「青クマってどんな感じか調べてみたい」と思っていますか?
ここでは、画像で青クマの特徴を解説いたします。
また、青クマとその他の種類が混ざったクマについてもご紹介いたします。
典型的な青クマは比較的分かりやすいですが、他の種類のものが混ざると、意外と分かりづらかったりします。
その場合の見分け方、画像の見方のポイントについても触れています。
ぜひ参考にしてみて下さい。
このページの内容
- 青クマの画像を屋外で斜め45度の画像も撮影して確認すると、青クマの有無が分かりやすい。
- 青クマの画像を確認する際は、下まぶただけではなく、上まぶたの内側にも注目して確認する。
- 複数のクマが混ざると、青クマがひどく見える原因になる。
青クマの画像の特徴
ここでは、青クマの画像の特徴について説明いたします。
青クマがある方は、上まぶたの内側も青くなっていることが多い
次の画像を見ていただくと、目の下だけではなく、目の上にも青い色が見られます。
目の下には凹凸や赤み、色素沈着などが混ざっていることが多いですが、目の上にはこのような他の要素は見られないことが多いです。
そのため、青クマの有無については、目の上の内側を見ると判別しやすいことが多いです。
画像を撮影する時期により濃さが変動することがある
青クマは、目の下の静脈が透けて見えている色です。
疲労や睡眠不足、むくみなどで変動が見られるという特徴があります。
そのため、青クマが濃い時期に撮影した画像で判断した方が分かりやすくなります。
青クマの画像を見る時に注意すべき点
画像が明るい場所で撮影されているか?
青クマの画像を見る際に、それが「明るいところで撮影されているか?」ということに注意した方がよいです。
例えば、洗面所などの暗めの場所で撮影された画像は、青クマに以下のような要素が混ざり、分かりづらくなることがあります。
- 凹凸の影
- 赤み
- シミ・くすみ
その理由は、暗めの場所だと、光の量が少ないため、色や形状の情報量が少なくなるためです。
次の画像の方は、青クマと目の下の凹凸・シミがある方です。
画像を暗くすると、これらの色が混ざり、分かりづらくなります。
場所で撮られた画像は、青クマ以外の各種の色が混ざり、「凹凸がひどい」状態に見えるため、驚かれる方がいます。(暗い場所での画像の注意点の詳細>>)
青クマを判別しやすくするための画像の撮影方法は?
青クマを判別しやすくするには、どのような画像で判断したらよいでしょうか?
ご自宅の中で撮影された画像は、意外と、前述のように、各種の色が混ざり、判別が付きづらいことが多いです。
そこで、以下のように撮られた画像で判断すると、分かりやすいです。
- 屋外で撮影
- 正面だけではなく斜め45度も含めた3方向で撮る
次は、青クマがある方の3方向の画像です。
青クマがある方の画像
ここでは、実際の青クマの画像をご紹介いたします。
「治療経過>>」をクリックしていただくと、治療経過の複数の画像を見ることができます。
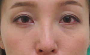
次の方の画像では、比較的分かりやすい青クマが見られます。
メイクをしてもうっすらと分かるほどです。
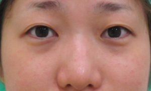
次の方の画像でも青クマが見られます。
黒クマによる目の下の凹凸や赤みもわずかにあります。
メイクをしても青い感じが多少残っています。
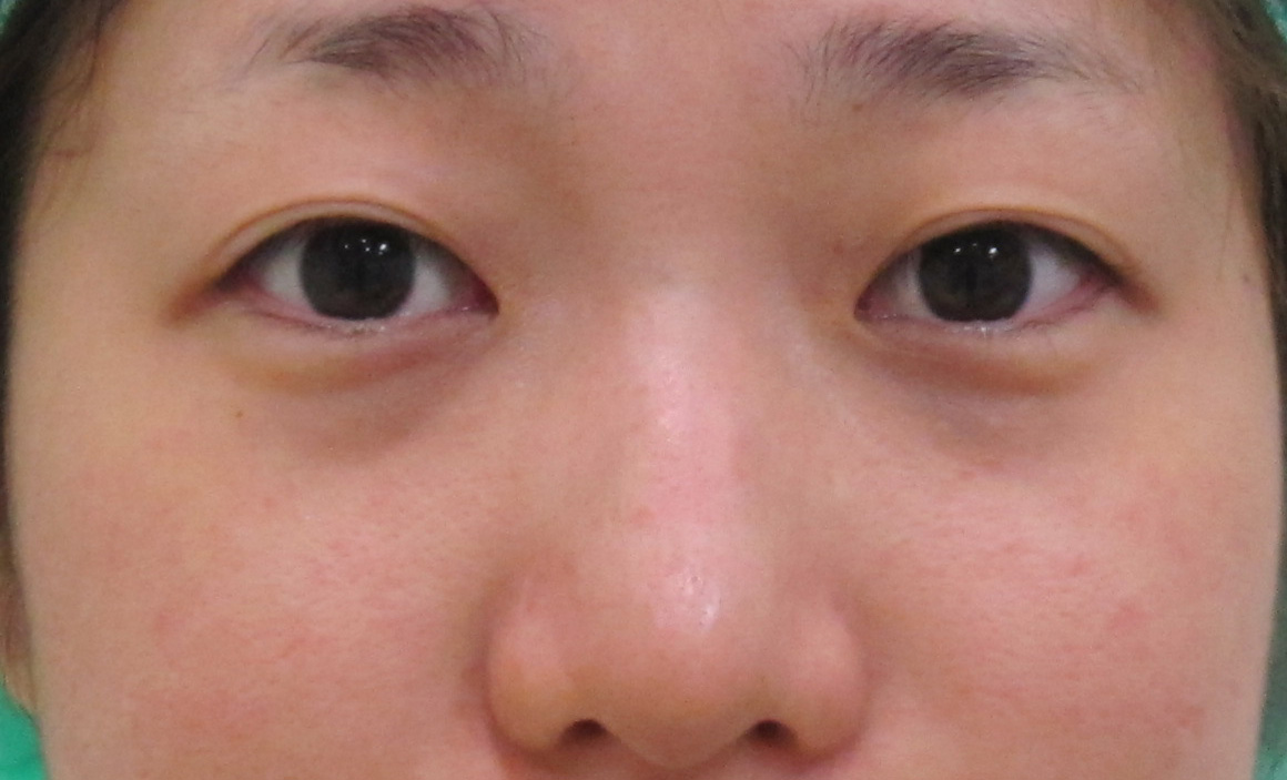
次の方の画像では、左(向かって右)のみ青クマが見られています。
その他、茶クマもあります。

治療経過>>
続いて、次の方の画像でも、青クマがあります。
黒クマに左右差があるため、青クマにも左右差があるように見えます。

治療経過>>
次の方の画像は、青クマが比較的わかりやすいと思います。
凹凸や茶クマが少ないと、逆に青クマが目立ちやすいと言えます。
次の方の画像では、比較的明瞭な青クマが見られています。
次の方の画像では、青クマが比較的濃く見えます。
このような方の場合、グロースファクターで皮膚が多少厚くなっても、青クマが残る傾向にあります。
分かりづらい青クマの画像
青クマ以外の複数の色が混ざっていると、判別しづらいことがあります。
次の方は、青クマを含む複数のクマが混ざっています。
次の方も複数の色が混ざっています。
複数のクマが混ざると、青クマがひどく見える原因になります。
上まぶたの内側を見ると、青クマがうっすらと見られます。
複数の色が混ざっている方です。
凹凸があるため、一見青い箇所が分かりづらいですが、斜めからの画像を見ていただくと、青クマがあるのが分かりやすくなると思います。
よろしければ診断ツールをご利用ください
質問に答えていくタイプのツールです。
あなたの目の下のたるみ・クマの種類や状態、さらに適切な治療法が分かります。
次をクリックしていただくと、セルフチェックのページに移動します。
青クマの関連記事
青クマの治療法・原因などの全てを知りたい方は、こちらをご覧下さい。
青クマの原因についての解説です。
青クマを1回で長期改善する方法については、こちらをご覧下さい。
ご自身で色々試してみたけど「青クマがどうしても消えない!」という方は、こちらをご覧下さい。
ネットに書かれている「青クマを自力で何とかする方法」の真偽などについて詳しく知りたい方は、こちらをご覧下さい。
「このクマは茶クマか?青クマか?」については、こちらをご覧下さい。

















