①目の下のたるみ・クマ治療(経結膜脱脂+グロースファクター)
②シミ治療(メラフェード+SR)
を受けられたモニターの方です。
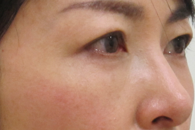
術前・・・診察上の所見・色で分類したクマの種類としては、以下の通りです。
1.涙袋は目の下のふくらみに埋もれて分からなくなっています。
3.脂肪の量(進行度)は中等度です。
4.脂肪によるふくらみの下にはくぼみ(右<左)があり、これらにより凹凸ができてます。(影クマ・黒クマ)
5.目の下にはシミもあります(茶クマ:右>左)。
右目(向かって左)は、術前数日前にたまたま結膜下出血が起きたとのことです。
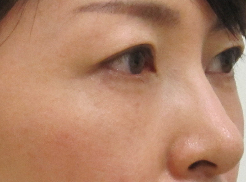
1週間後・・・まだ多少腫れが残っています。
1カ月後・・・だいぶ改善してきました。
この時点で、さらに茶クマを改善させるためにシミ治療(SR+メラフェード)を開始されました。
3カ月後
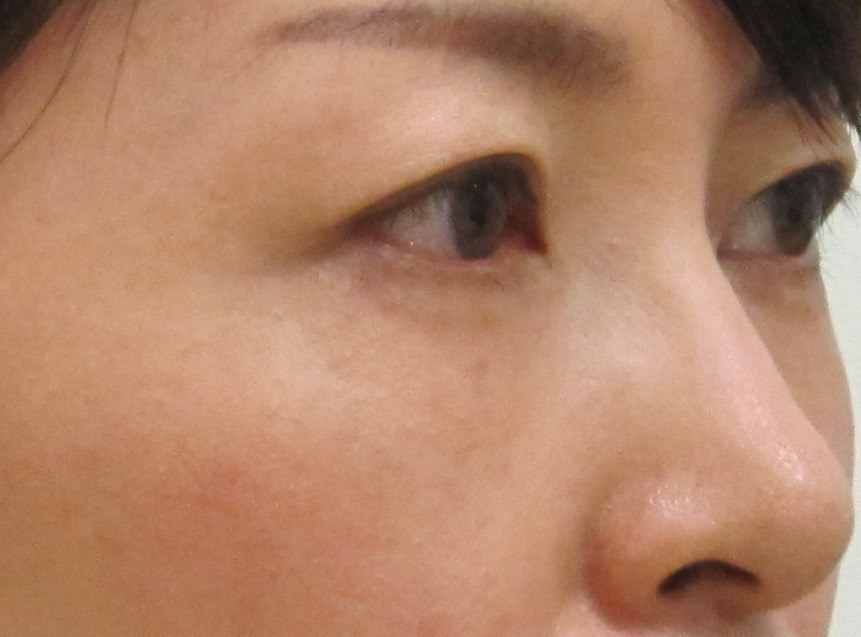
6カ月後・・・きれいになっていますね。
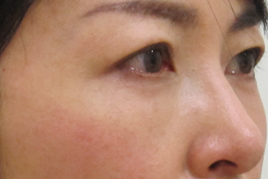
術前・・・斜めから見た状態です。
くぼみに沿ってシミがあります。
6カ月後・・・すっきりとした印象です。
術前・・・反対側です。
1カ月後・・・頬にもシミがあり、凹凸感があるように見えます。
この時点でシミ治療を開始しました。
6カ月後・・・まだ完全には消えていませんが、全体の印象としては肌が明るくなった感じがあります。
術前・・・笑った状態の比較です。
6カ月後・・・笑っても違和感はありません。
自然な仕上がりですね。
その後の経過です。
6年後・・・いい状態を維持されています。
8年後・・・さらにその後もいい状態を維持されています。
8年後
8年後
8年後・・・笑った状態も問題ありません。
施術名:経結膜脱脂+グロースファクター
施術名:メラフェード
経結膜脱脂法の術前・術後に気をつけることやダウンタイムの詳細が気になりますよね?
経結膜脱脂法(目の下のたるみ取り治療)の詳細をご覧になりたい方は、次をクリックして下さい。
目の下のたるみ・クマは、グロースファクターの注射のみでも改善できることが多いです。
その場合、費用やダウンタイムが最小限で済み、脱脂後のシワを回避できることと、頬のリフトアップによる若返り効果も得られるというメリットがあります。
詳細をご覧になりたい方は、次をクリックして下さい。
目の下のたるみ・クマでお悩みの方は、解決方法がここできっと見つかると思います。
目の下のたるみ・クマの記事一覧をご覧になりたい方は、次をクリックして下さい。
実は、経結膜脱脂手術できれいに仕上げるためには、手術前の準備で9割が決まります。
逆に言うと、そこをクリアすれば、経結膜脱脂法で成功するのはそれほど難しいことではありません。
詳細は、以下をご覧下さい。
目の下の脱脂で失敗したり後悔したくないですよね?
当院または他院様で目の下の脱脂などを受けられ、後悔された方の分析と、そこから得られる失敗学について解説いたします。
よろしければ診断ツールをご利用ください
質問に答えていくタイプのツールです。
あなたの目の下のたるみ・クマの種類や状態、さらに適切な治療法が分かります。
次をクリックしていただくと、セルフチェックのページに移動します。
関連記事
症例写真
症例写真|脱脂+グロースファクター
症例写真|手術しない目の下のクマ治療
症例写真 | 目の下のクマ他院修正治療























