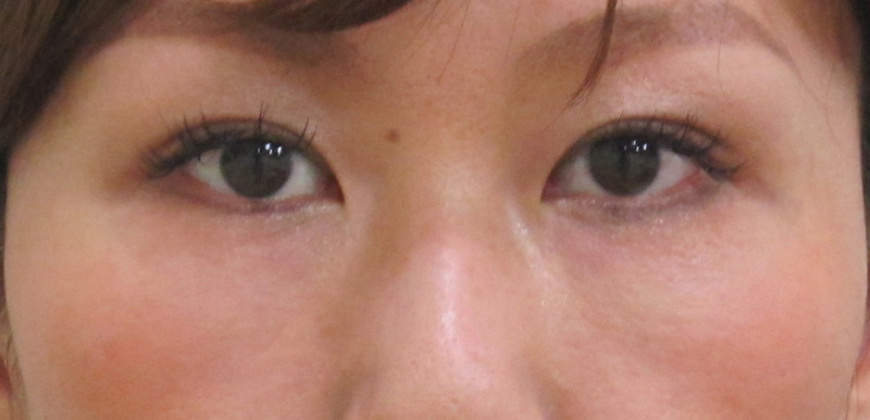
1か月後・・・まだ途中経過ですが、皮膚のハリが出て凹凸感は改善しています。
当然、目の下の脂肪によるふくらみ(目袋)はそのまま残っていますが、その下のくぼみが改善してだいぶ目立たなくなりました。
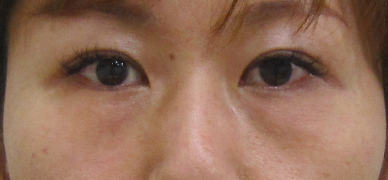
6か月後・・・目の下のハリが出て、クマが目立たなくなりました。
6か月後・・・笑っても違和感はありません。
施術前・・・斜めから見た状態です。
1か月後・・・徐々に改善してきています。
6か月後・・・ご本人は、「夜、電車の窓に映る顔が気にならなくなりました」と喜んでいらっしゃいました。
関連記事
【よくあるご質問】なぜグロースファクターで目の下のクマ・くぼみ、シワが治るのですか?
【よくあるご質問】経結膜脱脂の際にグロースファクターを使う理由は何ですか?
よろしければ診断ツールをご利用ください
質問に答えていくタイプのツールです。
あなたの目の下のたるみ・クマの種類や状態、さらに適切な治療法が分かります。
次をクリックしていただくと、セルフチェックのページに移動します。
関連記事
症例写真
症例写真|脱脂+グロースファクター
症例写真|手術しない目の下のクマ治療
症例写真 | 目の下のクマ他院修正治療













