0120-735-538
03-5491-5588

電話受付: 休止中(メールのみ)

診療時間:10〜19時(完全予約制)

  • 症例写真

30代女性 目の下のたるみ・クマ治療(経結膜脱脂+グロースファクター)  6ヵ月後の経過

経結膜脱脂+グロースファクターによる目の下のたるみ・クマ治療を受けられたモニターの方です。

 

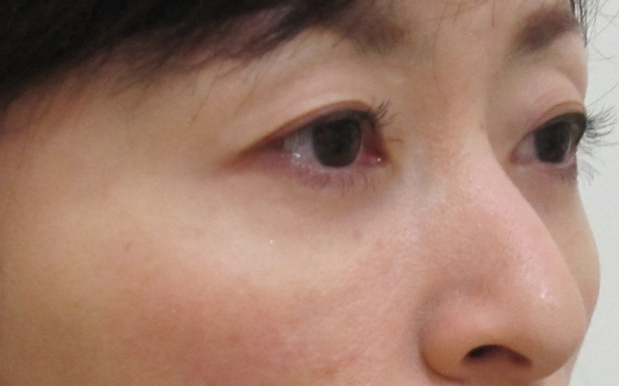
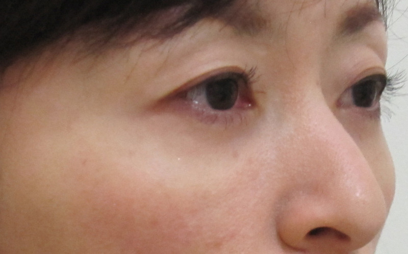
1

術前・・・診察上の所見・色で分類したクマの種類としては、以下の通りです。

1.涙袋目の下の脂肪(眼窩脂肪)の突出により左右ともにほとんど不明瞭になっています。

2.脂肪の量(進行度) としては中等度です。

3.ふくらみ目袋のところには赤み (赤クマがあります。

4.ふくらみの下にはハの字状にくぼみ があります。影クマ・黒クマ

5.くぼみの位置にシミ(茶クマがわずかにあります。


 

 
2

1週間後・・・内出血の跡と腫れがわずかにあります。
グロースファクターの効果は半年かけて徐々に出てきます。

 

 
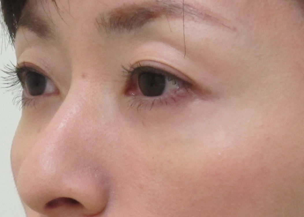
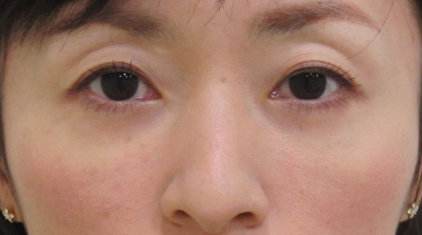
3

6か月後・・・目の下がすっきりとした印象になりました。 

 

 
4

術前・・・斜めから見た状態の比較です。 

 

 
5

6か月後・・・きれいになりましたね。

 

 
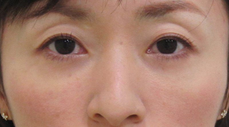
1

術前・・・反対側です。

目の下のくぼみは比較的大きいです。

 

  
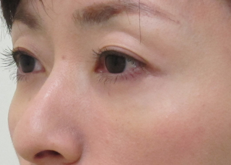
2

6か月後・・・自然な仕上がりです。

 

 
3

術前・・・笑った状態の比較です。

 

 
4

6か月後・・・笑っても違和感はありません。

また、元々皮膚が薄い状態でしたが、術後笑っても小ジワはそれほど目立っていません。

それは、グロースファクターにより皮膚にハリが出ているためです。

 

施術名:経結膜脱脂+グロースファクター 

 

 


経結膜脱脂法の術前・術後に気をつけることやダウンタイムの詳細が気になりますよね?
経結膜脱脂法(目の下のたるみ取り治療)の詳細をご覧になりたい方は、次をクリックして下さい。


目の下のたるみ・クマは、グロースファクターの注射のみでも改善できることが多いです。
その場合、費用やダウンタイムが最小限で済み、脱脂後のシワを回避できることと、頬のリフトアップによる若返り効果も得られ るというメリットがあります。
詳細をご覧になりたい方は、次をクリックして下さい。


目の下のたるみ・クマでお悩みの方は、解決方法がここできっと見つかると思います。
目の下のたるみ・クマの記事一覧をご覧になりたい方は、次をクリックして下さい。


実は、経結膜脱脂手術できれいに仕上げるためには、手術前の準備で9割が決まります。
逆に言うと、そこをクリアすれば、経結膜脱脂法で成功するのはそれほど難しいことではありません。
詳細は、以下をご覧下さい。


目の下の脱脂で失敗したり後悔したくないですよね?
当院または他院様で目の下の脱脂などを受けられ、後悔された方の分析と、そこから得られる失敗学について解説いたします。

 

よろしければ診断ツールをご利用ください

質問に答えていくタイプのツールです。
あなたの目の下のたるみ・クマの種類や状態、さらに適切な治療法が分かります。
次をクリックしていただくと、セルフチェックのページに移動します。

目の下のたるみクマ自動診断

 

目の下のたるみ・クマの関連記事

症例写真

症例写真|脱脂+グロースファクター 
症例写真|手術しない目の下のクマ治療 
症例写真 | 目の下のクマ他院修正治療

 

【直筆】当院に寄せられた真実の物語

 

 

 

 

 

「このクリニックに興味があるけど、実際はどうなんだろう?」

色々ご不安な方も多いと思います。

そこで、実際に治療を受けられた方々による直筆の資料(症例写真付き)をご覧になりませんか?

主な内容:
・痛み・内出血・腫れ
・お仕事を休まれた期間
・結果の満足度 など


ぜひ以下をクリックしてご覧下さい!


資料を読む>>