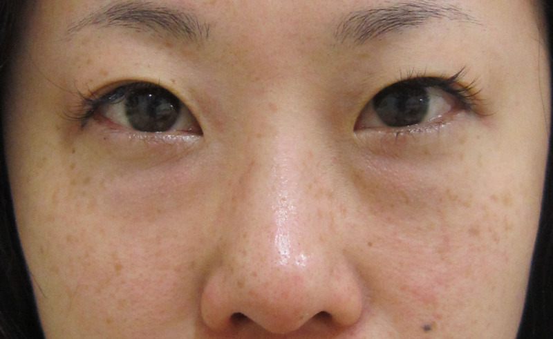
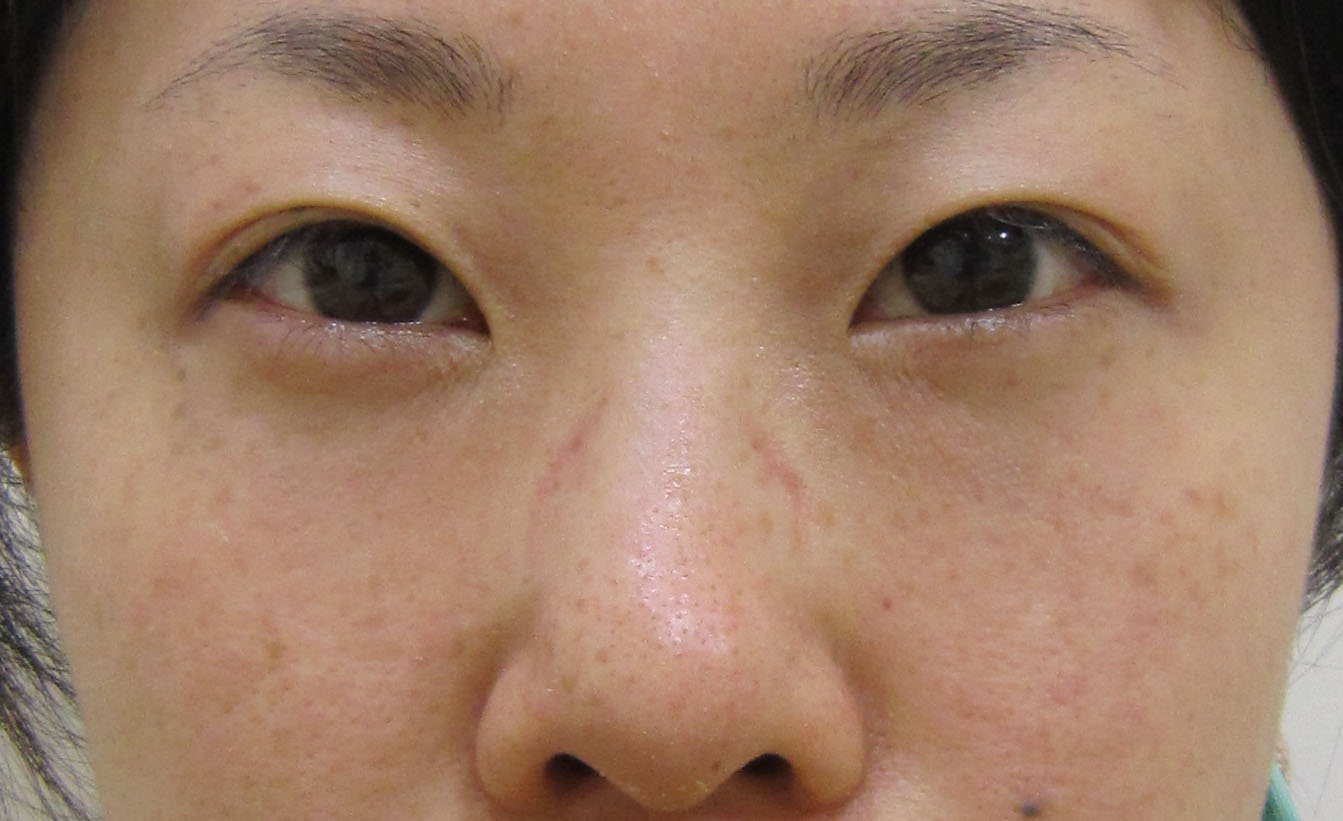
脱脂+グロースファクターを受けられたモニターの方です。
術前・・・診察上の所見としては以下の通りです。
1.涙袋は目の下の脂肪(眼窩脂肪)の突出により不明瞭になっています。
2.脂肪の量(進行度)としては中等度です。
3.ふくらみの下にはハの字状にくぼみがあります。
4.くぼみの位置にはシミ(茶クマ)が見られます。
5.ふくらみのところには赤み(赤クマ)もわずかに見られます。
6.青クマとの重複により一部紫がかっているところもあります。(紫クマ)
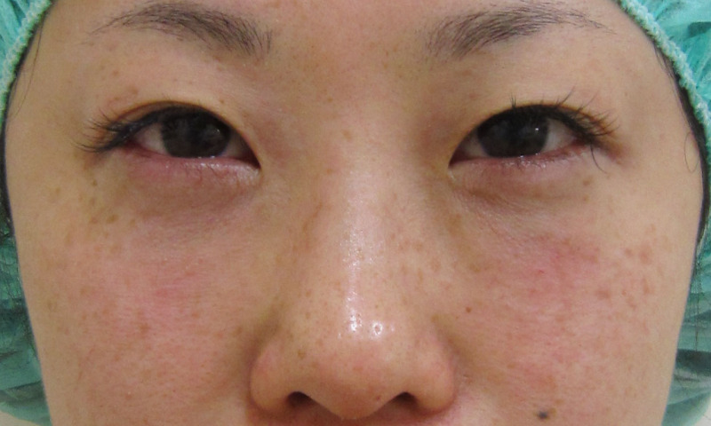
術直後・・・少し赤くなっているのは、グロースファクターを注射する際に冷やしたためで、一時的なものです。
グロースファクターの注射の跡がよく見るとわずかにあります。
術直後はほとんど腫れはありません。
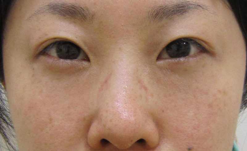
1週間後・・・この時期はまだ多少腫れがあることがあります。
1か月後・・・徐々にグロースファクターの効果が出てくる時期ですが、この時期はまだ待って頂きます。
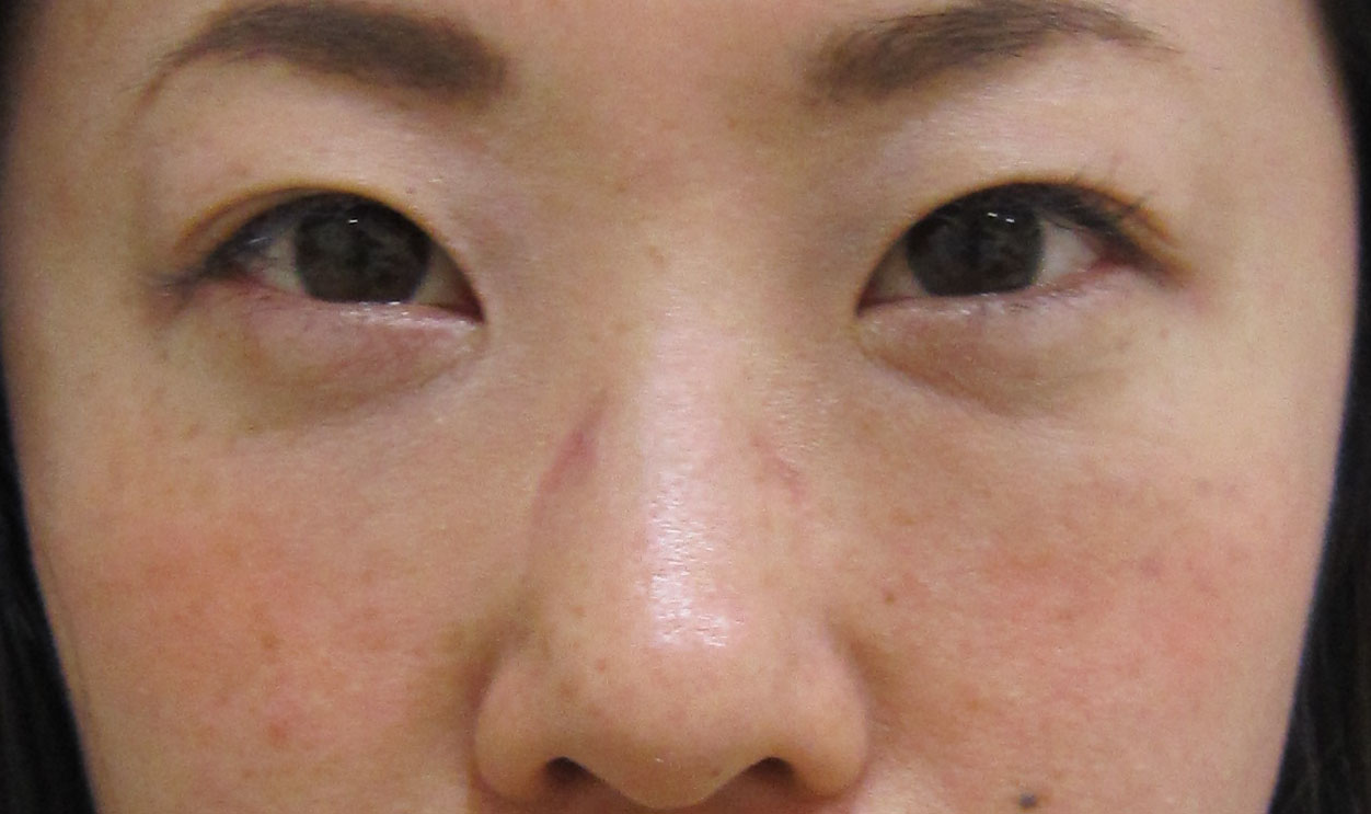
結果が出るのは半年後です。
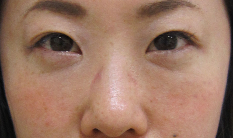
術後2年3か月・・・一度良くなった後は、きれいな状態を維持されています。
術前・・・斜めから見た状態の比較です。
術後2年3か月・・・きれいになっていますね。
触ってもどこに注入したかわからないくらい違和感がありません。
施術名:経結膜脱脂+グロースファクター
経結膜脱脂法の術前・術後に気をつけることやダウンタイムの詳細が気になりますよね?
経結膜脱脂法(目の下のたるみ取り治療)の詳細をご覧になりたい方は、次をクリックして下さい。
目の下のたるみ・クマは、グロースファクターの注射のみでも改善できることが多いです。
その場合、費用やダウンタイムが最小限で済み、脱脂後のシワを回避できることと、頬のリフトアップによる若返り効果も得られるというメリットがあります。
詳細をご覧になりたい方は、次をクリックして下さい。
目の下のたるみ・クマでお悩みの方は、解決方法がここできっと見つかると思います。
目の下のたるみ・クマの記事一覧をご覧になりたい方は、次をクリックして下さい。
実は、経結膜脱脂手術できれいに仕上げるためには、手術前の準備で9割が決まります。
逆に言うと、そこをクリアすれば、経結膜脱脂法で成功するのはそれほど難しいことではありません。
詳細は、以下をご覧下さい。
目の下の脱脂で失敗したり後悔したくないですよね?
当院または他院様で目の下の脱脂などを受けられ、後悔された方の分析と、そこから得られる失敗学について解説いたします。
よろしければ診断ツールをご利用ください
質問に答えていくタイプのツールです。
あなたの目の下のたるみ・クマの種類や状態、さらに適切な治療法が分かります。
次をクリックしていただくと、セルフチェックのページに移動します。
関連記事
症例写真
症例写真|脱脂+グロースファクター
症例写真|手術しない目の下のクマ治療
症例写真 | 目の下のクマ他院修正治療














