脱脂+グロースファクター注入を受けられたモニターの方です。
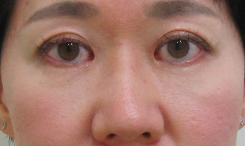
術前・・・診察上、所見としては以下の通りです。
1.涙袋は目の下の脂肪によるふくらみ(目袋)により隠れている状態です。
2.脂肪の量(進行度)としては中等度です。
3.目の下にはくぼみがあります。
4.こめかみから下がってきた皮膚が頬にゴルゴ線を作っています。(右<左)
こめかみから矢印のように皮膚が下がってきます。
青で囲ったところにじん帯がありますが、この部分の引っ掛かりが強い方はくぼみができやすいです。
結果として、青で囲った上の部分がふくらんで見えやすくなります。
治療に際して、ふくらんだ印象にならないようにバランスを考えて注入を行う必要があります。
1カ月後・・・この時点ではまだくぼみが少しあります。
この時期は、くぼみがあっても様子を見る時期です。
3カ月後・・・グロースファクターは3~6ヶ月で効果を発揮します。
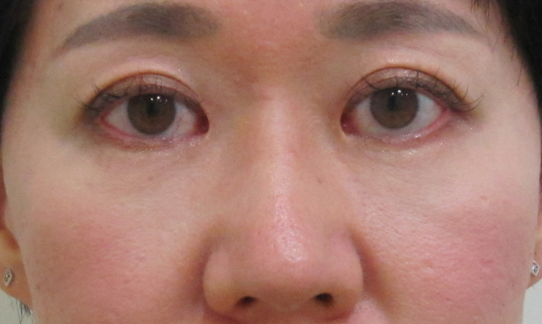
6カ月後・・・涙袋が復活しています。
また、目の下の凹凸感が改善しています。
6カ月後・・・笑っても違和感はありません。
術前・・・斜めから見た状態です。
6カ月後・・・きれいになっていますね。
6カ月後・・・自然な仕上がりですね。
施術名:経結膜脱脂+グロースファクター
経結膜脱脂法の術前・術後に気をつけることやダウンタイムの詳細が気になりますよね?
経結膜脱脂法(目の下のたるみ取り治療)の詳細をご覧になりたい方は、次をクリックして下さい。
目の下のたるみ・クマは、グロースファクターの注射のみでも改善できることが多いです。
その場合、費用やダウンタイムが最小限で済み、脱脂後のシワを回避できることと、頬のリフトアップによる若返り効果も得られるというメリットがあります。
詳細をご覧になりたい方は、次をクリックして下さい。
目の下のたるみ・クマでお悩みの方は、解決方法がここできっと見つかると思います。
目の下のたるみ・クマの記事一覧をご覧になりたい方は、次をクリックして下さい。
実は、経結膜脱脂手術できれいに仕上げるためには、手術前の準備で9割が決まります。
逆に言うと、そこをクリアすれば、経結膜脱脂法で成功するのはそれほど難しいことではありません。
詳細は、以下をご覧下さい。
目の下の脱脂で失敗したり後悔したくないですよね?
当院または他院様で目の下の脱脂などを受けられ、後悔された方の分析と、そこから得られる失敗学について解説いたします。
よろしければ診断ツールをご利用ください
質問に答えていくタイプのツールです。
あなたの目の下のたるみ・クマの種類や状態、さらに適切な治療法が分かります。
次をクリックしていただくと、セルフチェックのページに移動します。
関連記事
症例写真
症例写真|脱脂+グロースファクター
症例写真|手術しない目の下のクマ治療
症例写真 | 目の下のクマ他院修正治療
















