①目の下のたるみ・クマ治療(経結膜脱脂+グロースファクター)、
を受けられたモニターの方です。
目の下のクマは、小学生の頃から気になられていたそうです。
周りの方から「疲れている?」と聞かれることがあったとのことでした。
運動を定期的にされているそうです。
また、ニキビ跡も気になられているとのことでした。
以前、ニキビの治療で、ピーリングを受けられたことがあるそうです。
今後、頬のニキビ跡治療(グロースファクター)も検討されたいとのことでしたが、今回は、メラフェードのみで様子を見ることを希望されました。
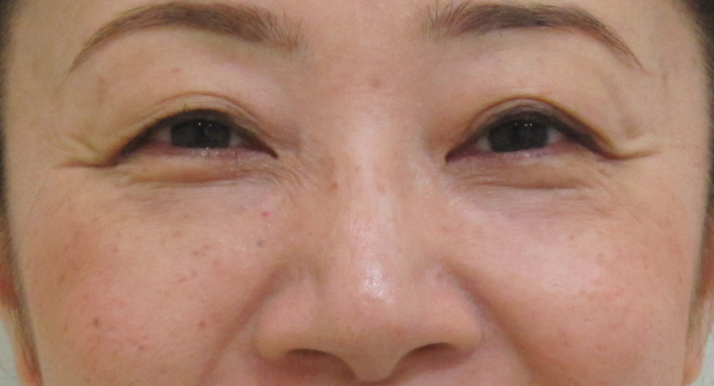
術前・・・診察上の所見および色で分類したクマの種類としては、以下の通りです。
1.涙袋 は目の下の脂肪(眼窩脂肪)の突出により左右ともに不明瞭になっています。
また、外側までふくらみが見られます。
2.脂肪の量(進行度) としては重度です。
3.ふくらみが影を作っています。(影クマ・黒クマ)
4.脂肪によるふくらみには左右差はごくわずかに見られます。(右<左)
5.ふくらみのところには赤み (赤クマ)がごくわずかにあります。
6.ふくらみの下にはハの字状にくぼみ があります。
7.くぼみの位置のシミ(茶クマ)がごくわずかに見られます。
8.青クマとの重複によりふくらみには一部紫がかっているところもごく一部あります。(紫クマ)
目の下のクマの治療法に関してですが、目の下の脂肪の量が多いため(重度)、経結膜脱脂手術(脱脂)をされた方がすっきりとした印象になると考えられます。
術直後・・・グロースファクターの注射の跡はほとんど目立ちません。
術中の痛みはなかったとのことでした。
わずかに赤くなっているのは冷やしたためで、一時的なものです。
術直後はほとんど腫れはありません。
術直後に赤クマ、影クマは解消されています。
メラフェードも術直後より開始されました。
メラフェードによる治療は、当院の治療の当日は控えていただきます。
手術直後に、「小さい時からだったので嬉しいです」とおっしゃっていました。
2日後にいただいたメールでは、順調に経過しているとのことでした。
内出血は1か所だけ出たそうです。
血の涙や目ヤニは、出なかったとのことでした。
1週間後・・・腫れに左右差があります。
腫れは、ご自分だけが気付く程度で、周りからは気づかれなかったそうです。
この時期は、腫れが残っていることもありますが、待っていただきます。
腫れや内出血は必ず時間とともに引いていき、結果には影響しません。
1カ月後・・・腫れはほぼ引いています。
「左目の下にくぼみがあり、気になる」とのことでした。
グロースファクター治療後の経過は多少個人差がありますが、半年かけて徐々に良くなっていくので、しばらく様子を見ていただきます。
メラフェードを使用して、「手触りが良くなった」と効果を感じられたそうです。
3か月後の時点では、「良くなったと感じる」とのことでした。
凹凸はほとんど目立たないとのことですが、左目の下のシミや小ジワが気になられているそうです。
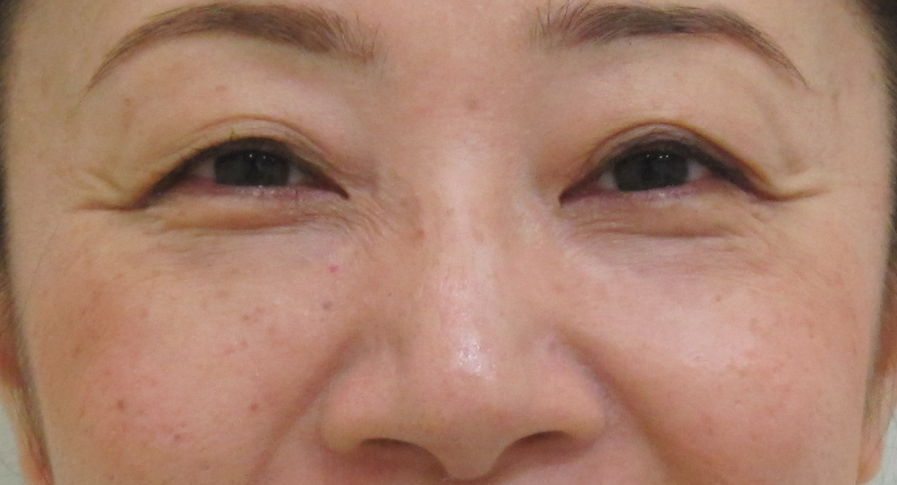
6ヵ月後・・・クマは改善されています。
また、目の下のシミ・くすみ・ニキビ跡は改善していますが、わずかに残っています。
メラフェード1セットを全て使用されたとのことでした。
その後もメラフェードによる治療を継続されています。
術前・・・斜めから見た状態の比較です。
1週間後・・・左は腫れがまだ完全に引いていません。
6ヵ月後・・・きれいになっていますね。
横から見るとシミの残りがあるのがわかりますが、色が濃いところはくぼんで見えがちなので、凹凸感が残っているように見えてしまうのことがあり、注意が必要です。
術前・・・反対側です。
1週間後・・・徐々に改善していきます。
6ヵ月後・・・すっきりとした印象になりました。
術前・・・笑った状態の比較です。
6ヵ月後・・・笑っても違和感はありません。
また、グロースファクターにより皮膚のハリが出ており、シワも寄りにくくなっています。
メラフェードにも小ジワ改善効果があります。
クレーター状のニキビ跡は、グロースファクターにより治療可能です。
ただし、瘢痕(キズ跡)が硬い場合は複数回の治療が必要になることもあります。
また、白抜けしているものはその色は残ります。
ジェネシスや水光注射は、ニキビ跡には効果はありません。
ニキビ跡の治療法としては、まずクレーターを丁寧に一つずつグロースファクターでならしていきます。
その他、ニキビの炎症が起こった肌は、コラーゲンが破壊されていますので、そこを全体的に修復するようにグロースファクターでさらに治療していくと引き締まって凹凸がさらに目立たなくなります。
これらは1回の治療で効果を得ることができます。
施術名:経結膜脱脂+グロースファクター
施術名:メラフェード
経結膜脱脂法の術前・術後に気をつけることやダウンタイムの詳細が気になりますよね?
経結膜脱脂法(目の下のたるみ取り治療)の詳細をご覧になりたい方は、次をクリックして下さい。
目の下のたるみ・クマは、グロースファクターの注射のみでも改善できることが多いです。
その場合、費用やダウンタイムが最小限で済み、脱脂後のシワを回避できることと、頬のリフトアップによる若返り効果も得られるというメリットがあります。
詳細をご覧になりたい方は、次をクリックして下さい。
目の下のたるみ・クマでお悩みの方は、解決方法がここできっと見つかると思います。
目の下のたるみ・クマの記事一覧をご覧になりたい方は、次をクリックして下さい。
実は、経結膜脱脂手術できれいに仕上げるためには、手術前の準備で9割が決まります。
逆に言うと、そこをクリアすれば、経結膜脱脂法で成功するのはそれほど難しいことではありません。
詳細は、以下をご覧下さい。
目の下の脱脂で失敗したり後悔したくないですよね?
当院または他院様で目の下の脱脂などを受けられ、後悔された方の分析と、そこから得られる失敗学について解説いたします。
よろしければ診断ツールをご利用ください
質問に答えていくタイプのツールです。
あなたの目の下のたるみ・クマの種類や状態、さらに適切な治療法が分かります。
次をクリックしていただくと、セルフチェックのページに移動します。
目の下のたるみ・クマの関連記事
症例写真
症例写真|脱脂+グロースファクター
症例写真|手術しない目の下のクマ治療
症例写真 | 目の下のクマ他院修正治療



















