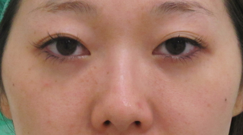
術前・・・目の下の脂肪は多めです。
涙袋は不明瞭になっています。
ふくらみのの下にくぼみがある状態です。
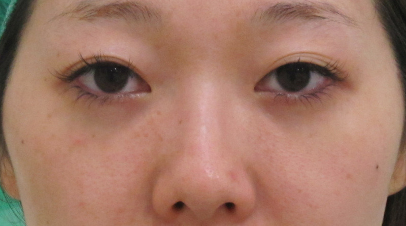
6ヶ月後・・・バランスのいい状態になっています。
6ヶ月後(笑った状態)・・・笑うと右目の涙袋が幅広いことと、左目の涙袋が2段になるということで、再手術をされました。
追加で取った脂肪はごく少量です。
初回手術より9ヵ月後・・・自然な仕上がりです。
初回手術より9ヵ月後(笑った状態)・・・右の涙袋は元々筋肉の左右差により幅広いようです。
左側もきれいになっています。
術前・・・斜めから見た状態です。
6ヶ月後・・・きれいになっていますね。
関連記事です。
【よくあるご質問】脱脂後、涙袋が出てくるかどうか分りますか?
【よくあるご質問】左右の涙袋の大きさが同じになるように脱脂することはできませんか?
経結膜脱脂法の術前・術後に気をつけることやダウンタイムの詳細が気になりますよね?
経結膜脱脂法(目の下のたるみ取り治療)の詳細をご覧になりたい方は、次をクリックして下さい。
目の下のたるみ・クマは、グロースファクターの注射のみでも改善できることが多いです。
その場合、費用やダウンタイムが最小限で済み、脱脂後のシワを回避できることと、頬のリフトアップによる若返り効果も得られるというメリットがあります。
詳細をご覧になりたい方は、次をクリックして下さい。
目の下のたるみ・クマでお悩みの方は、解決方法がここできっと見つかると思います。
目の下のたるみ・クマの記事一覧をご覧になりたい方は、次をクリックして下さい。
実は、経結膜脱脂手術できれいに仕上げるためには、手術前の準備で9割が決まります。
逆に言うと、そこをクリアすれば、経結膜脱脂法で成功するのはそれほど難しいことではありません。
詳細は、以下をご覧下さい。
目の下の脱脂で失敗したり後悔したくないですよね?
当院または他院様で目の下の脱脂などを受けられ、後悔された方の分析と、そこから得られる失敗学について解説いたします。
よろしければ診断ツールをご利用ください
質問に答えていくタイプのツールです。
あなたの目の下のたるみ・クマの種類や状態、さらに適切な治療法が分かります。
次をクリックしていただくと、セルフチェックのページに移動します。
関連記事
症例写真
症例写真|脱脂+グロースファクター
症例写真|手術しない目の下のクマ治療
症例写真 | 目の下のクマ他院修正治療













