赤クマは、皮膚のすぐ裏側にある眼輪筋という筋肉が透けて、赤く見えていることにより起こります。
特に目の下の脂肪の圧力が高まっていると出やすくなります。
逆に言えば、目の下の赤みが強い方は、目の下の脂肪がぎゅうぎゅうに詰まっているということになります。
特に、元々皮膚が色白の方は、目の下の色が透けて見えやすい傾向にあります。
ところで、赤クマの改善方法にどのようなものがあるか知りたいですか?
ここでは、治療により赤クマがどれくらい改善するかを、症例写真の実例とともに解説いたします。
赤クマ改善に有効な2つの治療法
目の下の赤クマは以下の2つの要因があります。
- ①目の下の皮膚が薄くなっている
- ②目の下の脂肪(眼窩脂肪)が眼輪筋を圧迫している
それぞれに対処することで、赤クマの改善が可能です。
①のみの対処でも赤みは多少は改善しますが、両方治療した場合に比べて、改善度が落ちます。
改善方法① 皮膚の厚みを出す
①目の下の皮膚が薄くなっている状態に対しては、グロースファクターの注射で改善できます。
グロースファクターは、元々皮膚にある成分で、皮膚のコラーゲンを増やします。
約半年で、皮膚のハリが出てきます。
また、皮膚の厚みを増すことで、眼輪筋の色が透けて見えづらくなることで、赤みが改善します。
次の方は、グロースファクターのみの治療を受けられた方です。
赤みが多少改善しています。
改善方法② 経結膜脱脂法により眼輪筋への圧迫を解除する
②目の下の脂肪(眼窩脂肪)が眼輪筋を圧迫している⇒経結膜脱脂法
脱脂により脂肪の圧力を解除すると、赤みは目の下の脱脂直後にスーッと引きます。
逆に言うと、赤みが強い方は、経結膜脱脂法をしない限り、赤クマは改善しません。
次の写真は、先ほどの方の治療の続きです。
最終的に、脱脂をすることで、赤みが完全に改善しています。
このように、赤みが強い場合は、脱脂+グロースファクターが改善に有効です。
赤クマの治療法に迷った場合は、脱脂をした方が最もきれいに改善する
赤クマには、前述の通り、手術する改善方法と手術しない改善方法があります。
もしどちらにするか迷った場合、よりきれいにすることをお考えでしたら、経結膜脱脂法を選ばれた方が確実です。
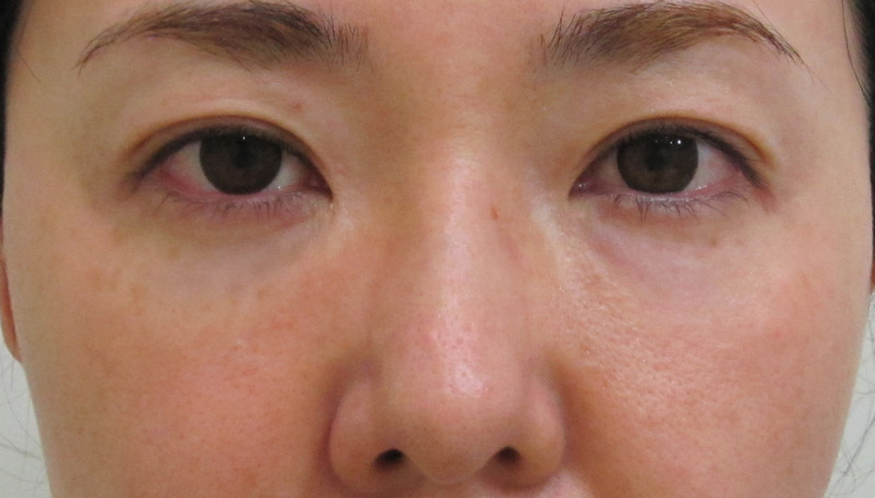
次の方は赤クマが強めの方です。
最初、手術をお勧めしましたが、グロースファクターのみを希望されました。
通常、目の下の脂肪の量が中等度の場合は、目の下+頬のグロースファクターが必要ですが、こちらの方は、目の下のみを希望されました。
その結果、ふくらみとくぼみ・赤クマが残り、後から経結膜脱脂手術を受けられました。
脱脂後は、赤クマもきれいに改善しています。
グロースファクターのみによる治療後に赤みが気になった場合の対処法
グロースファクターのみでも凹凸感を解消できたり、赤みが緩和されることがほとんどで
グロースファクターのみの治療で物足りない場合は、グロースファクターの追加を受けて頂くことも可能です。
もしそれでもふくらみや赤クマの残存が気になる場合は、後から脱脂を
しかし、実際は、赤クマが強い方には、じっくりとご検討いただいくことが多く、仮にグロースファクターのみを受けられるとしても、赤クマが残ることを事前にご了承いただいております。
そのため、実際は、後から「やっぱり脱脂を受けたい」という方はほとんどいらっしゃいません。
前述の「後から脱脂を受けられたという例」は非常にまれです。(これまで数例のみ)
「目の下のグロースファクター⇒脱脂例」
赤クマの改善例(脱脂+グロースファクター)
術前・・・目の下の赤みが見られます。
経結膜脱脂+グロースファクターによる治療を行いました。
術後4か月・・・赤みが改善しています。
詳細な経過>>
CASE2
術前・・・赤クマ+黒・茶クマが見られます。
脱脂+グロースファクター以外に頬・法令線のグロースファクターも受けられました。
その他、メラフェードによるシミ・くすみ治療も受けられています。
6か月後・・・赤みが解消され、さらに目の下の凹凸やシワ・たるみが改善しています。
詳細な経過>>
脱脂+グロースファクターおよび頬、ほうれい線のグロースファクターを受けられました。
6か月後および9か月後にそれぞれほうれい線・左目の下にグロースファクターを追加投与を受けられています。
1年後・・・目の下の赤みやシワ・たるみ・シミが改善しています。
詳細な経過>>
赤クマの改善例(グロースファクターのみによる「手術しない目の下のクマ治療」)
グロースファクターのみですと、眼輪筋への目の下の脂肪の圧迫は変わらないので、完全に赤みがなくなるわけではありませんが、皮膚が薄くなることで、多少の目の下の赤み改善は見られます。
CASE1

施術前/1年2ヵ月後・・・目の下のグロースファクターにより、赤みは多少残っていますが、改善が見られています。
本来、目の下の凹凸を完全に治療するには、頬のグロースファクターまで行った方がきれいになります。(当院の治療方針の詳細>>)
詳細な経過>>

施術前/3.5か月後
目の下のグロースファクターを受けられています。
赤みが改善しています。
詳細な経過>>
CASE3

施術前/9か月後
目の下・頬のグロースファクターおよびメラフェードによる治療を受けられています。
目の下の赤みと凹凸、さらに顔全体のくすみも改善しています。
詳細な経過>>
CASE4

施術前/6か月後
目の下・頬のグロースファクターによる治療を受けられています。
目の下の赤みと凹凸が改善しています。
詳細な経過>>
CASE5

施術前/2年4か月後
元々他院様で脱脂のみを受けられ、当院に修正治療に来られた方です。
目の下には、脂肪の取り残しと赤みがあります。
目の下・頬のグロースファクターおよびメラフェードによる治療を受けられています。
目の下の赤みと凹凸、さらに顔全体のくすみも改善しています。
詳細な経過>>
施術前・・・脂肪の量(進行度) としては中等度です。
赤クマがわずかに見られます。
目の下のグロースファクターを受けられました。
6か月後の時点でグロースファクターの追加投与を受けられています。

1年1ヵ月後・・・凹凸と赤クマが改善しています。
目の下には凹凸が少し残っていますが、本来であれば、目の下+頬のグロースファクターの適応です。
詳細な経過>>
よろしければ診断ツールをご利用ください
質問に答えていくタイプのツールです。
あなたの目の下のたるみ・クマの種類や状態、さらに適切な治療法が分かります。
次をクリックしていただくと、セルフチェックのページに移動します。
赤クマの関連記事
赤クマ
赤クマの原因
赤クマの画像
赤クマが治らない場合について
セルフケアによる赤クマ対策
当院の治療のリスク・危険性について
リスクには、①起こりうるリスクと②これまで経験はないが理論的に起こり得るリスクの二つがあります。
当院では、そのどちらもきちんと説明し、またリスクが起こった場合の取り得る対処法も説明するようにしています。
目の下のグロースファクターでの膨らみすぎの副作用・リスク>>
【よくあるご質問】グロースファクターは、しこりや凹凸が出る恐れがあると聞きますが本当でしょうか?















