0120-735-538
03-5491-5588

電話受付: 休止中(メールのみ)

診療時間:10〜19時(完全予約制)

  • 症例写真

30代女性 目の下のたるみ・クマ治療(脱脂+グロースファクター) 1年後の経過

目の下のたるみ・クマに対して、経結膜脱脂+グロースファクターによる治療を受けられたモニターの方です。

 

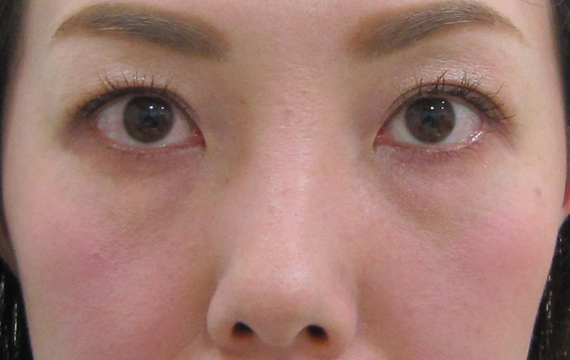
1

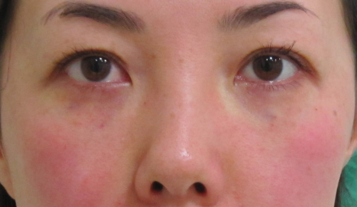
術前(メイクなし)・・・診察上の所見および色で分類したクマの種類としては、以下の通りです。
1.涙袋目の下の脂肪(眼窩脂肪)の突出により左右ともにほとんど不明瞭になっています。           

2.脂肪の量(進行度)としては中等度です。
ふくらみが影を作っています。(影クマ・黒クマ)
3.脂肪によるふくらみ目袋)の左右差はごくわずかです。(右<左)。

4.ふくらみのところには赤み (赤クマがごくわずかにあります。
5.ふくらみの下にはハの字状にくぼみ があります。
6.青クマとの重複によりふくらみには一部紫がかっているところもごく一部あります。(紫クマ
7.くぼみの位置のシミ(茶クマ)がごくわずかに見られます。

 
 
2

術前(メイクあり)・・・メイクをしても影クマ(黒クマ)は隠せません。

 

 
3

術直後・・・グロースファクターの注射の跡がごくわずかに見られます。

少し赤くなっているのは冷やしたためで、一時的なものです。
術直後はほとんど腫れはありません。  

 

 
4

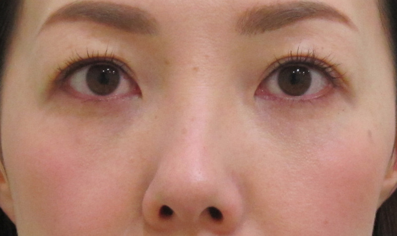
1週間後・・・この時期は少し腫れが残っていることがあります。

 

 
5

1ヵ月後・・・グロースファクターの最終結果が出るまでは半年程度かかるので、この時期は目の下にくぼみがあることもありますが、待って頂く時期です。

 

 
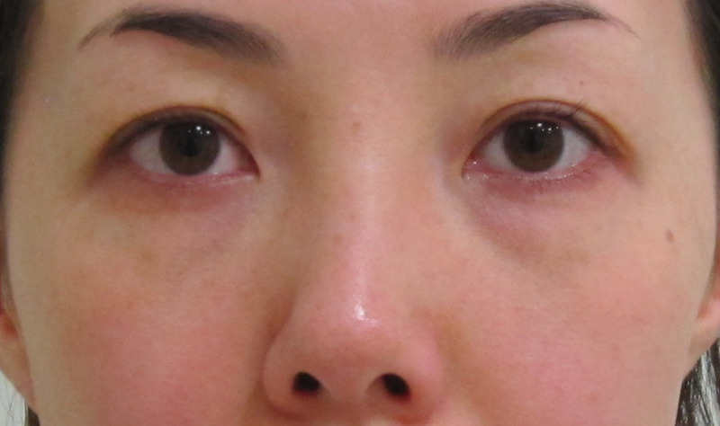
1

1年後・・・凹凸は改善しています。

ただし、青クマは鬱血した皮下の静脈が透けて見えている色なので、グロースファクターにより皮膚が厚くなることで多少薄くはなるものの、目の上と同程度は残ることがあります。

また、青クマは疲労やストレスなどにより増強します。

 

 
2

術前・・・斜めから見た状態です。

 

 
3

1年後・・・きれいになっていますね。

 

 
4

術前・・・笑った状態の比較です。

 

 
5

1年後・・・笑っても違和感はありません。

 

施術名:経結膜脱脂+グロースファクター 

 

 


経結膜脱脂法の術前・術後に気をつけることやダウンタイムの詳細が気になりますよね?
経結膜脱脂法(目の下のたるみ取り治療)の詳細をご覧になりたい方は、次をクリックして下さい。


目の下のたるみ・クマは、グロースファクターの注射のみでも改善できることが多いです。
その場合、費用やダウンタイムが最小限で済み、脱脂後のシワを回避できることと、頬のリフトアップによる若返り効果も得られ るというメリットがあります。
詳細をご覧になりたい方は、次をクリックして下さい。


目の下のたるみ・クマでお悩みの方は、解決方法がここできっと見つかると思います。
目の下のたるみ・クマの記事一覧をご覧になりたい方は、次をクリックして下さい。


実は、経結膜脱脂手術できれいに仕上げるためには、手術前の準備で9割が決まります。
逆に言うと、そこをクリアすれば、経結膜脱脂法で成功するのはそれほど難しいことではありません。
詳細は、以下をご覧下さい。


目の下の脱脂で失敗したり後悔したくないですよね?
当院または他院様で目の下の脱脂などを受けられ、後悔された方の分析と、そこから得られる失敗学について解説いたします。

 

よろしければ診断ツールをご利用ください

質問に答えていくタイプのツールです。
あなたの目の下のたるみ・クマの種類や状態、さらに適切な治療法が分かります。
次をクリックしていただくと、セルフチェックのページに移動します。

目の下のたるみクマ自動診断

 

目の下のたるみ・クマの関連記事

症例写真

症例写真|脱脂+グロースファクター 
症例写真|手術しない目の下のクマ治療 
症例写真 | 目の下のクマ他院修正治療

 

【直筆】当院に寄せられた真実の物語

 

 

 

 

 

「このクリニックに興味があるけど、実際はどうなんだろう?」

色々ご不安な方も多いと思います。

そこで、実際に治療を受けられた方々による直筆の資料(症例写真付き)をご覧になりませんか?

主な内容:
・痛み・内出血・腫れ
・お仕事を休まれた期間
・結果の満足度 など


ぜひ以下をクリックしてご覧下さい!


資料を読む>>