①目の下のたるみ・クマ治療(経結膜脱脂+グロースファクター)
を受けられたモニターの方です。
笑った時に、目の下のふくらみが大きくなることを気にされていました。
職業柄、笑う機会が多いとのことでした。
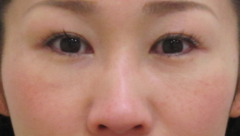
術前・・・診察上の所見・色で分類したクマの種類としては、以下の通りです。
1.涙袋 は比較的はっきりしています。
2.脂肪の量(進行度)としては少な目です。
ふくらみが影を作っています。(影クマ・黒クマ)
3.脂肪によるふくらみ(目袋)は、ごくわずかに左右差があります。(右<左)
4.ふくらみの下にはハの字状にくぼみ がうっすらとあります。
5.くすみがわずかにあります。(茶クマ)
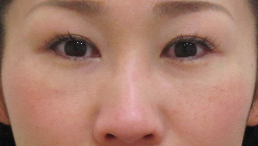
術直後の状態です。
グロースファクターによる注射の跡がポツポツとあります。
1ヵ月後・・・徐々に改善しています。
笑った時の脂肪のふくらみも目立たなくなっています。
また、シミ・くすみも薄くなっています。
3か月後の時点で、メラフェードは、一度休止されています。
また、術後3か月くらいの時に、会社の方から「何かやっているの?」と聞かれたそうで、メラフェードの効果を実感されていました。
メラフェード終了後、2セット目以上継続される場合は、3か月ご使用後に1か月間休止するようにします。
これは、肌が慣れてくるためで、あえて休んでいただくことで、再開した時に効果が高まるという意味があります。
6か月後・・・分りにくいので拡大してみます。
術前/6か月後・・・元々ふくらみが小さかったので変化が分りにくいですが、凹凸感は改善しています。
目の下のくぼみがわずかに残っているように見えますが、青クマ(眼輪筋が透けて見えている状態)のためで、あと小ジワが増えているのはメラフェードや季節による皮膚の乾燥の影響もあるかもしれません。
しばらく様子を見ていただいて、気になるようでしたら、グロースファクターを追加することで改善可能です。
施術前・・・斜めから見た状態です。
凹凸は分りにくいです。
6か月後
施術前・・・反対側です。
6か月後・・・肌全体のくすみも取れてきれいな印象になっていますね。
「笑った時の脂肪のふくらみは、気にならなくなった」とのことでした。
施術名:経結膜脱脂+グロースファクター
施術名:メラフェード
経結膜脱脂法の術前・術後に気をつけることやダウンタイムの詳細が気になりますよね?
経結膜脱脂法(目の下のたるみ取り治療)の詳細をご覧になりたい方は、次をクリックして下さい。
目の下のたるみ・クマは、グロースファクターの注射のみでも改善できることが多いです。
その場合、費用やダウンタイムが最小限で済み、脱脂後のシワを回避できることと、頬のリフトアップによる若返り効果も得られると いうメリットがあります。
詳細をご覧になりたい方は、次をクリックして下さい。
目の下のたるみ・クマでお悩みの方は、解決方法がここできっと見つかると思います。
目の下のたるみ・クマの記事一覧をご覧になりたい方は、次をクリックして下さい。
実は、経結膜脱脂手術できれいに仕上げるためには、手術前の準備で9割が決まります。
逆に言うと、そこをクリアすれば、経結膜脱脂法で成功するのはそれほど難しいことではありません。
詳細は、以下をご覧下さい。
目の下の脱脂で失敗したり後悔したくないですよね?
当院または他院様で目の下の脱脂などを受けられ、後悔された方の分析と、そこから得られる失敗学について解説いたします。
よろしければ診断ツールをご利用ください
質問に答えていくタイプのツールです。
あなたの目の下のたるみ・クマの種類や状態、さらに適切な治療法が分かります。
次をクリックしていただくと、セルフチェックのページに移動します。
関連記事
症例写真
症例写真|脱脂+グロースファクター
症例写真|手術しない目の下のクマ治療
症例写真 | 目の下のクマ他院修正治療















