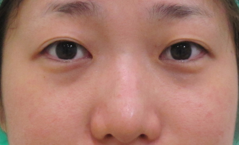
目の下のたるみ・クマ治療(経結膜脱脂+グロースファクター)を受けられたモニターの方です。
術前・・・診察上の所見・色で分類したクマの種類としては、以下の通りです。
1.涙袋 は比較的はっきりしています。
2.脂肪の量(進行度)としては、軽度です。
ふくらみが影を作っています。(影クマ・黒クマ)
3.脂肪によるふくらみの左右差に関しては、わずかに右がふくらみが大きいです。
4.ふくらみの下にはハの字状にくぼみ がうっすらとあります。
5.ふくらみには青クマとの重複により一部紫がかっているところもあります。(紫クマ)
6.シミ(茶クマ)はほとんどありません。
術直後・・・皮膚表面からグロースファクターの注射をした跡がポツポツと見られます。
うっすら赤いのは冷やしたためで一時的なものです。
1週間後・・・この時期には多少腫れが残っていることもあります。
この時期はグロースファクターはほとんど効いていないことも多いです。
1ヵ月後・・・グロースファクターが徐々に効果を発揮してきています。
6か月後・・・青クマ・紫クマは多少残っていますが、凹凸は改善してます。
青クマは、皮膚の下にある筋肉(眼輪筋)が透けて見えているためで、疲れている時などに強くなります。
最終的には、上まぶたくらいの色は残ります。
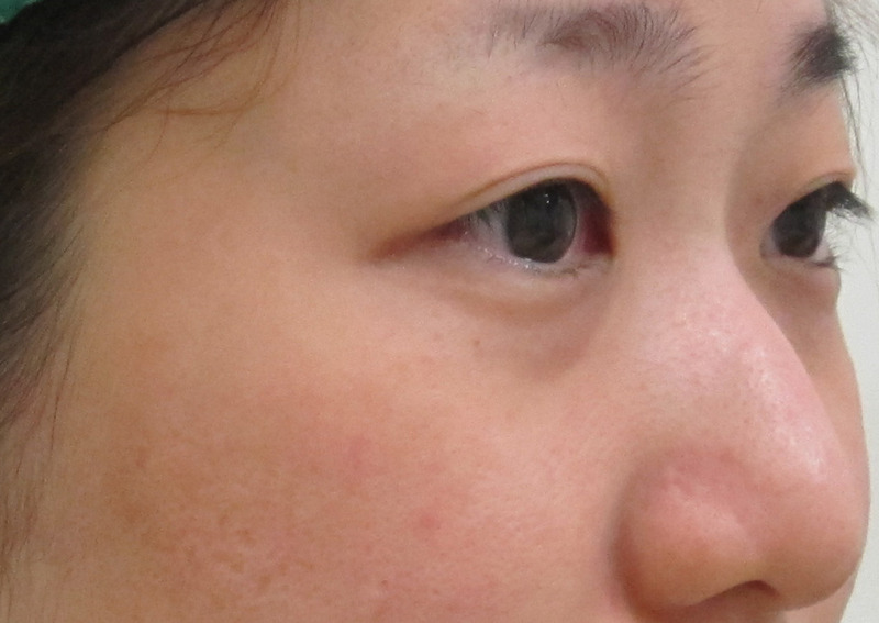
術前・・・斜めから見た状態です。
6か月後・・・ふくらみはきれいになっています。
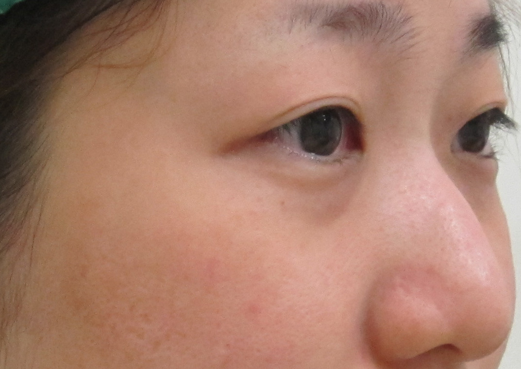
術前・・・反対側です。
6か月後・・・自然な仕上がりですね。
術前・・・笑った状態の比較です。
右目のふくらみは元々の左右差を反映していると考えられます。
6か月後・・・特に右目の下のふくらみが改善しています。
その後の長期経過です。
8年8か月後・・・いい状態が維持されています。
8年8か月後・・・斜めから見た状態です。
8年8か月後・・・目の下に追加投与は特に必要ありません。
8年8か月後・・・笑った状態も特に違和感はありません。
施術名:経結膜脱脂+グロースファクター
経結膜脱脂法の術前・術後に気をつけることやダウンタイムの詳細が気になりますよね?
経結膜脱脂法(目の下のたるみ取り治療)の詳細をご覧になりたい方は、次をクリックして下さい。
目の下のたるみ・クマは、グロースファクターの注射のみでも改善できることが多いです。
その場合、費用やダウンタイムが最小限で済み、脱脂後のシワを回避できることと、頬のリフトアップによる若返り効果も得られると いうメリットがあります。
詳細をご覧になりたい方は、次をクリックして下さい。
目の下のたるみ・クマでお悩みの方は、解決方法がここできっと見つかると思います。
目の下のたるみ・クマの記事一覧をご覧になりたい方は、次をクリックして下さい。
実は、経結膜脱脂手術できれいに仕上げるためには、手術前の準備で9割が決まります。
逆に言うと、そこをクリアすれば、経結膜脱脂法で成功するのはそれほど難しいことではありません。
詳細は、以下をご覧下さい。
目の下の脱脂で失敗したり後悔したくないですよね?
当院または他院様で目の下の脱脂などを受けられ、後悔された方の分析と、そこから得られる失敗学について解説いたします。
よろしければ診断ツールをご利用ください
質問に答えていくタイプのツールです。
あなたの目の下のたるみ・クマの種類や状態、さらに適切な治療法が分かります。
次をクリックしていただくと、セルフチェックのページに移動します。
関連記事
症例写真
症例写真|脱脂+グロースファクター
症例写真|手術しない目の下のクマ治療
症例写真 | 目の下のクマ他院修正治療





















