他院様にて経結膜脱脂のみを受けられた後、当院にて経結膜脱脂+グロースファクターによる目の下のたるみ・クマの修正治療を受けられたモニターの方の治療経過です。
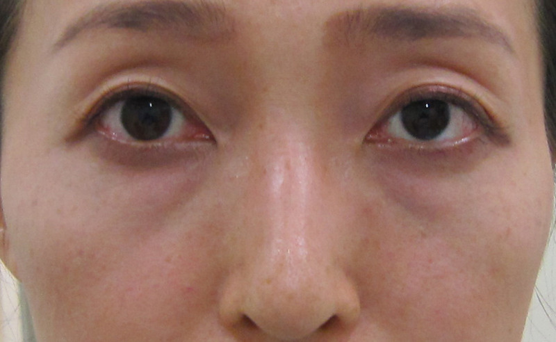
術前・・・診察上の所見・色で分類したクマの種類としては、以下の通りです。
1.涙袋 は目の下の脂肪(眼窩脂肪)の突出により多少不明瞭になっています。
2.脂肪の量(進行度) としては中等度です。
3.ふくらみのところには赤み (赤クマ)があります。
4.ふくらみの下にはハの字状にくぼみ があります。(影クマ・黒クマ)
5.くぼみの位置にはわずかにシミがあります。(茶クマ)
6.頬 はたるみにより扁平な状態になっています。
経結膜脱脂+グロースファクターによる修正治療を受けられました。
術前・・・メイクありの状態です。
メイクをしても凹凸や赤みは隠せません。
術直後・・・目の下の脂肪を取ることで赤みはすみやかに改善してます。
グロースファクターによる注射の跡がところどころ見られます。
1週間後・・・順調な経過です。
1ヵ月後・・・徐々にグロースファクターが効果を発揮してきています。
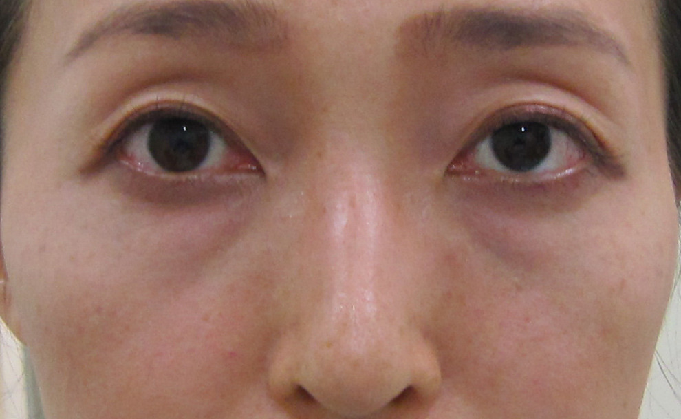
6か月後・・・きれいになっていますね。
術前・・・笑った状態の比較です。
6か月後・・・笑っても違和感はありません。
術前・・・斜めから見た状態です。
6か月後・・・凹凸感は改善しています。
今回、シミは治療されていないので、斜めから見るとシミがうっすらと見えます。
術前・・・反対側です。
6か月後・・・すっきりした印象ですね。
二子玉川美容外科クリニックで行っている目の下のクマの他院修正治療は、脱脂後やヒアルロン酸後、脂肪注入後など、様々な状況に対応しております。
他院修正例の症例写真をご覧になりたい方は、次をクリックして下さい。
「再脱脂しないと修正は無理です」と言われた方が、注射だけで改善できたケースも!
目の下のクマの他院修正治療の詳細をご覧になりたい方は、次をクリックして下さい。
目の下のたるみ・クマでお悩みの方は、解決方法がここできっと見つかると思います。
目の下のたるみ・クマの記事一覧をご覧になりたい方は、次をクリックして下さい。
よろしければ診断ツールをご利用ください
質問に答えていくタイプのツールです。
あなたの目の下のたるみ・クマの種類や状態、さらに適切な治療法が分かります。
次をクリックしていただくと、セルフチェックのページに移動します。
関連記事
症例写真
症例写真|脱脂+グロースファクター
症例写真|手術しない目の下のクマ治療
症例写真 | 目の下のクマ他院修正治療


















