①他院様で脱脂+脂肪注入による目の下のたるみ・クマ治療後に、当院で目の下のグロースファクターによる修正治療、
を受けられたモニターの方です。
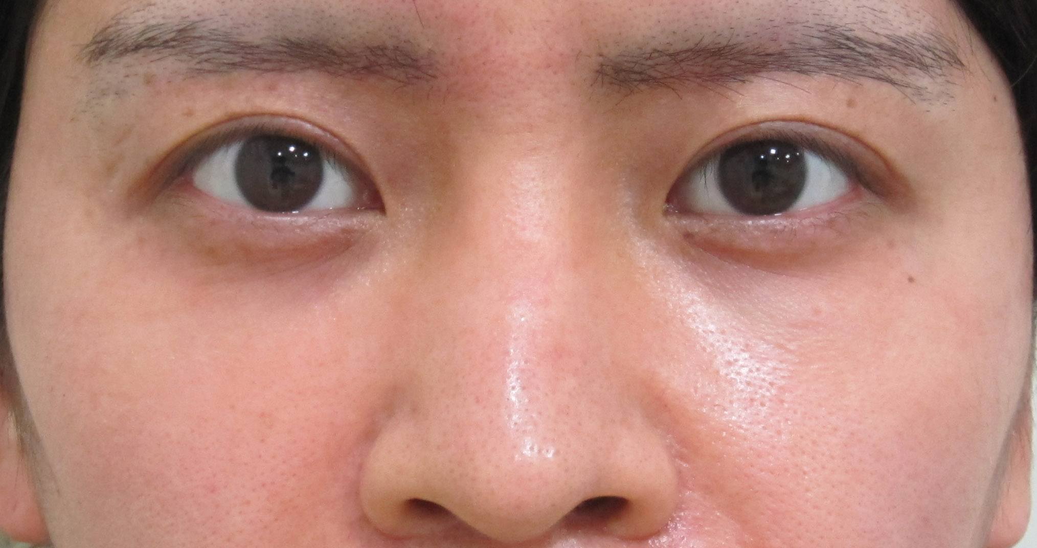
施術前・・・当院受診時のお写真です。
診察上の所見・色で分類したクマの種類としては、以下の通りです。
1.脂肪の取り残しはなく、ハの字状にくぼみ がわずかに残っています。(影クマ・黒クマ)
2.ごくわずかに赤み (赤クマ)があります。
3.青クマとの重複によりふくらみには一部紫がかっているところもごく一部あります。(紫クマ)
4.くぼみの位置のシミ(茶クマ )はわずかにあります。
施術直後・・・ポツポツと注射の跡が見られます。
赤くなっているのは、冷やしたためで、一時的なものです。
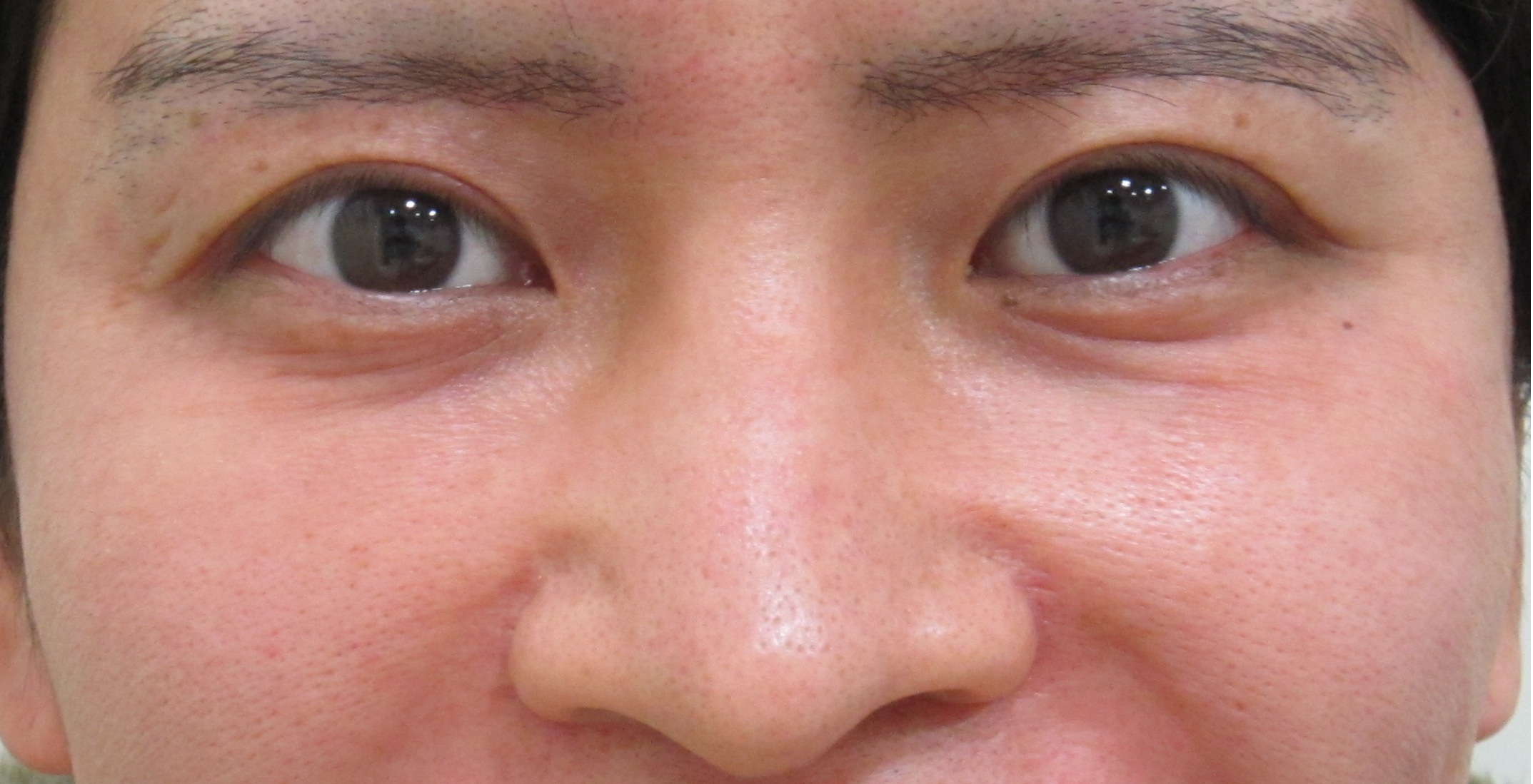
6か月後・・・きれいになっていますね。
施術前・・・斜めから見た状態です。
6か月後・・・涙袋も少し引き締まっています。
目の下の皮膚のハリが出て、影っぽい感じが改善されていますね。
6か月後(拡大)・・・一見凹凸があるように見えますが、明るい場所で斜めから確認すると、段差は見られません。
施術前・・・反対側です。
6か月後・・・自然な仕上がりですね。
施術前・・・笑った状態の比較です。
6か月後・・・笑っても違和感はありません。
笑いジワは少し緩和されていますが、折れ癖はどうしても残ります。
施術名:グロースファクター注入療法
施術名:メラフェード
二子玉川美容外科クリニックで行っている目の下のクマの他院修正治療は、脱脂後やヒアルロン酸後、脂肪注入後など、様々な状況に対応しております。
他院修正例の症例写真をご覧になりたい方は、次をクリックして下さい。
「再脱脂しないと修正は無理です」と言われた方が、注射だけで改善できたケースも!
目の下のクマの他院修正治療の詳細をご覧になりたい方は、次をクリックして下さい。
目の下のたるみ・クマでお悩みの方は、解決方法がここできっと見つかると思います。
目の下のたるみ・クマの記事一覧をご覧になりたい方は、次をクリックして下さい。
よろしければ診断ツールをご利用ください
質問に答えていくタイプのツールです。
あなたの目の下のたるみ・クマの種類や状態、さらに適切な治療法が分かります。
次をクリックしていただくと、セルフチェックのページに移動します。
関連記事
症例写真
症例写真|脱脂+グロースファクター
症例写真|手術しない目の下のクマ治療
症例写真 | 目の下のクマ他院修正治療















