0120-735-538
03-5491-5588

電話受付: 休止中(メールのみ)

診療時間:10〜19時(完全予約制)

  • 症例写真

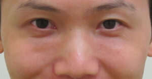
30代男性 目の下のクマ他院修正治療(目の下・頬グロースファクター)

当院にてグロースファクター(目の下+頬)による修正治療を受けられたモニターの方です。

 

こちらの方の他院様での治療歴は以下の通りです。

①他院様にて、目の下のたるみ・クマに対して経結膜脱脂+脂肪注入+PRP
②他院様にて、脱脂1年後に目の下のふくらみが気になりFGF注入
③その後、「笑うと出てくるふくらみ」に対して、他院様にて摘出術を受けられたものの、ふくらみは除去できなかったそうです。
④他院様にて、脂肪注入+PRPによりできたしこりに対して、ケナコルトを注入を受けられたそうです。

また、「下まぶたが赤くなりやすい体質」とのことです。

 

 

当院受診時・・・診察上の所見・色で分類したクマの種類としては、以下の通りです。

1.目の下の脂肪は取り残しなく取られています。

2.目の下のふくらみのところは一部青みがかっているところもあります。(青クマ

3.ふくらみのところには赤み(赤クマ)が多少見られます。

4.くぼみの位置にはシミ(茶クマ)はわずかにあります。

 

 

施術直後・・・ポツポツと注射の跡が見られます。
赤くなっているのは、冷やしたためで、一時的なものです。

 

 

3か月後・・・徐々に改善してきています。
6か月後に目の下に追加注入を受けられました。

 

 

1年後・・・目の下のクマが目立たなくなりました。

 

 

施術前・・・斜めから見た状態です。 

 

 

1年後・・・自然な仕上がりです。

 

 

施術前・・・反対側です。

 

 

1年後・・・凹凸があるように見えていますが、実際はシミがあることによる影響が大きいです。

 

 

施術前・・・笑った状態の比較です。

 

 

1年後・・・笑っても違和感はありません。

また、笑った時のシワも目立たなくなっています。

 

 


施術前/1年後・・・青クマは改善しましたが、シミ・くすみや毛細血管拡張は残っている状態です。
それらは、暗い場所では、くぼみのように見えることがあるので注意が必要です。

 

施術名:グロースファクター注入療法

 


二子玉川美容外科クリニックで行っている目の下のクマの他院修正治療は、脱脂後やヒアルロン酸後、脂肪注入後など、様々な状況に対応しております。
他院修正例の症例写真をご覧になりたい方は、次をクリックして下さい。


「再脱脂しないと修正は無理です」と言われた方が、注射だけで改善できたケースも!
目の下のクマの他院修正治療の詳細をご覧になりたい方は、次をクリックして下さい。


目の下のたるみ・クマでお悩みの方は、解決方法がここできっと見つかると思います。
目の下のたるみ・クマの記事一覧をご覧になりたい方は、次をクリックして下さい。

 

よろしければ診断ツールをご利用ください

質問に答えていくタイプのツールです。
あなたの目の下のたるみ・クマの種類や状態、さらに適切な治療法が分かります。
次をクリックしていただくと、セルフチェックのページに移動します。

目の下のたるみクマ自動診断

 

目の下のたるみ・クマの関連記事

症例写真

症例写真|脱脂+グロースファクター 
症例写真|手術しない目の下のクマ治療 
症例写真 | 目の下のクマ他院修正治療