①目の下のたるみ・クマ治療(経結膜脱脂+グロースファクター)、
②シミ・くすみ治療(メラフェード)
を受けられたモニターの方です。
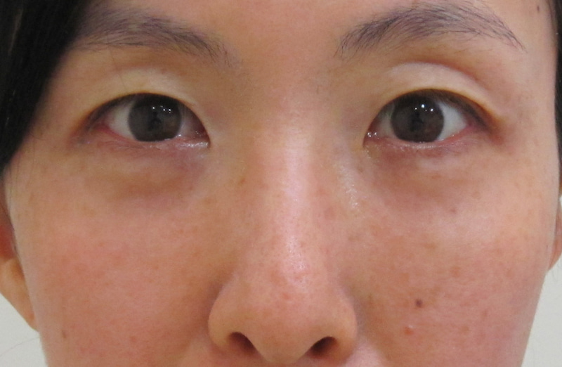
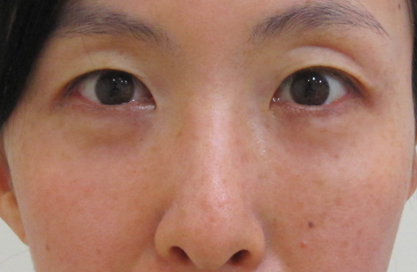
術前・・・診察上の所見・色で分類したクマの種類としては、以下の通りです。
1.涙袋は目の下の脂肪(眼窩脂肪)の突出により左右ともにほとんど不明瞭になっています。
2.ふくらみのところには赤み(赤クマ)が見られます。
3.脂肪の量(進行度)としては中等度です。
4.目の下にはわずかにくぼみが見られます。
5.くぼみの位置のシミ(茶クマ)が見られます。
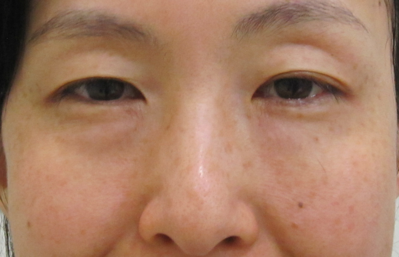
術前(メイクあり)・・・メイクをしても目の下のたるみによる影は残っています。
術直後・・・グロースファクターによる注射の跡がポツポツとあります。
1週間後・・・この時期は、腫れが残っていることもありますが、待って頂きます。
腫れや内出血は必ず時間とともに引いていき、結果には影響しません。
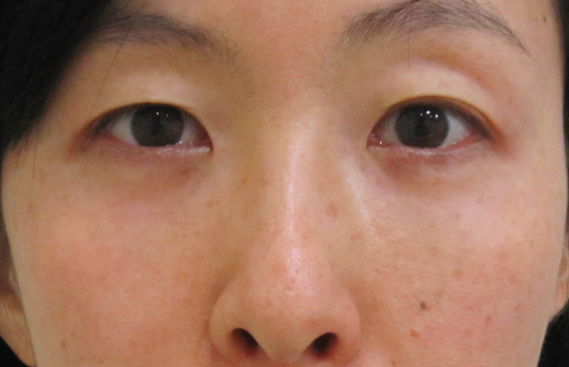
1か月後・・・腫れはほぼ引いています。
6ヵ月後・・・クマは改善されています。
また、目の下のシミ・くすみも改善しています。
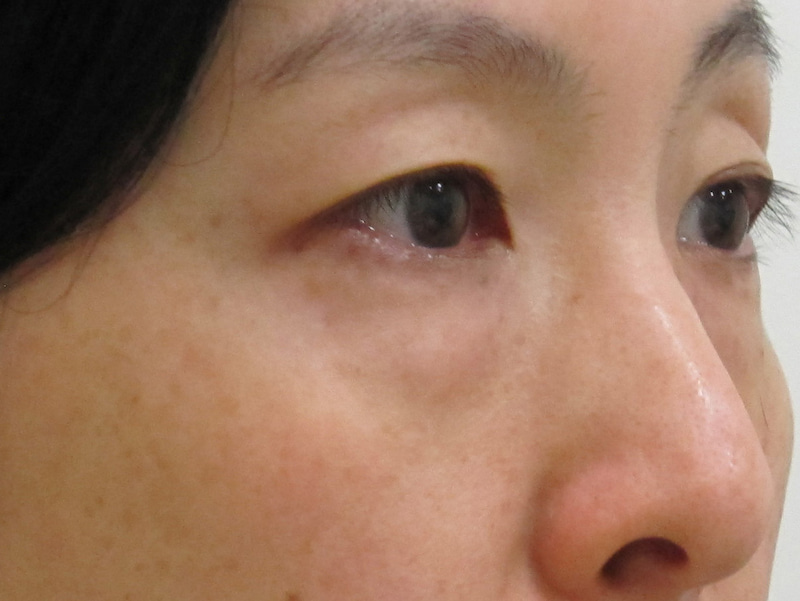
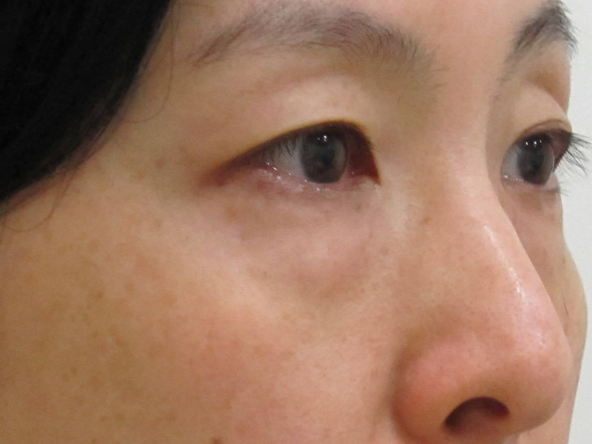
術前・・・斜めから見た状態の比較です。
6か月後・・・自然な仕上がりです。
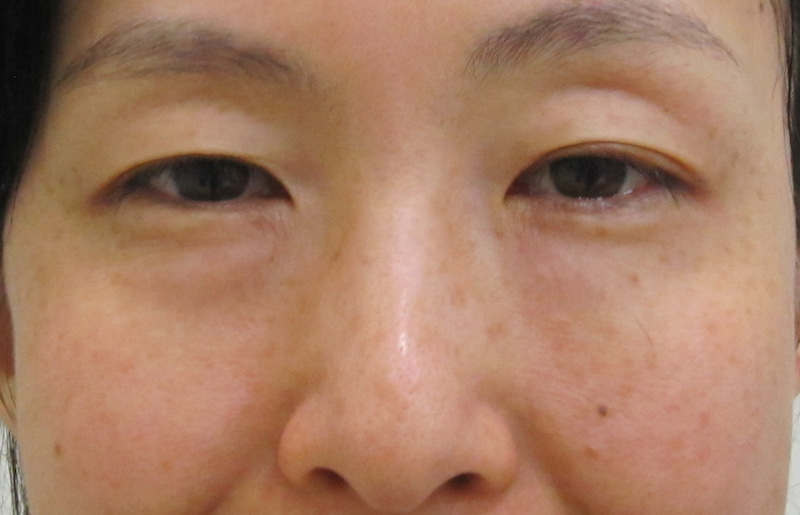
術前・・・反対側です。
6か月後・・・きれいになっていますね。
術前・・・笑った状態の比較です。
6か月後・・・笑っても違和感はありません。
また、グロースファクターにより皮膚のハリが出ており、シワも寄りにくくなっています。
なお、メラフェードにも小ジワ改善効果があります。
施術名:経結膜脱脂+グロースファクター
経結膜脱脂法の術前・術後に気をつけることやダウンタイムの詳細が気になりますよね?
経結膜脱脂法(目の下のたるみ取り治療)の詳細をご覧になりたい方は、次をクリックして下さい。
目の下のたるみ・クマは、グロースファクターの注射のみでも改善できることが多いです。
その場合、費用やダウンタイムが最小限で済み、脱脂後のシワを回避できることと、頬のリフトアップによる若返り効果も得られるというメリットがあります。
詳細をご覧になりたい方は、次をクリックして下さい。
目の下のたるみ・クマでお悩みの方は、解決方法がここできっと見つかると思います。
目の下のたるみ・クマの記事一覧をご覧になりたい方は、次をクリックして下さい。
実は、経結膜脱脂手術できれいに仕上げるためには、手術前の準備で9割が決まります。
逆に言うと、そこをクリアすれば、経結膜脱脂法で成功するのはそれほど難しいことではありません。
詳細は、以下をご覧下さい。
目の下の脱脂で失敗したり後悔したくないですよね?
当院または他院様で目の下の脱脂などを受けられ、後悔された方の分析と、そこから得られる失敗学について解説いたします。
よろしければ診断ツールをご利用ください
質問に答えていくタイプのツールです。
あなたの目の下のたるみ・クマの種類や状態、さらに適切な治療法が分かります。
次をクリックしていただくと、セルフチェックのページに移動します。
目の下のたるみ・クマの関連記事
目の下のたるみ・クマの基本事項
目の下のたるみについて
目の下の部位の名称について
目袋について
症例写真
症例写真|脱脂+グロースファクター
症例写真|手術しない目の下のクマ治療
症例写真 | 目の下のクマ他院修正治療
よくあるご質問
よくあるご質問【脱脂+グロースファクター】
よくあるご質問【目の下のたるみ・クマ】
よくあるご質問【手術しない目の下のクマ治療】


















