①目の下のたるみ・クマ治療(経結膜脱脂+グロースファクター注入)
②目の上のくぼみ治療(グロースファクター注入)
を受けられたモニターの方です。
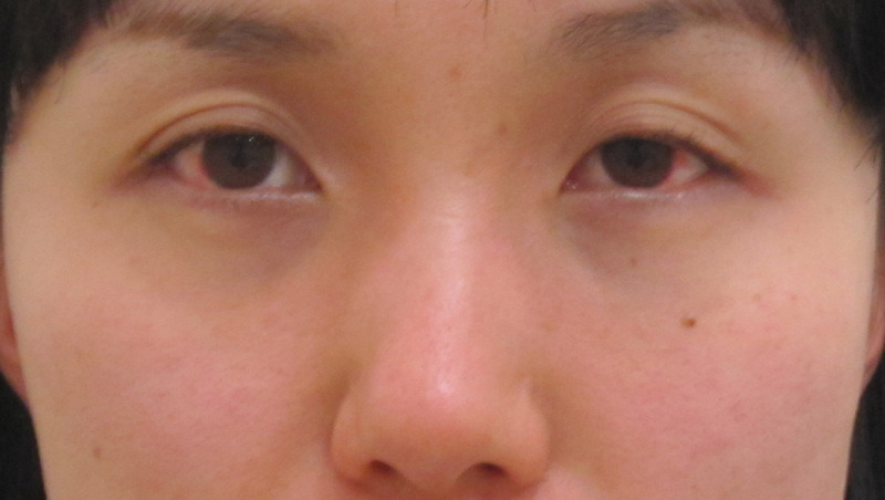
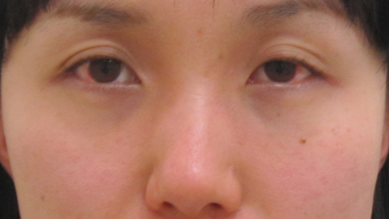
術前・・・目の上にくぼみがあります。
目の下の脂肪によるふくらみ(目袋)+くぼみがあり(影クマ・黒クマ)、皮膚が薄い印象です。
1週間後・・・順調な経過です。
3ヵ月後・・・徐々に改善してきています。
6ヵ月後・・・この時点で両側の目の上に追加しています。
9ヵ月後・・・きれいになっていますね。
9ヵ月後・・・笑った状態でも違和感はありません。
術前・・・斜めから見た状態です。
9ヵ月後・・・自然な仕上がりですね。
目の上は空気の乾燥度や疲れ具合・体調などにより多少変動があります。
また、ある程度のくぼみの深さがある場合、1回目の治療では、あまり重くならないようにグロースファクターを控えめに投与することが多いです。
施術名:経結膜脱脂+グロースファクター
施術名:グロースファクター注入療法
経結膜脱脂法の術前・術後に気をつけることやダウンタイムの詳細が気になりますよね?
経結膜脱脂法(目の下のたるみ取り治療)の詳細をご覧になりたい方は、次をクリックして下さい。
目の下のたるみ・クマは、グロースファクターの注射のみでも改善できることが多いです。
その場合、費用やダウンタイムが最小限で済み、脱脂後のシワを回避できることと、頬のリフトアップによる若返り効果も得られるというメリットがあります。
詳細をご覧になりたい方は、次をクリックして下さい。
目の下のたるみ・クマでお悩みの方は、解決方法がここできっと見つかると思います。
目の下のたるみ・クマの記事一覧をご覧になりたい方は、次をクリックして下さい。
実は、経結膜脱脂手術できれいに仕上げるためには、手術前の準備で9割が決まります。
逆に言うと、そこをクリアすれば、経結膜脱脂法で成功するのはそれほど難しいことではありません。
詳細は、以下をご覧下さい。
目の下の脱脂で失敗したり後悔したくないですよね?
当院または他院様で目の下の脱脂などを受けられ、後悔された方の分析と、そこから得られる失敗学について解説いたします。
よろしければ診断ツールをご利用ください
質問に答えていくタイプのツールです。
あなたの目の下のたるみ・クマの種類や状態、さらに適切な治療法が分かります。
次をクリックしていただくと、セルフチェックのページに移動します。
関連記事
症例写真
症例写真|脱脂+グロースファクター
症例写真|手術しない目の下のクマ治療
症例写真 | 目の下のクマ他院修正治療














