小顔になる方法をお探しですか?
ここでは、以下のようなご要望におこたえいたします。
ここでは、小顔になる方法と注意点を詳しく解説いたします。
ぜひ参考にしてみて下さい。
目次
自宅で行う小顔になる方法
マッサージ
リンパの流れを改善して、むくみを取る方法です。
頬外側から、首を経由して、鎖骨まで流すようにマッサージします。
老廃物を除去するというよりは、水分を移動させるイメージです。
いわゆるリンパマッサージです。
これにより輪郭がすっきりとした感じになりますが、効果は一時的です。
ローラーで行うか、手で行うかがお勧めです。
面積の少ないコロコロは、水分を均一に移動しづらいです。
表情筋トレーニング
顔の筋肉を動かしたり鍛えたりすることにより、リンパの流れの改善が期待できます。
自宅で脂肪を減らすことは可能?
基本的には、食事が重要です。
運動で脂肪を減らすことは可能ですが、あくまでも食事がベースとなります。
例えば、フルマラソンをしても、消費カロリーベースでは、脂肪組織300gくらいにしかなりません。
アゴのたるみを取るには?
アゴの脂肪を減らすには、脂肪溶解注射や脂肪吸引があります。
ただし、額・コメカミ・頬外側の皮膚のたるみが流れ落ちてアゴにたまっている場合があります。
その場合は、上流のたるみ改善が必要となります。
小顔矯正で骨格は変わらない
顔面骨は複数の骨からなります。
その境目はしっかりとくっついています。
そのため、少々の力では動くことはありません。
また、小顔矯正については消費者庁からも以下のように判断されています。
マッサージで瞬間的に小顔になることは考えられるが、骨が詰められる、持続するといった表示には合理的根拠がない
また、仮に顔の骨が移動して小顔になったとしたら、皮膚が余ってシワ・たるみが悪化することになります。
小顔になる治療法
小顔になるには次のような方法があります。
①皮膚を引き締める・・・高周波などの照射治療、グロースファクターなど
②脂肪を減らす・・・脂肪吸引、脂肪溶解注射、バッカルファット除去など
③筋肉を減らす・・・エラのボトックスなど
④骨を削る・・・エラ削りなど
脂肪溶解注射は注意が必要
このうち、②を行うクリニックが多いですが、注意が必要です。
将来脂肪が減った時に皮膚が余ってたるみが悪化したり、頬がこけてきたりする可能性があるためです。
脂肪を減らしすぎると、弾力があるうちはよいのですが、弾力が低下している方、または弾力が低下した時にかえってシワやたるみが目立つことがあります。
当院では脂肪溶解注射はBNLSを採用していますが、適応は慎重にすべきであると考えます。
【よくあるご質問】口周りの脂肪には脂肪溶解注射が効果的なのでしょうか?≫
エラが張っている方はボトックスが有効

ボトックス(米国アラガン社の正規品)は筋肉の働きを抑えることで、咬筋(エラ)を萎縮させる効果があります。
大がかりな骨切り手術のように長い間の腫れもありませんし、何よりも非常に短時間で施術終わります(数分程度)。
痛みもほとんどありません。
ボトックス自体の効果が出だすのは3日目くらいからですが、筋肉が萎縮する効果が現れるには2週間~1か月ほどかかります。

当院では、ボトックスを高濃度で使用することで容量を少なくしていますので術後の腫れは出にくいです。
グロースファクターで皮膚のハリを出し、フェイスラインを改善する方法
加齢や紫外線の影響により皮膚の支えが失われ、皮膚と脂肪が一緒に落ちることでフェイスラインのたるみが起こります。
グロースファクターでコラーゲンを増やし、皮膚のハリを改善してあげれば、一番いい位置に自然と戻っていくことが多いです。
しかも、この治療法は、効果が長期維持されます。
グロースファクターのモニターの方の実例です。

施術前・・・目の下の脱脂+顔全体のグロースファクターを受けられました。

6か月後・・・フェイスラインがだいぶ引き締まった印象ですね。
施術前・・・目の下の脱脂+グロースファクター後1か月の時点で顔全体のグロースファクターを受けられました。

6か月後・・・顔全体のハリ感が改善しています。
口周りに落ちてきていた皮膚もすっきりしてお顔が引き締まった印象ですね。
グロースファクター+ボトックスによる複合治療
エラのボトックスによる小顔治療は、皮膚が余ることで、たるみが生じるリスクがあります。
ボトックスと顔全体のグロースファクターを同時に行うことで、しっかりと小顔にしながら、なおかつ余った皮膚がリフトアップして、たるみ悪化を回避することができます。

施術前・・・目の下のクマと顔全体のたるみがあります。
エラの張りが気になられるということで、エラのボトックス+顔全体のグロースファクターを受けられました。
それと同時にご自宅でメラフェードによるくすみ、小ジワ治療もされています。

3か月後・・・小顔になり、全体的に若返った印象です。
グロースファクターの効果により、目の下のクマも以前より目立たなくなっています。
頬がリフトアップし、法令線も浅くなった印象です。
エラは減っていますが、たるみが出るどころか、逆に口周りの皮膚のだぶつきは解消されています。
これらには、メラフェードの小ジワ除去作用が相乗効果としてプラスされています。
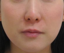
施術前・・・クマ・シワが比較的明瞭に見られます。

3か月後・・・たるみ・シワ改善しています。
なお、注意すべきことは、ボトックスの効果は半年程度ですので、繰り返しが必要だということです。













