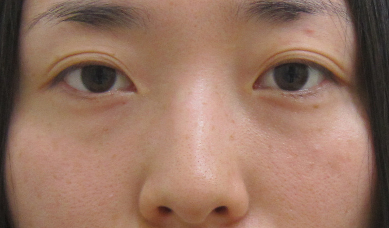
目の下のたるみ・クマに対して経結膜脱脂+グロースファクターによる治療を受けられたモニターの方の写真です。
術前・・・目の下に目の下の脂肪によるふくらみ(目袋)がわずかにあります。
目の下のくぼみもさらにその下にあります。
術後1週間・・・腫れ・内出血などのダウンタイムはほとんどなかったとのことです。
この時点でもだいぶきれいになっています。
術後1カ月・・・徐々にグロースファクターが効いてくる時期です。
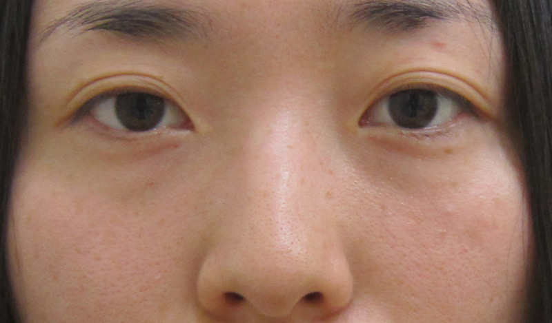
術後6カ月・・・だいぶ良くなりましたね。
術前と6ヶ月後の比較・・・何となく疲れた印象がすっきりとなりました。
術前と6ヶ月後の比較・・・涙袋がきれいに出てきているのが分かります。
施術名:経結膜脱脂+グロースファクター
経結膜脱脂法の術前・術後に気をつけることやダウンタイムの詳細が気になりますよね?
経結膜脱脂法(目の下のたるみ取り治療)の詳細をご覧になりたい方は、次をクリックして下さい。
目の下のたるみ・クマは、グロースファクターの注射のみでも改善できることが多いです。
その場合、費用やダウンタイムが最小限で済み、脱脂後のシワを回避できることと、頬のリフトアップによる若返り効果も得られるというメリットがあ ります。
詳細をご覧になりたい方は、次をクリックして下さい。
目の下のたるみ・クマでお悩みの方は、解決方法がここできっと見つかると思います。
目の下のたるみ・クマの記事一覧をご覧になりたい方は、次をクリックして下さい。
実は、経結膜脱脂手術できれいに仕上げるためには、手術前の準備で9割が決まります。
逆に言うと、そこをクリアすれば、経結膜脱脂法で成功するのはそれほど難しいことではありません。
詳細は、以下をご覧下さい。
目の下の脱脂で失敗したり後悔したくないですよね?
当院または他院様で目の下の脱脂などを受けられ、後悔された方の分析と、そこから得られる失敗学について解説いたします。
よろしければ診断ツールをご利用ください
質問に答えていくタイプのツールです。
あなたの目の下のたるみ・クマの種類や状態、さらに適切な治療法が分かります。
次をクリックしていただくと、セルフチェックのページに移動します。
関連記事
症例写真
症例写真|脱脂+グロースファクター
症例写真|手術しない目の下のクマ治療
症例写真 | 目の下のクマ他院修正治療













