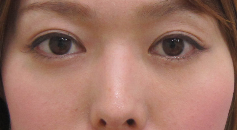
経結膜脱脂+グロースファクター後の6カ月の経過です。
術前・・・目の下のふくらみ+くぼみがあります。
術後1カ月・・・だいぶきれいになっていますね。
術後3カ月
術後6カ月・・・自然な仕上がりです。
目の下のくぼみもきれいになっています。
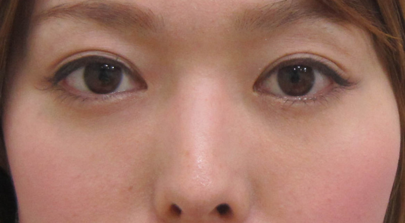
半年くらいかけて、このように涙袋が徐々に出てきます。
これも若々しい印象をプラスします。
もともと隠れていた涙袋が出てきているのがよく分かります。
グロースファクターによる目の下のくぼみ治療後は、長期にわたり効果を維持できます。
それは、ご自身の皮膚のコラーゲンを増やしているためです。
その後の治療経過です。
6年4か月後・・・多少シミ・くすみは増えているかもしれませんが、凹凸は問題ありません。
6年4か月後・・・左右斜めの状態です。
凹凸に問題はないため、追加投与の必要はありません。
6年4か月後・・・笑っても問題ありません。
施術名:経結膜脱脂+グロースファクター
経結膜脱脂法の術前・術後に気をつけることやダウンタイムの詳細が気になりますよね?
経結膜脱脂法(目の下のたるみ取り治療)の詳細をご覧になりたい方は、次をクリックして下さい。
目の下のたるみ・クマは、グロースファクターの注射のみでも改善できることが多いです。
その場合、費用やダウンタイムが最小限で済み、脱脂後のシワを回避できることと、頬のリフトアップによる若返り効果も得られるというメリットがあ ります。
詳細をご覧になりたい方は、次をクリックして下さい。
目の下のたるみ・クマでお悩みの方は、解決方法がここできっと見つかると思います。
目の下のたるみ・クマの記事一覧をご覧になりたい方は、次をクリックして下さい。
実は、経結膜脱脂手術できれいに仕上げるためには、手術前の準備で9割が決まります。
逆に言うと、そこをクリアすれば、経結膜脱脂法で成功するのはそれほど難しいことではありません。
詳細は、以下をご覧下さい。
目の下の脱脂で失敗したり後悔したくないですよね?
当院または他院様で目の下の脱脂などを受けられ、後悔された方の分析と、そこから得られる失敗学について解説いたします。
よろしければ診断ツールをご利用ください
質問に答えていくタイプのツールです。
あなたの目の下のたるみ・クマの種類や状態、さらに適切な治療法が分かります。
次をクリックしていただくと、セルフチェックのページに移動します。
関連記事
症例写真
症例写真|脱脂+グロースファクター
症例写真|手術しない目の下のクマ治療
症例写真 | 目の下のクマ他院修正治療
















