「脱脂のみでうまくいくのか?」あるいは「脱脂のみを選んだ場合にくぼんでしまわないか?」と心配ですか?
ここでは、「脱脂のみ」でうまくいくパターンとそうでないパターンについて解説いたします。
また、仮に脱脂のみを選んだ場合に、万が一満足いかなかった場合の修正方法についてもご紹介いたします。
ここでは、以下のような方の疑問にお答えいたします。
このページの内容
- 目の下にくぼみがある場合、「脱脂のみ」は、術後にくぼみ(+脂肪の取り残し)が残る原因となる。
- 目の下にくぼみ・たるみがある場合は、脱脂のみでなく、グロースファクターも行った方がきれいになる。(グロースファクターは、脂肪注入やヒアルロン酸と比べて失明・しこりなどのデメリットがない)
- 他院様で「脱脂のみ」を受けられ、くぼみ(+取り残し)が残った方の修正は、グロースファクターのみで行うことができる。
目次
「目の下の脱脂のみをしたらくぼんだ」という方が多い理由
目の下にふくらみがある場合、くぼみもある場合がほとんどだから
目の下にはふくらみとくぼみが両方あることが多いです。
ちなみに、くぼみは皮膚のたるみによっておこります。
くぼみがある場合、脂肪を取るとくぼみだけが残った状態になります。
脱脂のみできれいになる条件は、①目の下にくぼみがないことと②皮膚のたるみがないこと
「脱脂のみ」による治療が向いている方は、ふくらみの下に「くぼみ」があまりない方です。
ふくらみの下にくぼみがほとんどない方は脱脂のみでも良くなることもありますが、その場合は窪まないように控えめに取る必要があります。
すると、笑った時のふくらみが残りがちになります。
また、実際には、目の下にくぼみが全くないという方は少なく、わずかなくぼみがあったりします。
確かに、脱脂のみを行い、許容範囲内に仕上がることは可能な場合もあります。
脱脂のみを行ってもくぼみが気にならない程度であれば、くぼみ治療は必要ありません。
術後何年も経ってから、くぼみが気になってきた場合に、くぼみ治療を行うことも可能ではあります。
もし脱脂のみを受けられるのであれば、仮にグロースファクターを後で受けるとなった場合、目の下の腫れが引くまで、1~3か月程度待っていただく必要があります。
なお、目の下のふくらみが目立たなくても皮膚のたるみがある場合は、目の下の脱脂のみを行った後に、やはりくぼみが残ることがあります。
その理由は、皮膚がたるんで薄くなっていると、脱脂後に皮膚が余り、だぶついた皮膚により凹凸が生じやすくなっているためです。
目の下の「脱脂のみ」だと満足いかない結果になることが多い理由
実は、当院では「脱脂のみ」は基本的には行っていません。
なぜなら「脱脂のみ」は、ふくらみとくぼみの両方が残った中途半端な仕上がりになることが多いためです。
また、脂肪の再配置を行うという手段もありますが、手術の範囲が多少大きくなる分、腫れが多少出やすくなることがあったりします。
また、皮膚の弾力が低下している場合などには、笑った時にシワが出たりすることもあります。
一方、グロースファクターを注射すると、皮膚のコラーゲンが増え、くぼみを治すだけではなく、笑いジワも緩和します。
目の下のグロースファクターの詳細>>
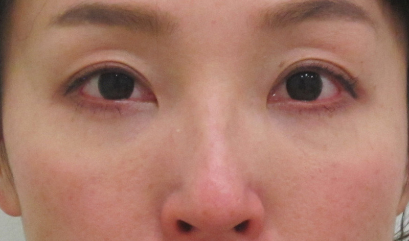
「脱脂のみ」が終わった状態の症例写真
脱脂+グロースファクターの過程
当院で脱脂+グロースファクターを受けられた方の例です。

「脱脂のみ」終了直後の状態・・・くぼみが強調されて、げっそりした印象になっています。

グロースファクター注入直後・・・上記の②の直後に引き続き行っています。
よく見ると所々に注射の跡があります。
少し赤くなっているのは冷やしたためで、一時的なものです。

3~6か月くらいすると仕上がります。
皮膚のハリがでることでくぼみが改善されています。
次の方は、脱脂+グロースファクターを受けられています。
脱脂のみ終わった状態では、目の下にうっすらとくぼみがあります。
また、青クマが見えやすい状態がグロースファクターにより皮膚を厚くすることで改善しています。
「脱脂のみ」を行う場合は、くぼまないように脂肪を控えめに取る
もし脱脂+グロースファクターではなく、「脱脂のみ」を行う場合は、脂肪の取り具合は、くぼんだ印象にならないように控えめに取ることになります。
上記の②と③の中間くらいの次のような感じになります。
取る量の調整は、術中に体を起こしながら確認して、取り過ぎないように注意します。
ただし、くぼまないように気をつけて控えめに脱脂をすると、前述のように、術後の仕上がりが少し脂肪が残っている印象になったり、ニッと笑った時に脂肪が浮き出ることがありえます。
当院では「脱脂のみ」を選択される方は非常に少ないです。(数年に1例程度)
そのような選択をされた方は、結局後からグロースファクターを受けられたりしています。
当院での目の下のクマ・たるみ治療は、「脱脂なし」も可能
当院で目の下のたるみ・クマ治療を受けられる方のほとんどが
①グロースファクターのみによる「手術しないクマ治療」または②経結膜脱脂(脱脂)+グロースファクターを受けられています。
つまり「脱脂なし」も可能です。
一方、「脱脂のみ」を受けられる方は、割合的には非常に少ないです。
ちなみに、グロースファクターのみによる治療の場合、腫れや内出血の程度や割合が低くなります。(治療の詳細を見る>>)
もし他院様で「目の下の脱脂のみ」を受けられ、ふくらみやくぼみが残ったら
もし脱脂のみを受けられ、修正が必要な場合、グロースファクターで治療可能な場合がほとんどです。
他院様で脱脂のみを受けられ、ふくらみとくぼみが残った方の修正例
他院様で「脱脂のみ」を受けられ、くぼみを修正するために当院に来られた方の例です。

目の下をよく見ると、脂肪が少し残っています。
控えめな脱脂の印象です。
ふくらみ+くぼみ修正のために、当院でグロースファクターによる修正を受けられました。

6か月後・・・きれいになっていますね。
詳細な経過>>
他院様で「脱脂のみ」を受けられ、くぼみが残った方の修正例
逆に、「脱脂のみ」でしっかり取りすぎるとくぼんだ印象になってしまうことがあります。
次の方は、他院で脱脂のみを受けられ、くぼみが生じた例です。

当院来院時・・・脱脂後1年以上経ってから来院されました。
目の下の脂肪はしっかり取られています。

6か月後・・・きれいになっていますね。
シミも改善しています。
詳細な経過>>
脱脂のみを受けられた方々の修正例の経過写真
他院様で「目の下の脱脂のみ」を受けられ、当院で修正治療を受けられた方々です。
術前・・・当院来院時の状態です。
修正後(3年3ヵ月後)・・・きれいになっていますね。
詳細な経過はこちらです。
30代女性 目の下のクマ他院修正治療 3年3ヵ月後の経過
他院様にて経結膜脱脂のみを受けられ、当院で目の下の修正治療(目の下+頬のグロースファクター)、②法令線のグロースファクターを受けられたモニターの方です。

術前・・・当院来院時の状態です。
目の下には脂肪の取り残しによるふくらみが見られます。
詳細な経過はこちらです。
30代女性 目の下のクマ他院修正(目の下+頬のグロースファクター)、法令線治療 1年4ヵ月後
7年前に他院様にて脱脂のみを行い、当院でグロースファクターによる修正治療を受けられたモニターの方です。
詳細な経過はこちらです。
30代女性 目の下のクマ 他院脱脂後の修正+右目の上のくぼみ治療(グロースファクター注入療法)
他院様にて経結膜脱脂のみを受けられた後にくぼみができた方です。
詳細な経過はこちらです。
他院脱脂後の目の下のくぼみに対する修正治療:グロースファクター 3カ月後の経過
その他の「脱脂のみ」後の他院修正治療の経過です。
40代女性 脱脂+グロースファクターによるクマ治療(他院治療後の修正)、シミ・くすみ治療
40代女性 目の下のたるみ・クマ治療 他院修正(経結膜脱脂+グロースファクター)
目の下のクマ(他院脱脂後の修正)+頬・法令線のシワ・たるみ治療+シミ治療 10ヵ月後の経過
50代女性 目の下のクマ治療(他院修正)+顔全体のたるみ治療+メラフェード 2年6ヶ月後の経過
50代女性 他院脱脂後の修正治療(グロースファクター注入療法) 1年4ヵ月後の経過
その他の他院修正例の経過写真>>
二子玉川美容外科クリニックでの「脱脂」の方法は?
脱脂+グロースファクターでは、基本的には取り残しがないようにする
当院では、前述の通り、「脱脂のみ」を行うことはまれで、「脱脂+グロースファクター」を行う場合がほとんどです。
その場合、脂肪は飛び出している余分な部分(下の図の赤線で囲った部分)だけを丁寧に取ります。
その場合、前述の説明図②のように脱脂直後に一時的にくぼみが出ますが、そこはグロースファクターで治療する流れとなります。
脱脂による小ジワ・たるみのリスクが高い方は、控えめに取ることもある
目の下の脂肪の量が重度の方などは、あえて控えめに取ることもあります。
控えめに脱脂+目の下・頬のグロースファクター
当院の目の下のクマ・たるみの治療方針の詳細>>
最終的には、脱脂後の目の下のくぼみ治療が治療の仕上がりを左右することが多い
上記をまとめると、脱脂のみでうまくいくかどうかは、目の下のくぼみの有無により決まります。
なお、目の下のくぼみは、頬までつながって広がっている場合もあったり、骨格的な問題も関わっているので、単純ではないこともあります。
「脱脂のみ」を受ける場合の3つのデメリット
1.目の下の脂肪の取り残しがあり得る
他院で脱脂のみを受けられる場合、くぼんだ印象にならないようにするため、控え目に取ることが多いです。その場合、グロースファクターで後日修正を行った場合、「目の下」以外に「頬」まで治療しないと完全に凹凸を修正しきれないことがあります。
2.脂肪の取り残しなく「脱脂のみ」をした場合、くぼんだ状態で数か月を過ごす必要がある
逆にくぼまないように取るとなると、くぼみだけが残ったげっそりした状態になりえます。
なお、当院でもし脱脂のみを受けられる場合、後日グロースファクターを受けられる可能性が少しでもあるのであれば、取り残しがないようにきちんと脱脂を行うことをお勧めいたします。
3.時間的にも費用的にも余計にかかる
脱脂後にグロースファクターもやはり行うとなった場合、結局費用と時間が余計にかかってしまいます。
初回できちんとした治療を行うのがベストです。
目の下の脱脂で後悔した方のパターンの分析から得られる失敗学
「脱脂のみ」に関連する「よくあるご質問」
他院で目の下の「経結膜脱脂のみ」をして脂肪を取られ過ぎた場合、修正できますか?
脱脂後、腫れが引いた後の凹みにより疲れた様に見えることがあるのでしょうか?
脂肪は全部取ってしまうのでしょうか?窪んでしまわないか不安です。
他院での脱脂後、どれくらい後でグロースファクターでくぼみを修正できますか?
よろしければ診断ツールをご利用ください
質問に答えていくタイプのツールです。
あなたの目の下のたるみ・クマの種類や状態、さらに適切な治療法が分かります。
次をクリックしていただくと、セルフチェックのページに移動します。
関連記事
よろしければ診断ツールをご利用ください
質問に答えていくタイプのツールです。
あなたの目の下のたるみ・クマの種類や状態、さらに適切な治療法が分かります。
次をクリックしていただくと、セルフチェックのページに移動します。



















