目の下のたるみ・クマに対して、経結膜脱脂+グロースファクターを受けられたモニターの方です。
数年前から目の下のクマが気になられていたそうです。
また、眼精疲労があり、むくみ、内出血が出やすい体質だそうです。
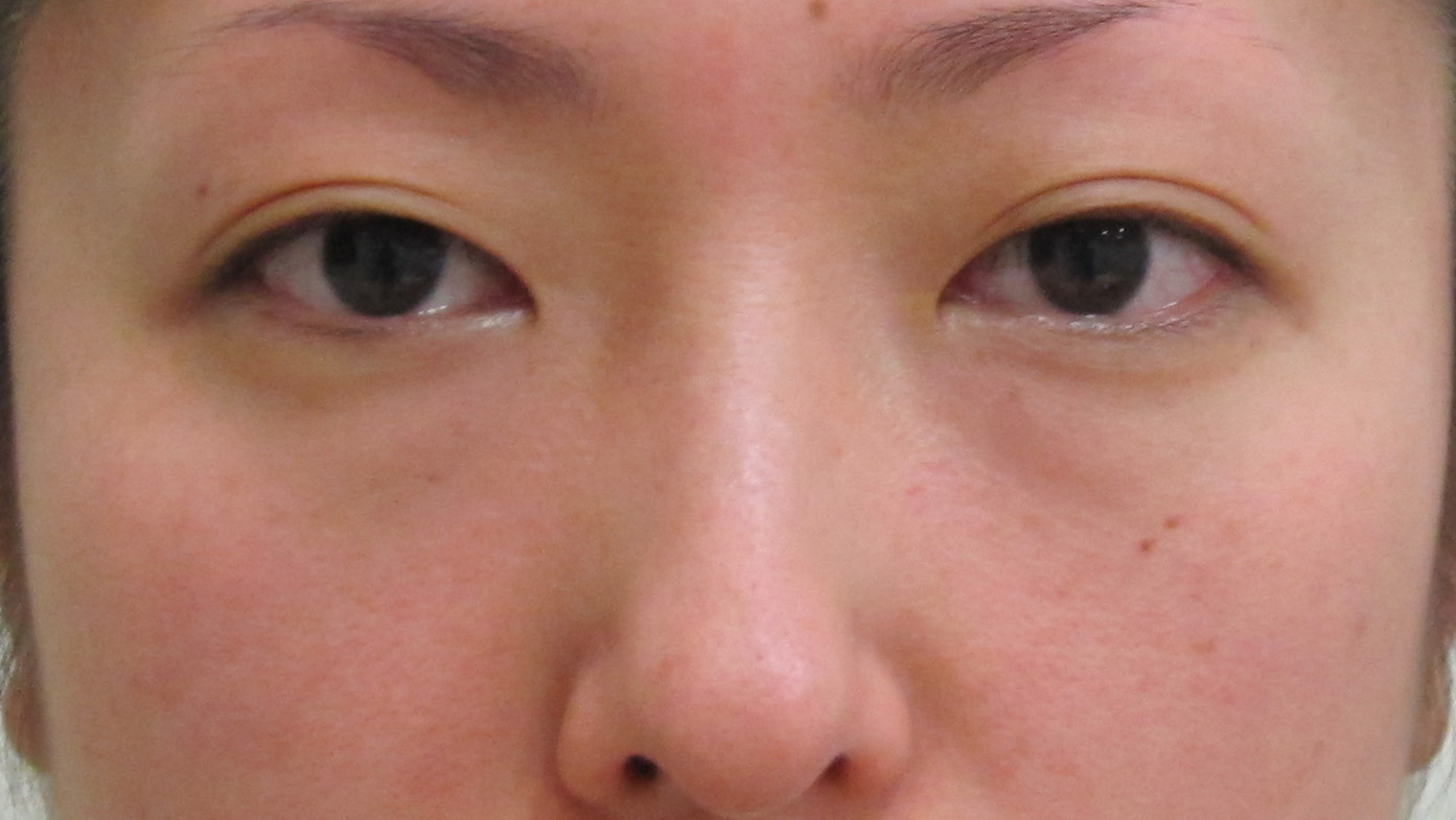
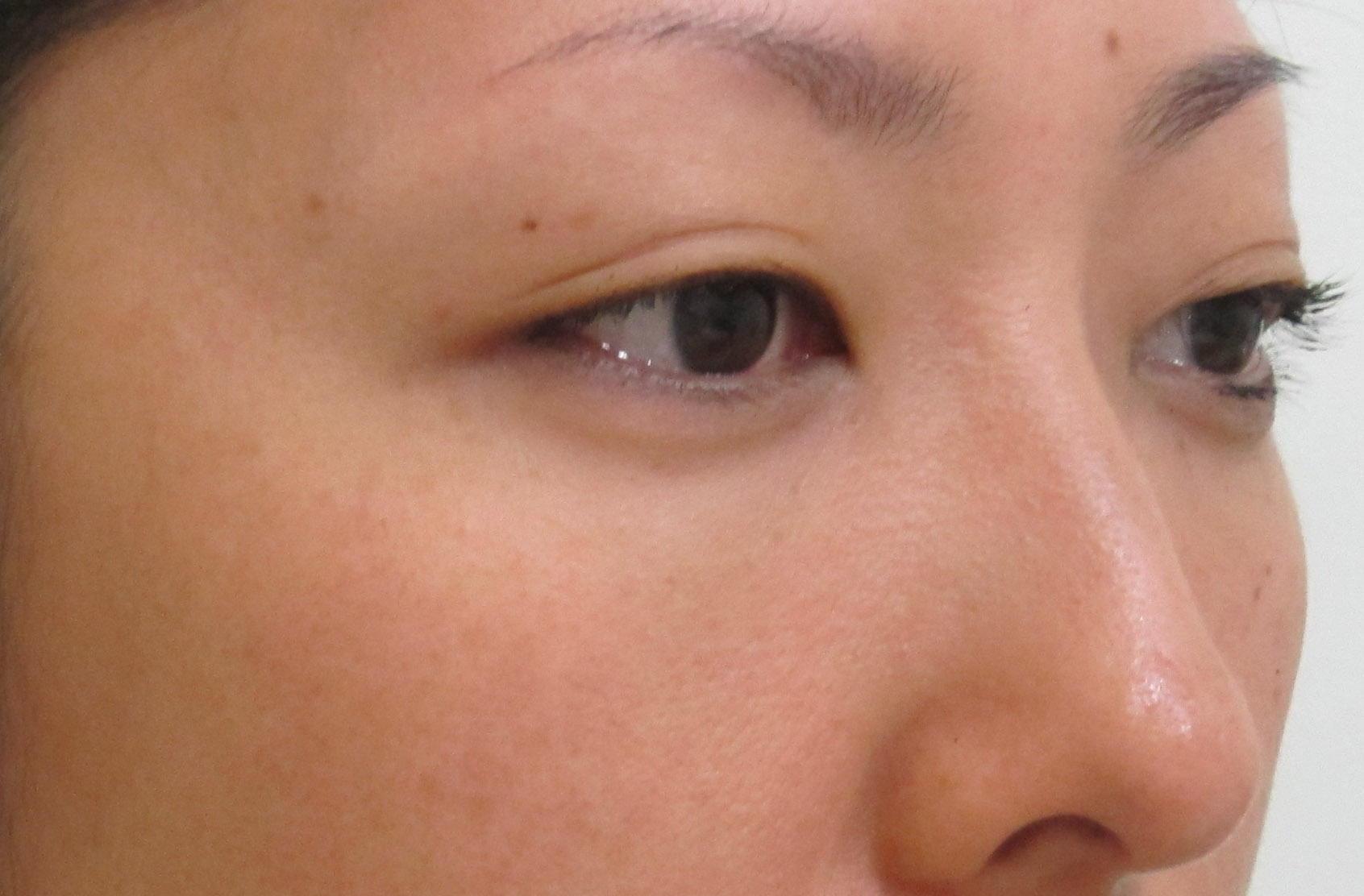
術前・・・診察上の所見および色で分類したクマの種類としては、以下の通りです。
1.涙袋 は比較的はっきりしています。
2.脂肪の量(進行度) としては、中等度です。
ふくらみが影を作っています。(影クマ・黒クマ)
3.脂肪によるふくらみには左右差は特にありません。
4.ふくらみのところには赤み (赤クマ)があります。
5.ふくらみの下にはハの字状にくぼみ がうっすらとあります。
6.青クマとの重複によりふくらみには一部紫がかっているところもごく一部あります。(紫クマ)
7.くぼみの位置のシミ(茶クマ )はわずかに見られます。
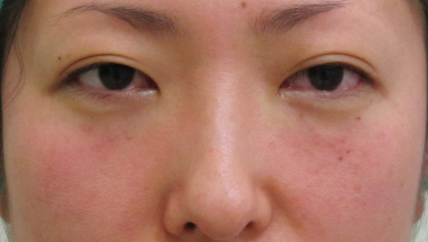
術前(メイクあり)・・・メイクをしても目の下の凹凸は残っています。
術直後・・・赤くなっているのは、冷やしているためで一時的なものです。
グロースファクターの注射の跡がよく見るとわずかにあります。
術直後はほとんど腫れはありません。
1週間後・・・この時期はまだ腫れが残っていることもあります。
腫れは、1週間から数週間で引いていきます。
術後翌日から、「泣きはらしたような目立つ腫れ」が2~7日程続いたとのことです。
むくみやすい方や脂肪が多い方は腫れが長引くこともありますが、必ず引いていきますので、しばらく様子を見ていただきます。
内出血や目やには一切出なかったそうです。
1か月後・・・腫れが引きました。
術後から目を動かすと鈍い痛みが続いていたそうですが、この時点では治まったそうです。
また、この時点で、「どんな場所でも目の下のクマが気にならなくなった。」とのことです。
グロースファクターの最終結果が出るまで半年程度かかるので、しばらく様子を見ていただきます。
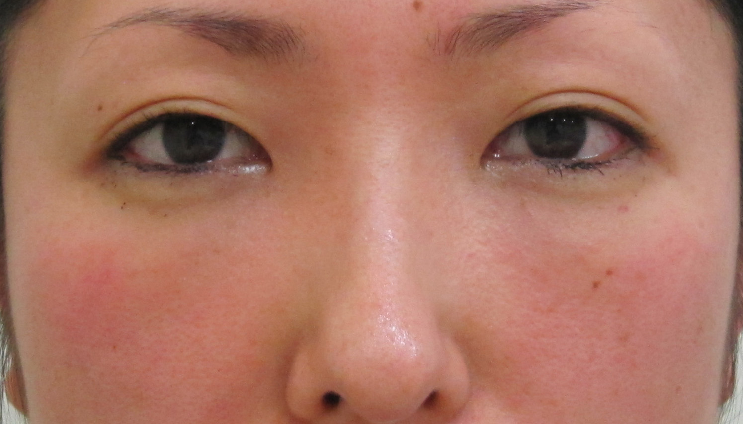
6か月後・・・きれいになっていますね。
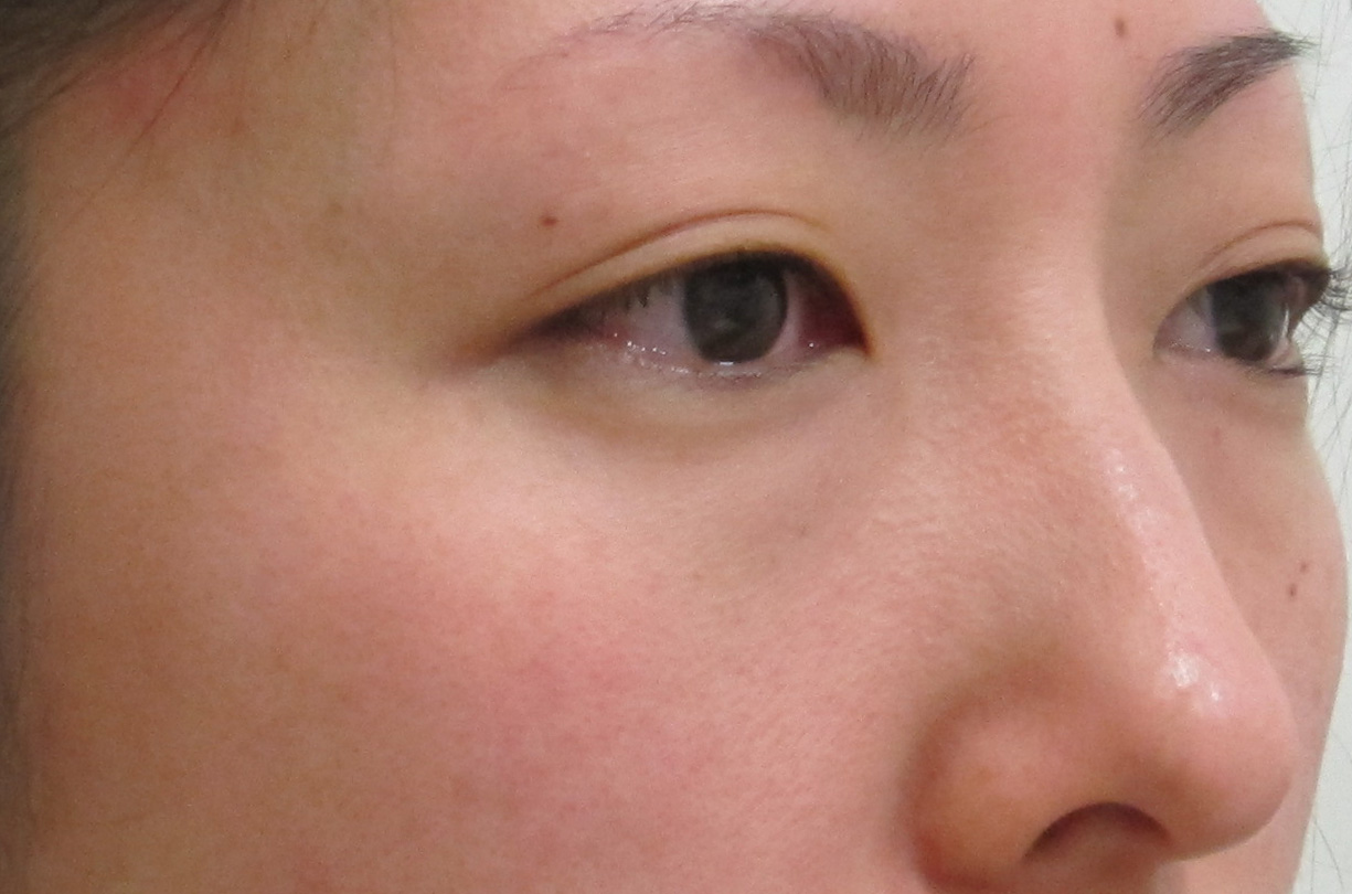
術前・・・斜めから見た状態の比較です。
6か月後・・・自然な仕上がりですね。
術前・・・反対側です。
6か月後・・・ハリのある印象です。
術前・・・笑った状態の比較です。
6か月後・・・笑っても脂肪は浮き出ません。
また、笑った状態で違和感は見られません。
ご本人様は、「腫れが続いたり不安にもなりましたが、半年以上たった今は大満足しており、本当にやって良かったと思っています。」と喜ばれていました。
施術名:経結膜脱脂+グロースファクター
経結膜脱脂法の術前・術後に気をつけることやダウンタイムの詳細が気になりますよね?
経結膜脱脂法(目の下のたるみ取り治療)の詳細をご覧になりたい方は、次をクリックして下さい。
目の下のたるみ・クマは、グロースファクターの注射のみでも改善できることが多いです。
その場合、費用やダウンタイムが最小限で済み、脱脂後のシワを回避できることと、頬のリフトアップによる若返り効果も得られるというメリッ トがあります。
詳細をご覧になりたい方は、次をクリックして下さい。
目の下のたるみ・クマでお悩みの方は、解決方法がここできっと見つかると思います。
目の下のたるみ・クマの記事一覧をご覧になりたい方は、次をクリックして下さい。
実は、経結膜脱脂手術できれいに仕上げるためには、手術前の準備で9割が決まります。
逆に言うと、そこをクリアすれば、経結膜脱脂法で成功するのはそれほど難しいことではありません。
詳細は、以下をご覧下さい。
目の下の脱脂で失敗したり後悔したくないですよね?
当院または他院様で目の下の脱脂などを受けられ、後悔された方の分析と、そこから得られる失敗学について解説いたします。
よろしければ診断ツールをご利用ください
質問に答えていくタイプのツールです。
あなたの目の下のたるみ・クマの種類や状態、さらに適切な治療法が分かります。
次をクリックしていただくと、セルフチェックのページに移動します。
関連記事
症例写真
症例写真|脱脂+グロースファクター
症例写真|手術しない目の下のクマ治療
症例写真 | 目の下のクマ他院修正治療

















