経結膜脱脂+グロースファクターによる目の下のたるみ・クマ治療を受けられたモニターの方です。
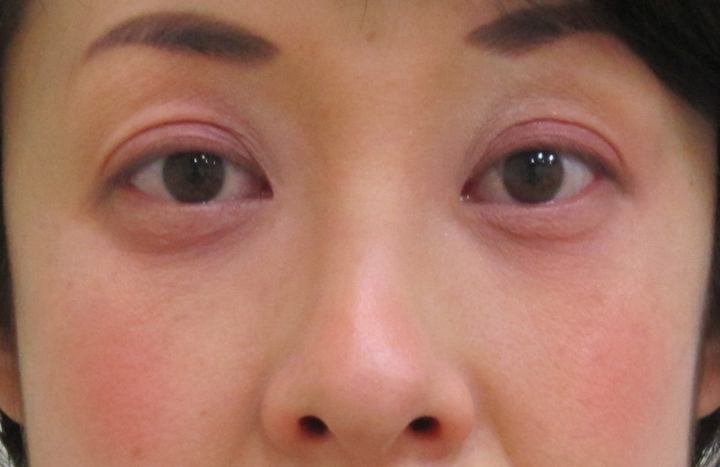
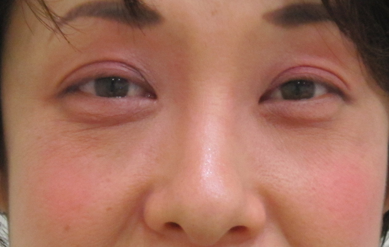
術前・・・診察上の所見・色で分類したクマの種類としては、以下の通りです。
1.涙袋は比較的明瞭に保たれています。
2.脂肪の量(進行度)としては中等度です。
3.ふくらみの下にはハの字状にくぼみ がうっすらとあります。
4.くぼみの位置にはわずかにシミがあります。(茶クマ)
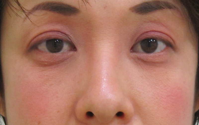
1週間後・・・この時期はグロースファクターの効果はまだほとんど出ていません。
また、腫れが残っていることも多いです。
1ヵ月後・・・順調な経過です。
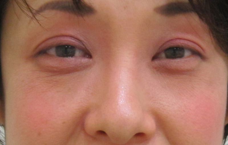
6ヵ月後・・・すっきりとした印象になっています。
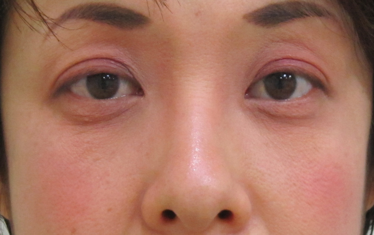
術前・・・斜めから見た状態です。
術前・・・斜めから見た状態です。
6ヵ月後・・・クマが解消されています。
術前・・・笑った状態の比較です。
笑うと脂肪が浮き出ています。
グロースファクターにより皮膚のハリが出ているので、小ジワも寄りづらくなっています。
触っても、どこに注射をしたか分からないくらい違和感がありません。
施術名:経結膜脱脂+グロースファクター
経結膜脱脂法の術前・術後に気をつけることやダウンタイムの詳細が気になりますよね?
経結膜脱脂法(目の下のたるみ取り治療)の詳細をご覧になりたい方は、次をクリックして下さい。
目の下のたるみ・クマは、グロースファクターの注射のみでも改善できることが多いです。
その場合、費用やダウンタイムが最小限で済み、脱脂後のシワを回避できることと、頬のリフトアップによる若返り効果も得られ るというメリットがあります。
詳細をご覧になりたい方は、次をクリックして下さい。
目の下のたるみ・クマでお悩みの方は、解決方法がここできっと見つかると思います。
目の下のたるみ・クマの記事一覧をご覧になりたい方は、次をクリックして下さい。
実は、経結膜脱脂手術できれいに仕上げるためには、手術前の準備で9割が決まります。
逆に言うと、そこをクリアすれば、経結膜脱脂法で成功するのはそれほど難しいことではありません。
詳細は、以下をご覧下さい。
目の下の脱脂で失敗したり後悔したくないですよね?
当院または他院様で目の下の脱脂などを受けられ、後悔された方の分析と、そこから得られる失敗学について解説いたします。
よろしければ診断ツールをご利用ください
質問に答えていくタイプのツールです。
あなたの目の下のたるみ・クマの種類や状態、さらに適切な治療法が分かります。
次をクリックしていただくと、セルフチェックのページに移動します。
目の下のたるみ・クマの関連記事
症例写真
症例写真|脱脂+グロースファクター
症例写真|手術しない目の下のクマ治療
症例写真 | 目の下のクマ他院修正治療
















