1.目の下のたるみ・クマに対してグロースファクター注入療法、
2.法令線のグロースファクター注入療法、
を受けられたモニターの方です。
施術前・・・診察上の所見・色で分類したクマの種類としては、以下の通りです。
目の下には脂肪によるふくらみ+くぼみ(影クマ・黒クマ)があります。
また、目の下~頬にシミがあります。(茶クマ)
3カ月後・・・クマ・シワ・シミが改善しています。
3カ月後・・・笑っても違和感はありません。
施術前・・・斜めから見た状態です。
3カ月後・・・きれいになっていますね。
触ってもどこにグロースファクターが入っているか分からないくらいなじんでいます。
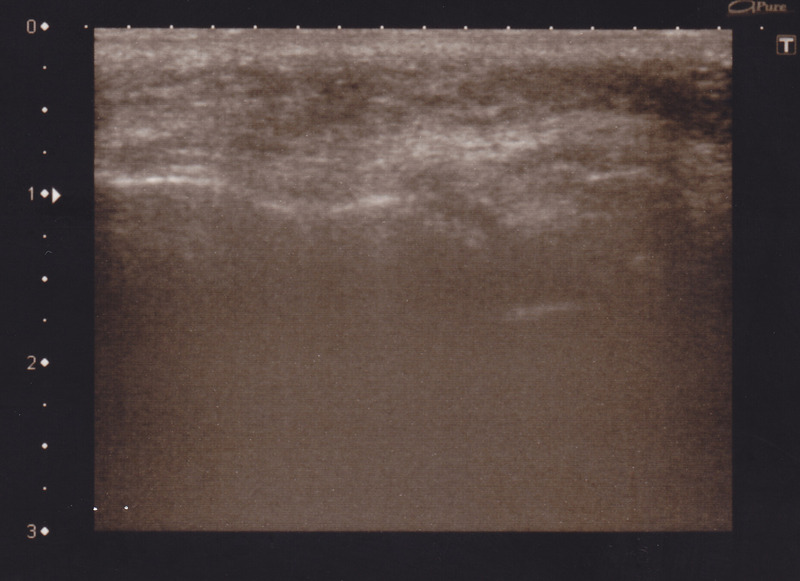
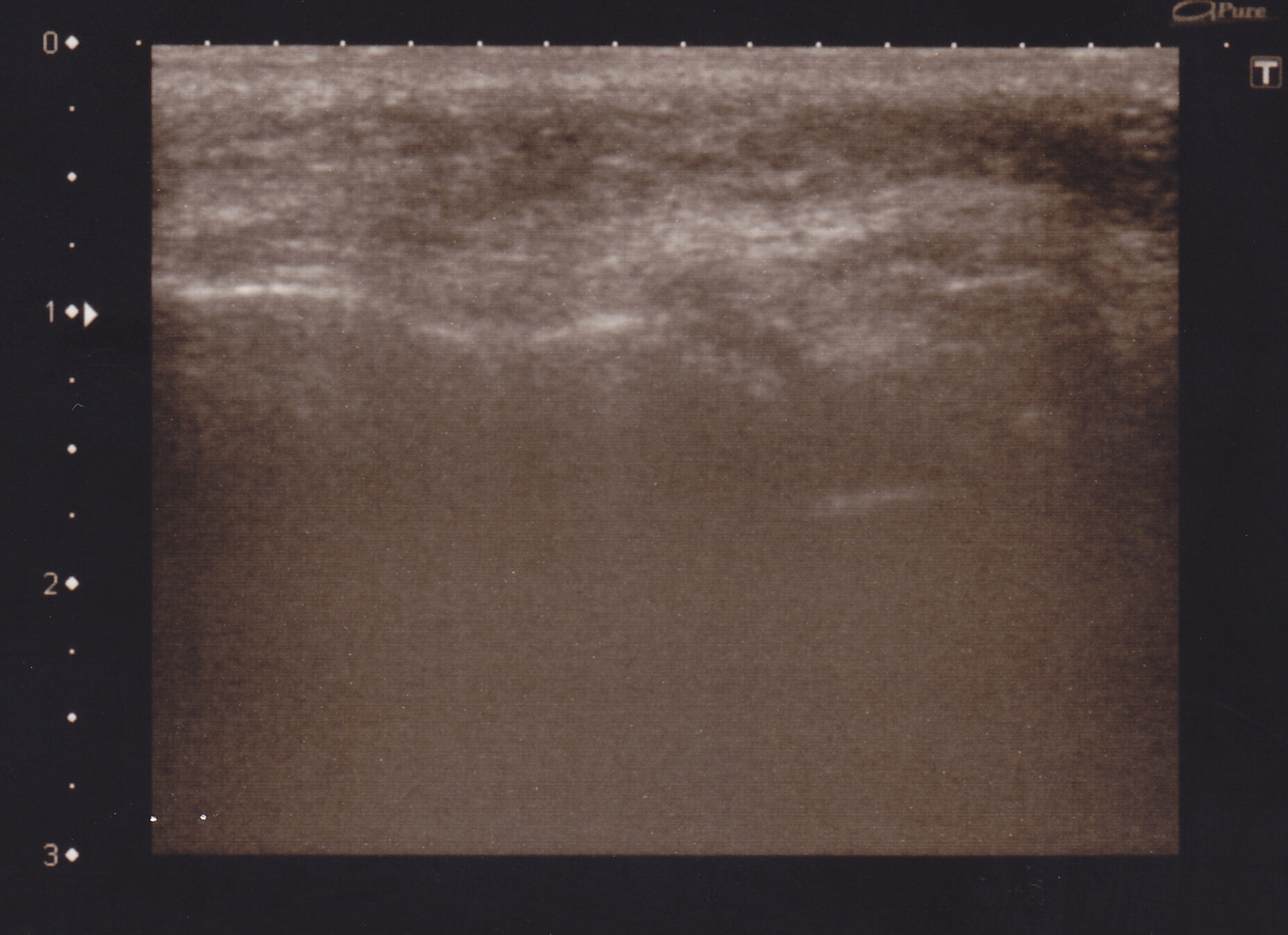
ほうれい線の超音波画像です。(ほうれい線に沿って描出)
皮膚は均一で、皮下にしこりなどもありません。
よろしければ診断ツールをご利用ください
質問に答えていくタイプのツールです。
あなたの目の下のたるみ・クマの種類や状態、さらに適切な治療法が分かります。
次をクリックしていただくと、セルフチェックのページに移動します。
関連記事
症例写真
症例写真|脱脂+グロースファクター
症例写真|手術しない目の下のクマ治療
症例写真 | 目の下のクマ他院修正治療











