経結膜脱脂+グロースファクターによる目の下のたるみ・クマ治療をされたモニターの方です。
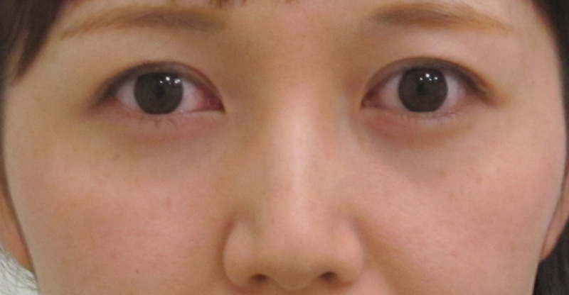
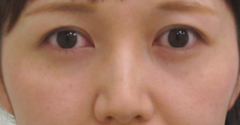
術前
3カ月後・・・この時点でメラフェードによるシミ・くすみ治療を開始されました。
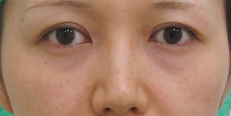
6カ月後・・・くすみが取れ、肌全体が明るくなった印象です。
涙袋もきれいに出ています。
6カ月後・・・笑った状態でも違和感はありません。
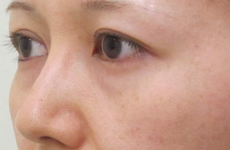
術前・・・斜めから見た状態です。
6カ月後・・・目の下にはごくわずかにシミ(茶クマ)が残っていますが、目の下の凹凸感はなくなっています。
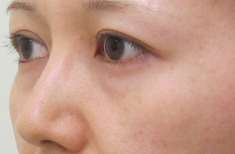
術前…反対側です。
6カ月後・・・きれいになっていますね。
よろしければ診断ツールをご利用ください
質問に答えていくタイプのツールです。
あなたの目の下のたるみ・クマの種類や状態、さらに適切な治療法が分かります。
次をクリックしていただくと、セルフチェックのページに移動します。
関連記事
症例写真
症例写真|脱脂+グロースファクター
症例写真|手術しない目の下のクマ治療
症例写真 | 目の下のクマ他院修正治療













