目の下の脱脂後の10年後も維持されているかが心配ですか?
結論から言いますと、心配いりません。
また、当院の経験上、グロースファクターも10年後も維持されることがほとんどです。
当院はおよそ20年近くの実績がありますが、10年くらい経過した方を実際に拝見しても、問題ないことがほとんどです。
まれに治療していない部位が先にたるんできたりすることがありますが、その場合は、未治療部位にグロースファクターを少量追加するなどで対処可能だったりします。
こちらの記事を読んでいただくと、脱脂後の10年後は、ほとんど心配ないことがお分かりになると思います。
脱脂手術を繰り返し行う必要はない
経結膜脱脂法を受けられた方々の長期経過後です。
以下をご覧いただくとおわかりになりますように、治療後もずっといい状態が維持されています。
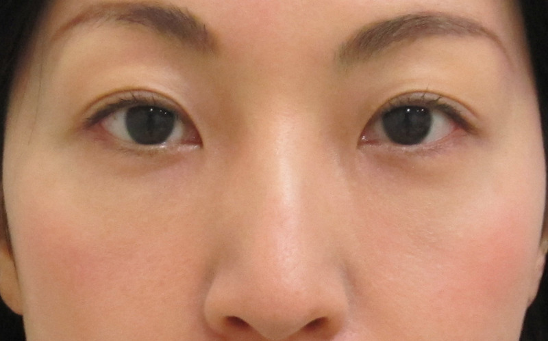
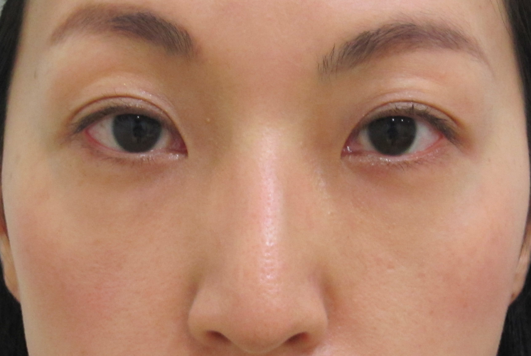
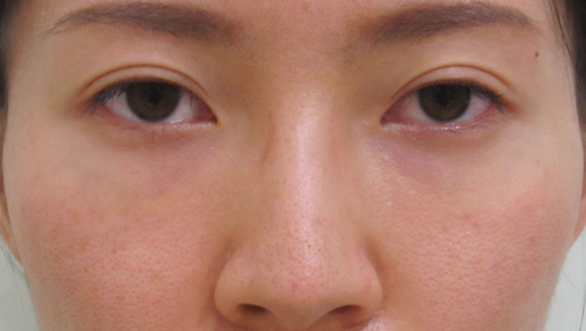
経結膜脱脂+グロースファクターを受けられた方です。

10年後・・・目の下は、いい状態を維持されており、特に追加投与は必要ありません。

11年7か月後・・・さらにその後の経過も問題ありません。
11年7か月後・・・10年後の時点よりシミ・くすみ(茶クマ)の改善しているのは、メラフェードによる効果です。

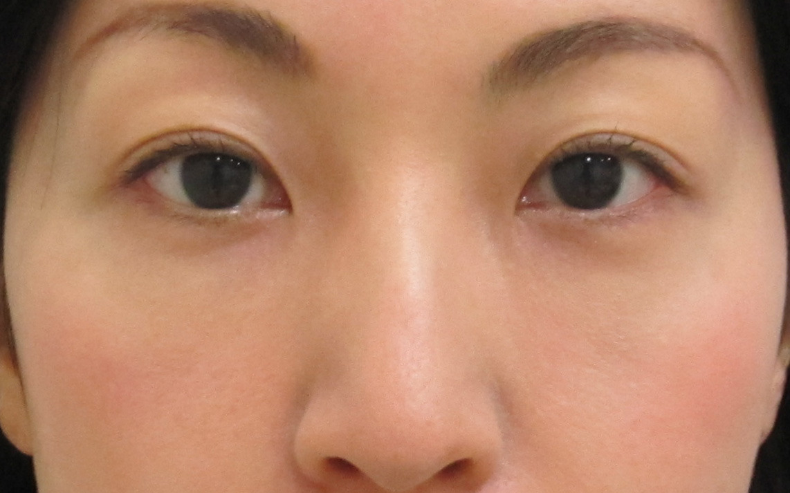
6年後
こちらの方の詳細な経過≫
①経結膜脱脂+グロースファクター、②メラフェードによるシミ・くすみ治療、③目の上のグロースファクターを受けられた方です。
経結膜脱脂+グロースファクターを受けられた方です。
脱脂+グロースファクター、頬・ほうれい線・口角・コメカミのグロースファクター、メラフェードによるシミ・くすみ治療を受けられた方です。
脱脂+グロースファクターを受けられた方です。
脱脂+グロースファクターを受けられた方です。
①目の下のたるみ・クマ治療(経結膜脱脂+グロースファクター)、②顔全体のたるみ治療(額・こめかみ・目の上・頬・口角のグロースファクター注入療法)、③シミ・くすみ治療(メラフェード+レーザートーニング)を受けられた方です。
①目の下のたるみ・クマ治療(経結膜脱脂+グロースファクター)、②頬・ほうれい線のグロースファクター注入療法、③メラフェードによるシミ・くすみ治療を受けられた方です。

①目の下のたるみ・クマ治療(経結膜脱脂+グロースファクター)、②頬・ほうれい線・口角のグロースファクター注入療法、③メラフェードによるシミ・くすみ治療を受けられた方です。

目の下の脂肪は、放置すると徐々に進行する
目の下の脂肪は、脂肪を包んでいる膜が緩んでくることで出てきます。
それは、年々緩んでくるため、脂肪の飛び出す量はどんどん増えていきます。

詳細はこちら
目の下の脱脂後は、目の下の脂肪は出にくくなるため、ふくらみの再発はまずない
1回でも目の下の脱脂を受けると、その後、手術の影響で脂肪を包んでいる膜が硬くなります。
その後は飛び出しにくくなります。
つまり、再発は起こりにくくなります。
そのため、2回手術を受けられる方はまずいらっしゃいません。
実際に、当院にて目の下の脱脂を受けられた方で、目の下の脂肪が再発したために再手術を希望して来られた方はまずいらっしゃいません。
早めに脱脂手術を受けられることで、将来的な目の下の脂肪の進行の予防にもなります。
ただし、後述のように、紫外線を浴びる量によっては、未治療部位(頬など)にたるみが起こることがあり得ます。
その場合は、治療していない部位が全体的にたるんできます。
そのため、目の下の脱脂後は、紫外線防止、有酸素運動、甘い物を避けるといった、予防習慣を心がけていただくことで、長期的にいい状態を維持できると考えます。
未治療であれば、10年後の将来は、さらにたるむことが予想される
目の下の脂肪はどんどん出てきます。
当院で目の下の脱脂を受けられた方々の年代別の目の下のふくらみの進行度の平均値です。(H26.1~H27.3のモニターの方が対象)

年代が10年上がるごとにふくらみが多くなっています。
こちらは、同一人物を追いかけたものではないですが、少なくとも年代が低い方が、目の下の脂肪のふくらみが少ないと言えます。
脱脂をしない目の下のクマの治療法もある
脱脂は手術なので、心理的なハードルが高いですよね。
そういう方は、まずはグロースファクターで様子を見られることも可能です。
現在は1:2の割合で、グロースファクターのみの治療を選択される方が多く、実際にグロースファクターのみで治療された方は、手術した場合と遜色ないくらいに凹凸感を解消できていることがほとんどです。
手術しない目の下のクマ治療【本当の目の下の切らないたるみ取り】
グロースファクターの効果は長期維持される
グロースファクターも10年以内に何回も繰り返し行う必要はない
グロースファクターの効果は何年も維持されます。
たるみを促進するような生活習慣(紫外線、甘い物、運動不足など)を避けていただければ、10年後もいい状態を維持されます。
現在、当院ではグロースファクターのみによる治療を受ける方の方が脱脂を受ける方よりも多いです。
もし後で結果が不満足な場合は、後から脱脂を追加することも可能ですが、そうなったケースは非常にまれ(これまで数例のみ)で、通常はグロースファクターの追加で対処可能なことがほとんどです。
「目の下のグロースファクター⇒脱脂例」・・・このような例は、そもそも適応外の治療(例えば、中等度の目の下の脂肪の量の方が目の下のみのグロースファクターを受けられた場合など)で起こります。
その方に合った治療を受けられれば、再治療として脱脂を要することはまずありません。
30代女性 目の下のたるみ・クマ治療(脱脂+グロースファクター) 6ヵ月後の経過
40代女性 目の下のたるみ・クマ治療(目の下のグロースファクター後に脱脂)
また、当院では年間600件以上のグロースファクターの施術を行っておりますが、10年くらい前に当院で治療を受けられた方で、追加をご希望の方が続々と来られているかと言うと、ほとんど来られていません。
老化防止も期待できる(早めに治療することで10年後が違う)
グロースファクター治療後、10年単位で見ると、紫外線を浴びる量や受けるストレスの量などによっては、コラーゲンが減少することはあり得ます。
ただし、治療している部位はコラーゲンが増えているので、シワやたるみが起こりにくいため、治療していない部位の方が先に老化が起こります。
しがたって、グロースファクターは若返りだけではなく、今後の老化防止にも役立ちます。
つまり、一度治療されれば10年後が違います。
グロースファクターをされた場合、数か月前後で見た目の若返りが起き、その効果は長期維持されます。
その後、例えば10年たって周りの同年代の方と比較された場合、若返り効果が維持されているのに気づかれると思います。
グロースファクター治療後、数十年経った時の対策
もし10年~20年経ったとしたら、治療していない部位が先に気になると思いますが、その場合は、治療していない部位に追加するか、治療部位と未治療部位の境界をぼかすようにグロースファクターを追加すると改善できます。
ただし、そのような例はこれまでの当院の20年以上の経験上、まず全くと言っていいほどありません。
それくらい完成後の状態を皆様が長期維持されています。
以下にに詳細な経過写真があります。
よろしければご覧下さい。
【よくあるご質問】グロースファクターは約何年くらいもちますか?
グロースファクターの追加料金は?
同一部位の追加料金は、各部位の初回料金の半額になります。
また、例えば、目の下の片側の追加治療でしたら、目の下のグロースファクターの正規料金の半額のさらに6割(片側)の料金になります。
一度改善したら、後は予防に努めていただければ、長年維持されます。
また、何年経ってもその料金で追加できますので、それほど維持費はかからないと思います。
注意点
グロースファクターの効果が維持されたとしても、お顔の状態が全く変わらないとは限りません。
例えば、皮下脂肪の増減によっても見え方が変わってくることがあります。
その他、深部のじん帯のゆるみや骨の萎縮などの要因により、見た目の老化が起こることもあります。
また、グロースファクターによる改善後も、緩やかに皮膚の老化は進みます。
これは、紫外線や加齢などが原因です。
関連するよくあるご質問
目の下のクマが進行していく過程ではどのような特徴が見られますか?
グロースファクター後、時間が経つと多少皮膚がたるんだりしてしまうのでしょうか?
グロースファクターは、今やっておけば10年後かなり違いますか?
グロースファクターは、定期的に何度か注入しないとダメなのですか?
よろしければ診断ツールをご利用ください
質問に答えていくタイプのツールです。
あなたの目の下のたるみ・クマの種類や状態、さらに適切な治療法が分かります。
次をクリックしていただくと、セルフチェックのページに移動します。
関連記事
経結膜脱脂法
他院の目の下の「脱脂のみ」で窪みが残った場合、修正できるか?
経結膜脱脂法の費用【費用対効果を高める5つのシンプルな方法】
経結膜脱脂法(目の下の脱脂)の麻酔・術中・術後の痛みについて
脱脂後の目の下のクマ他院修正治療【取りすぎ・へこみ・窪み修正】
グロースファクター



































