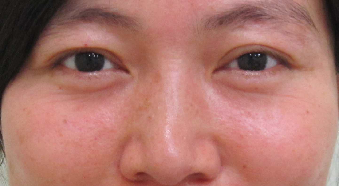
経結膜脱脂+グロースファクターによる目の下のたるみ・クマ治療を受けられたモニターの方です。
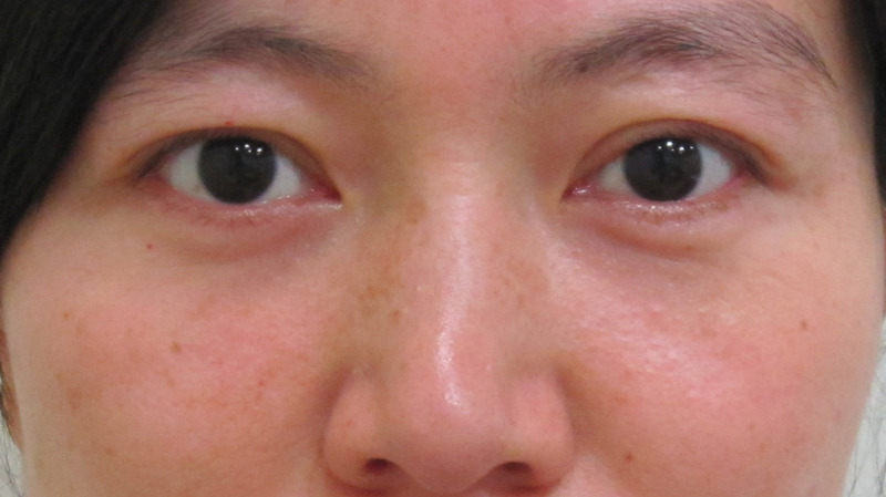
術前・・・診察上の所見・色で分類したクマの種類としては、以下の通りです。
1.涙袋 は目の下の脂肪(眼窩脂肪)の突出により左右ともにほとんど不明瞭になっています。
2.脂肪の量(進行度) としては中等度です。
3.ふくらみ(目袋)のところには赤み (赤クマ)があります。
4.ふくらみの下にはハの字状にくぼみ があります。(影クマ・黒クマ)
5.くぼみの位置にシミ(茶クマ)がわずかにあります。
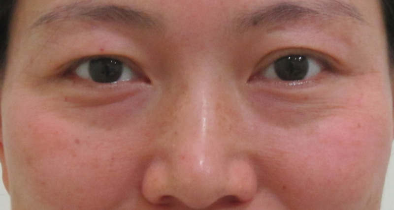
6か月後・・・目の下のクマが取れ、すっきりとした印象に仕上がっています。
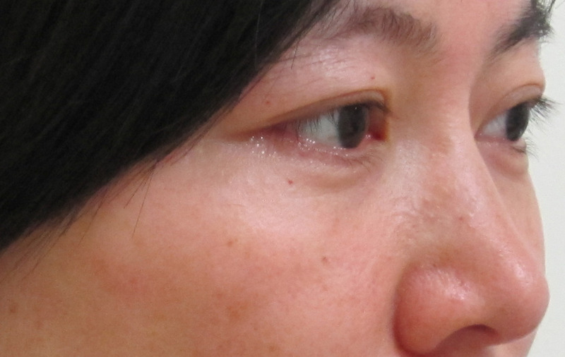
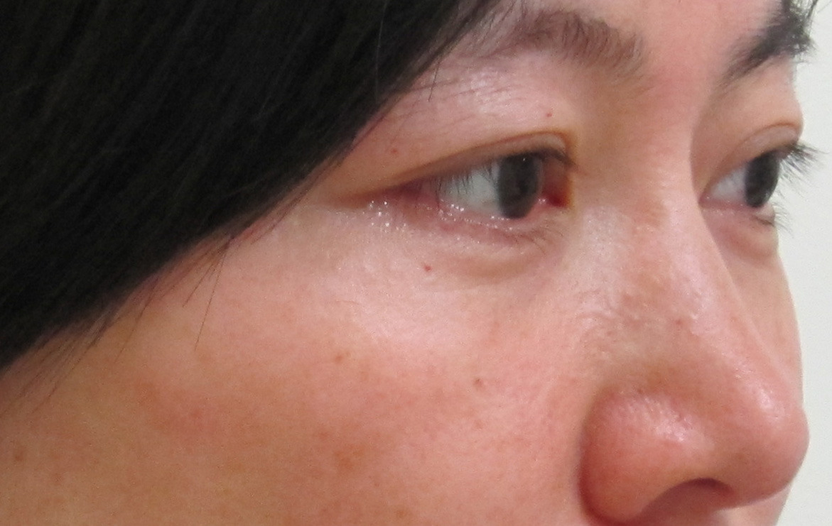
術前・・・斜めから見た状態の比較です。
6か月後・・・目の下の凹凸は改善しています。
また、埋もれていた涙袋が復活しています。
術前・・・斜めから見た状態の比較です。
6か月後・・・きれいになっていますね。
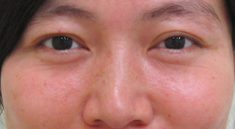
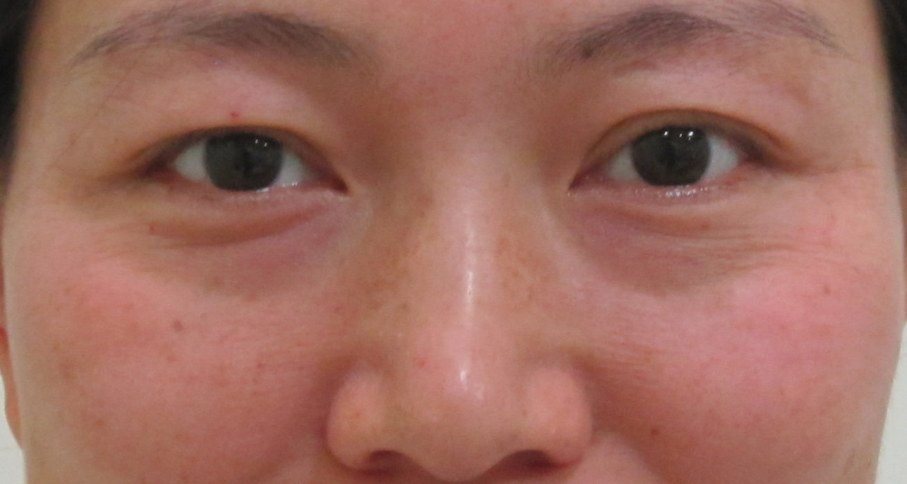
術前・・・笑った状態の比較です。
6か月後・・・笑った時の目の下のふくらみが改善しています。
笑っても違和感はありません。
施術名:経結膜脱脂+グロースファクター
経結膜脱脂法の術前・術後に気をつけることやダウンタイムの詳細が気になりますよね?
経結膜脱脂法(目の下のたるみ取り治療)の詳細をご覧になりたい方は、次をクリックして下さい。
目の下のたるみ・クマは、グロースファクターの注射のみでも改善できることが多いです。
その場合、費用やダウンタイムが最小限で済み、脱脂後のシワを回避できることと、頬のリフトアップによる若返り効果も得られ るというメリットがあります。
詳細をご覧になりたい方は、次をクリックして下さい。
目の下のたるみ・クマでお悩みの方は、解決方法がここできっと見つかると思います。
目の下のたるみ・クマの記事一覧をご覧になりたい方は、次をクリックして下さい。
実は、経結膜脱脂手術できれいに仕上げるためには、手術前の準備で9割が決まります。
逆に言うと、そこをクリアすれば、経結膜脱脂法で成功するのはそれほど難しいことではありません。
詳細は、以下をご覧下さい。
目の下の脱脂で失敗したり後悔したくないですよね?
当院または他院様で目の下の脱脂などを受けられ、後悔された方の分析と、そこから得られる失敗学について解説いたします。
よろしければ診断ツールをご利用ください
質問に答えていくタイプのツールです。
あなたの目の下のたるみ・クマの種類や状態、さらに適切な治療法が分かります。
次をクリックしていただくと、セルフチェックのページに移動します。
目の下のたるみ・クマの関連記事
症例写真
症例写真|脱脂+グロースファクター
症例写真|手術しない目の下のクマ治療
症例写真 | 目の下のクマ他院修正治療














