時々、「脱脂後に目の下が黒っぽくなることはありますか?」というご質問がありあます。
これは、目の下のくぼみが元々ある場合に、脱脂のみを行うと、そういうことはありえます。
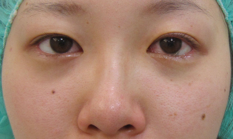
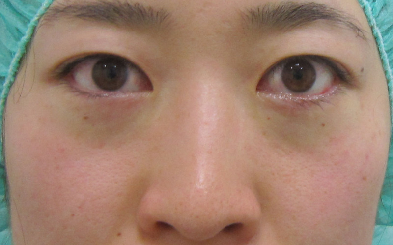
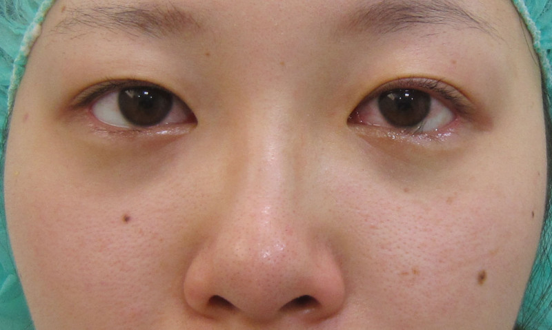
術前・・目の下に、ふくらみ+くぼみがあります。
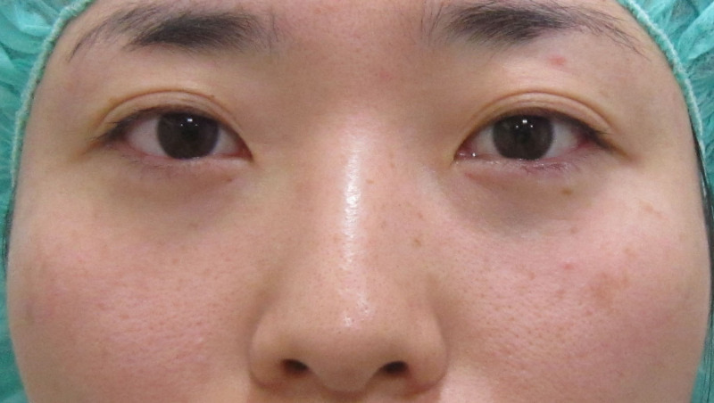
脱脂のみ行った状態です。
ふくらみは確かに取れていますが、くぼみが残っており、目の下が影で「黒っぽく」見えます。
このままで手術を終えると、最終的にこの状態で仕上がってしまいます。
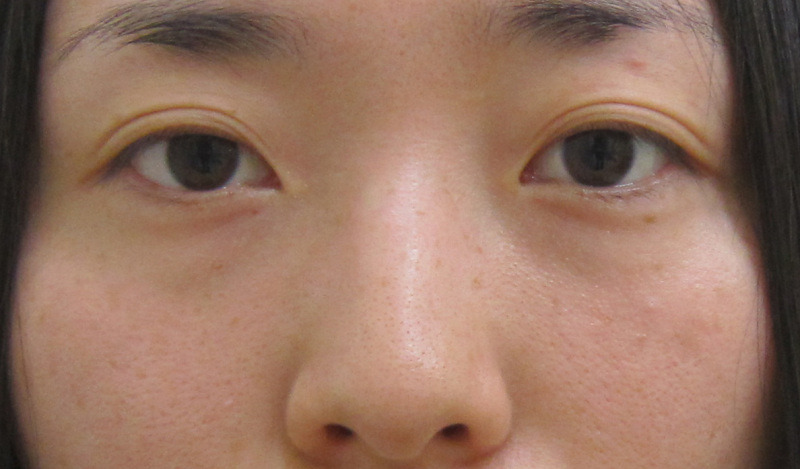
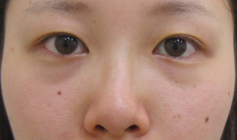
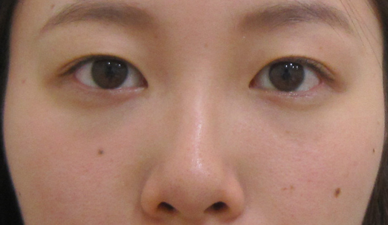
上記の直後にグロースファクターを追加した状態です。
くぼみが取れてきれいになっていますね。
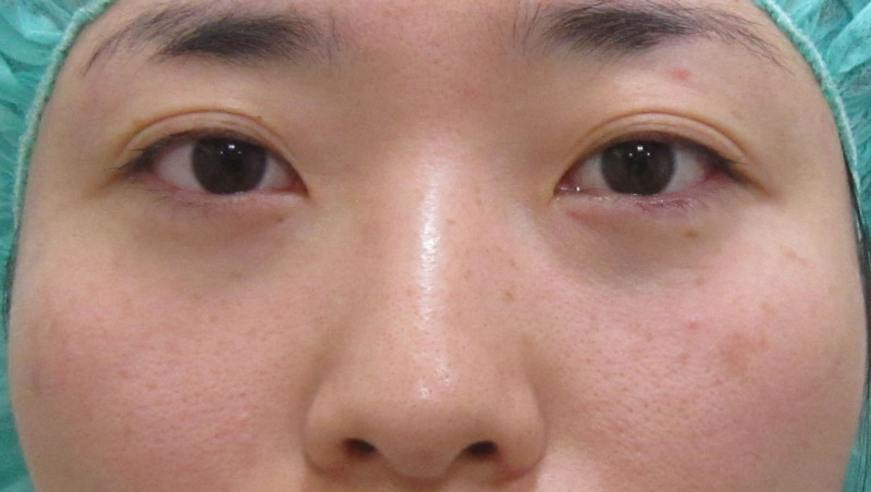
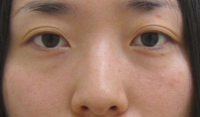
術後3カ月・・・スムーズな感じに仕上がっています。
ちょうどグロースファクターを入れたくらいの感じになります。
他の方の例です。
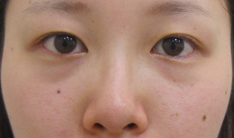
術前・・・ふくらみ+くぼみがあります。

脱脂のみ行った後・・・ふくらみは取れましたが、くぼみが残っています。
グロースファクターを目の下に注射してくぼみをきれいにします。
3ヶ月後・・・くぼみが改善しています。
さらに別なモニターの方です。
術前
脱脂のみの状態
手術直後
6ヶ月後・・・だいぶ良くなりましたね。
当院では、目の下にふくらみ以外にくぼみもある方はグロースファクターをお勧めしています。
以前は脂肪注入も行っていたこともありますが、しこりになったり、固くなったりする可能性や再注入時に太ももから採り直さないといけないというデメリットもあるため、現在はグロースファクターのみ行っております。
よろしければ診断ツールをご利用ください
質問に答えていくタイプのツールです。
あなたの目の下のたるみ・クマの種類や状態、さらに適切な治療法が分かります。
次をクリックしていただくと、セルフチェックのページに移動します。
関連記事
経結膜脱脂法の後遺症について
経結膜脱脂法のデメリットについて
目の下の脱脂後の窪みについて
目の下の脱脂における取りすぎについて
目の下の脱脂で失敗を避けるポイントについて















