個人差はありますが、目の下のたるみ・クマは早い方で20~30代から出てきます。
中には10代ですでに出ている方もいます。
その原因として、脂肪を包んでいる膜がゆるんでくることで脂肪が飛び出してくることが考えられます。
それと同時に、皮膚たるみにより、目の下にはくぼみができます。
目の下のたるみ・クマは、①→③のように徐々に進行していきます。
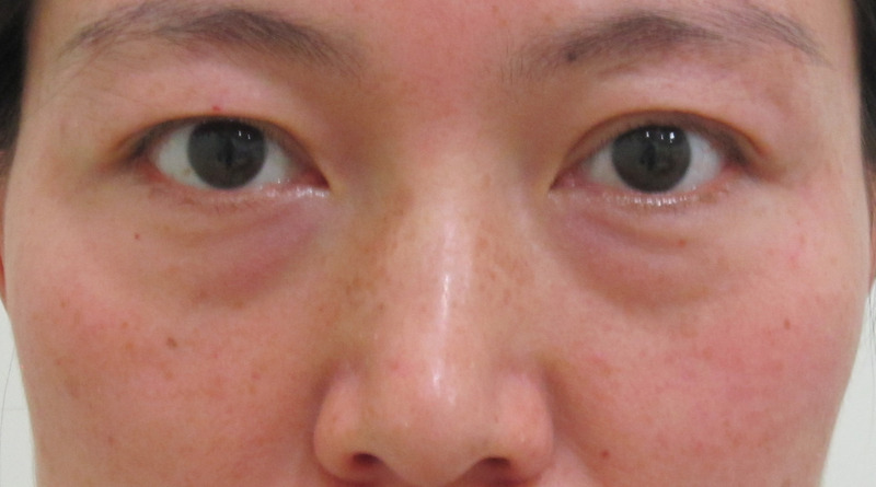
①軽度では、脂肪がわずかに飛び出している状態です。
涙袋はまだこの時期では保たれています。
軽度の方の例です。
まだ涙袋が保たれています。
脂肪の量が①くらいであれば、グロースファクターのみでも改善可能な場合も多いです。
https://www.ft-bc.jp/11981402627-2/
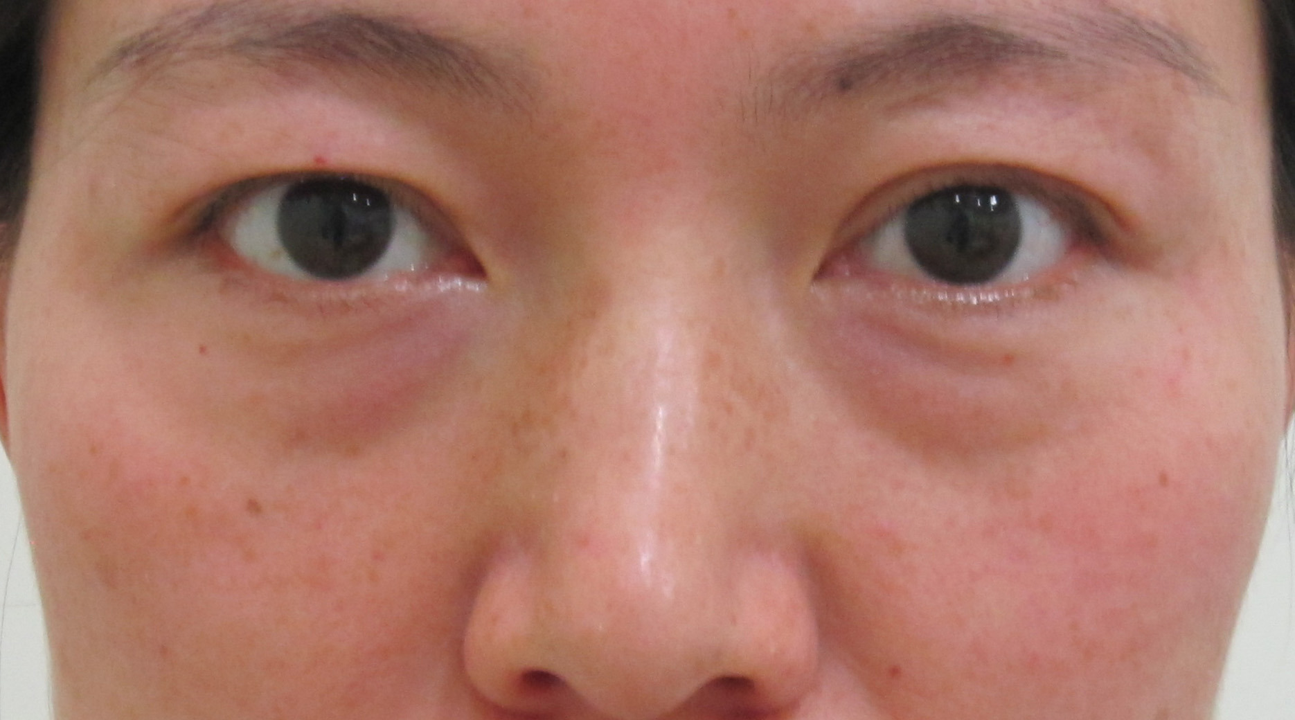
②中等度のモニターの方々です。
中等度では、ふくらみがかなりはっきりと目立ち、飛び出した脂肪により涙袋が不明瞭になります。
また、皮膚の裏の筋肉(眼輪筋)が、そのさらに裏側にある脂肪から圧迫されることで、皮膚表面から筋肉の色が透けて見えて、赤く見えることもあります(赤クマ)。
③重度のモニターの方々です。
かなり脂肪が多くなり、外側や下の方のふくらみが目立ちます。
また、この段階では皮膚のたるみもかなりあるため、術後に小ジワがでる可能性が高くなります。
術後の小ジワに対しては、術後6か月後にグロースファクターを追加するかメラフェードにより修正することもあります。
https://www.ft-bc.jp/12001464948-2/
目の下のクマの種類の見分け方と黒クマの進行度についての詳細は、以下をご覧下さい。
目の下のクマの種類はどの色?【画像を使った簡単な見分け方】
よろしければ診断ツールをご利用ください
質問に答えていくタイプのツールです。
あなたの目の下のたるみ・クマの種類や状態、さらに適切な治療法が分かります。
次をクリックしていただくと、セルフチェックのページに移動します。
目の下のたるみ・クマの関連記事
目の下のたるみについて
目の下のクマ・たるみに関連する骨格の種類について
目の下のたるみ・シワについて
笑うとできる目の下のふくらみについて
目の下のたるみがひどい場合の原因について










