青クマは、目の下の静脈が透けて見えている状態です。
疲労時や慢性消耗性疾患、むくみがある時に悪化します。
この場合、日によって範囲や色調の強さが異なったりする特徴があります。
また、元々皮膚が色白の方は、目の下の色が透けて見えやすい傾向にあります。
青クマの治療法
グロースファクター注入療法で皮膚が厚くなることで青クマは改善する
皮膚が薄いのは、グロースファクターで改善します。
それと同時に青クマも透けて見えづらくなります。
したがって、脱脂+グロースファクターまたはグロースファクターのみによるクマ治療後は、青クマ・紫クマがかなり改善される例が多いです。
目の上の皮膚と同じくらいの色調は残ることもありますが、それでもメイクで隠れるくらいに落ち着くことが多いです。
紫クマの治療法
皮膚の薄さの程度によっては、皮膚の毛細血管が透けて赤みが増したり、赤クマが混ざると、青クマは紫色に近い色に見えます。
紫クマの治療は、青クマ以外に赤クマも対処する必要があります。
赤クマの原因
「赤クマ」は、筋肉の色が透けて見えることで起こります。
脂肪が飛び出していると眼輪筋を圧迫します。
それにより筋肉の赤みが透けて見えやすくなりますので、目の下に赤みが出ます。
経結膜脱脂法により、目の下の脂肪を取ると、それと同時に眼輪筋への圧迫が解除され、赤クマは解消されることが多いです。
赤クマは青クマと混ざり、紫色に見えることがあります。
筋肉の赤み以外にも毛細血管が赤く見えることもあります。
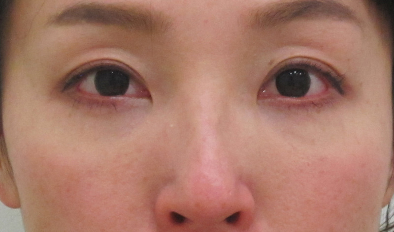
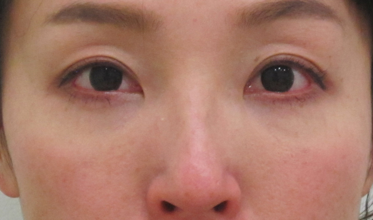
青クマ、紫クマの治療例
青クマ、茶クマの治療例
施術前/6ヵ月後(ともにメイクあり)・・・他院様で脱脂のみを受けられた方です。
当院で目の下・頬・法令線のグロースファクター注入療法を受けられています。
また、シミ治療も同時に受けられました。
目の下~頬の厚みが出て、若々しくなると同時に、青クマも改善しています。
青クマ、黒クマの治療例
術前・・・脱脂+グロースファクターによる他院修正治療を受けられた方です。
脂肪の取り残しによるわずかな凹凸とともに青クマが見られています。
6か月後・・・青クマが解消されました。
ちなみに、こちらの方は、経過中に二重の治療も受けられています。
青クマ、黒クマの治療例
施術前・・・他院様にて脱脂後の方です。
脂肪の取り残しと目の下のくぼみ以外に青クマも見られています。
6か月後・・・凹凸およ び青クマがきれいになっています。
関連するよくあるご質問
【よくあるご質問】目の下の赤みを取るには、どのような治療法がありますか?
【よくあるご質問】目の下の脂肪が出ていますが、目の下の皮膚の血流はうっ滞しているのでしょうか?
よろしければ診断ツールをご利用ください
質問に答えていくタイプのツールです。
あなたの目の下のたるみ・クマの種類や状態、さらに適切な治療法が分かります。
次をクリックしていただくと、セルフチェックのページに移動します。












