目の下のたるみ・シワが気になりますか?
ここでは、次のような疑問にお答えいたします。
目の下のシワやたるみは、皮膚のたるみと目の下の脂肪の飛び出しによって起こります。
皮膚は外側の老化、目の下の脂肪は内部の老化を反映します。
ここでは、原因別の目の下のたるみとシワの解説とともに、あなたにどのような解消法・治療法がよいかをご紹介いたします。
また、間違ったセルフケアでは、かえって目の下のたるみが悪化することもあります。
どのようなセルフケアがよいのかについても解説いたします。
この記事を読んでいただくと、目の下のシワやたるみがなぜ起こるのかが分かるとともに、最短で自然に改善させるにはどのような方法が良いかがわかると思います。
ぜひ参考にしてみて下さい。
目次
目の下のたるみができる原因は?
「目の下のたるみ」は、「黒クマ」がひどい状態
目の下のたるみとは、黒クマ・目の下のふくらみのうち、「垂れ下がり」がある状態です。
目の下の脂肪(眼窩脂肪)が出てくるにつれて、目の下のふくらみは増していきます。(目の下の脂肪の詳細>>)
脂肪を止める壁の役割をしている目の下の骨が低い方は黒クマになりやすいです。(目の下のクマと骨格の関係>>)
通常、放置すると、次のように10年単位で徐々にふくらみは増していきます。
中等度のうち、ふくらみが下がった状態が「目の下のたるみ」
目の下の「中等度」の状態は、ふくらみが涙袋を超えない程度のふくらみです。
「たるみ」が生じてふくらみが下に下がると、下の右側のドーム状にふくらんだ状態になります。
目の下のシワができる原因は?
皮膚が薄くなるとシワが寄りやすくなる
では、目の下のシワはなぜできるのでしょうか?
目の下のシワは、皮膚の主成分であるコラーゲンが減ることで皮膚が薄くなると、できやすくなります。
皮膚のコラーゲンが減る原因は、紫外線が80%を占めます。
その他、加齢の影響もあります。
凹凸があるとシワができやすくなる
目の下にふくらみ・たるみ・黒クマがあると、凹凸ができます。
凹凸がある場所は、シワが寄りやすくなります。
例えば、ほうれい線のところは凹凸があり、重みがかかることでシワが寄ります。
例1:黒クマあり、目の下のたるみなし、シワなし
次の方(20代)は、目の下にふくらみとくぼみ(黒クマ)があります。
たるみやシワはない方です。
例2:黒クマあり、目の下のたるみあり、シワなし
次の方(30代)は、目の下の黒クマ・たるみはありますが、シワはありません。
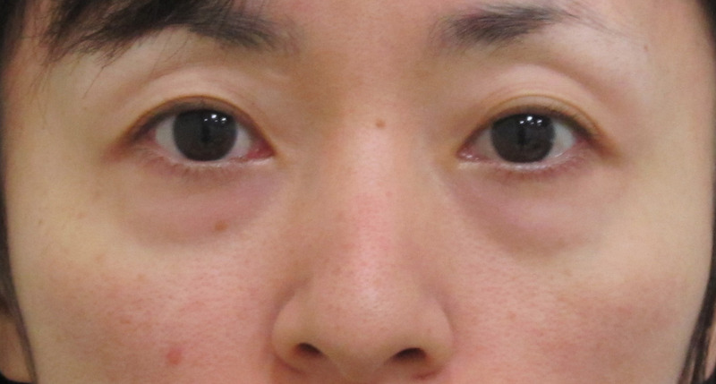
例3:黒クマあり、目の下のたるみあり、シワあり
次の方(40代)は、目の下に黒クマ・たるみがあり、シワもあります。
動かす度にシワは深くなる
目の周りは動きが多い場所です。
そのため、笑う度にシワは深くなる傾向があります。
最初、シワは小ジワから始まります。
これは、深さで言うと、表皮レベルです。
徐々に深くなると、真皮レベルのはっきりしたシワになります。
最初は動かした時だけにシワができていたのが、癖になると、笑っていなくてもシワが寄っているようになります。
目の下のクマ・たるみ・シワができる年齢
一般的に、目の下のクマ・たるみ・シワができる場合、年齢との関係は、個人差がありますが、以下のようなことが多い印象です。
20代・・・目の下の黒クマができる
30代・・・目の下のたるみが起こる
40代・・・目の下のシワができる
50代・・・目の下のシワが折れ癖になる
この進行(老化)をできるだけ止めるにはどうしたらよいのか・・・
ご興味がある方は、次をご覧下さい。
目の下にたるみ+シワがある方の画像
目の下にシワがある場合、目の下のたるみがひどく見えてしまう場合が多いです。
また、茶クマがあると、目の下のくぼみがより深く見え、凹凸感が増して見えることが多いです。
目の下のたるみ・シワの治療法
目の下のたるみとシワの治療法は以下の通りです。
結論から言いますと、目の下のくぼみとシワはグロースファクターで改善するため、「脱脂+グロースファクター」または「グロースファクターのみ」(中等度以上であれば目の下+頬のグロースファクター)によりほとんどのケースを治療できます。
当院の目の下の治療方針の詳細は以下をご覧下さい。
当院の目の下のクマ・たるみの治療方針の詳細>>
レーザーやハムラ法・裏ハムラ・脂肪注入・ヒアルロン酸などの他の治療法との比較は以下をご覧下さい。
目の下のクマ・たるみのその他の治療法との比較>>
目の下のたるみ(黒クマ)・シワの治療法
黒クマが中等度以上かつ「たるみ」がある場合⇒脱脂+グロースファクターが最もお勧めです。
黒クマが軽度または中等度でたるみがない場合は、グロースファクターのみも可能です。(中等度以上は、目の下+頬のグロースファクターが必要)
なお、黒クマが軽度または中等度でたるみがある場合もグロースファクターのみでも治療可能ですが、多少ふくらみ感が残る可能性があります。
黒クマが重度であれば、「控えめに脱脂+目の下・頬のグロースファクター」により、脱脂後のシワ・たるみを予防します。
脱脂の副作用・リスクとして、術後のシワがあるためです。(脱脂後のシワの詳細>>)
補足
赤クマについて
赤クマが強い場合は、脱脂+グロースファクターがお勧めです。(グロースファクターのみだと赤みが残る傾向にあります)
頬のくぼみについて
頬のくぼみがあると、黒クマがひどく見える原因になります。
頬のくぼみがある場合は、頬のグロースファクターも行った方がきれいになります。
頬のグロースファクターを行うと、リフトアップ効果により若返った印象になります。
シミ・くすみ(茶クマ)・小ジワについて
小ジワ・くすみがある場合は、メラフェードの併用でグロースファクターとの相乗効果も期待できます。
メラフェードは、ご自宅用の塗り薬で、1回3か月使用していただくと、一通りの改善が得られ、その後は紫外線予防のみでも効果は長期維持されます。
目の下のシワに関する注意点
目の下のシワは深くなりすぎると、折れ癖になり、グロースファクターで治療しても多少残ることがあります。
このことから、シワが深くなる前に早めに治療されることをお勧めいたします。
また、脱脂後に涙袋の立ち上がりのところは、シワができやすい傾向にあります。
その予防法としては、前述のグロースファクターのみの治療もしくは「控えめに脱脂+目の下・頬のグロースファクター」で術後のシワの方がシワができにくいです。
治療後どれくらいで結果が出る?繰り返しの必要は?
1か月後くらいに改善の徴候が見られることが多い
グロースファクターの最終結果が出るまで半年程度かかります。
しかし、徐々に良くなるため、1か月後くらいには、最初に比べると若返った印象になり、3か月後くらいにはだいぶ改善していることが多いです。
経結膜脱脂法は、物理的に脂肪を取るので、比較的結果が出るのが早いです。
どれくらい長持ちする?
脱脂もグロースファクターも一旦良くなった後は、長期維持されます。
そのため、ヒアルロン酸注入のように定期的に治療する必要はありません。
目の下のたるみやシワを自力で対策することは可能?
美顔器、マッサージ、クリーム、顔の筋トレで目の下のたるみなどを改善することは可能かどうかについて、医学論文などで調べた結果をまとめた記事です。
よろしければご覧下さい。
【黒クマ (影クマ)・目の下のたるみ対策】自力で行う方法
【自宅で治す】目の下のクマ・たるみのセルフケア・予防法を解説
よろしければ診断ツールをご利用ください
質問に答えていくタイプのツールです。
あなたの目の下のたるみ・クマの種類や状態、さらに適切な治療法が分かります。
次をクリックしていただくと、セルフチェックのページに移動します。
当院の治療のリスク・危険性について
リスクには、①起こりうるリスクと②これまで経験はないが理論的に起こり得るリスクの二つがあります。
当院では、そのどちらもきちんと説明し、またリスクが起こった場合の取り得る対処法も説明するようにしています。
目の下のグロースファクターでの膨らみすぎの副作用・リスク>>
【よくあるご質問】グロースファクターは、しこりや凹凸が出る恐れがあると聞きますが本当でしょうか?
関連記事
目の下のたるみ・クマ治療の実例と結果を出すための3ステップ


























