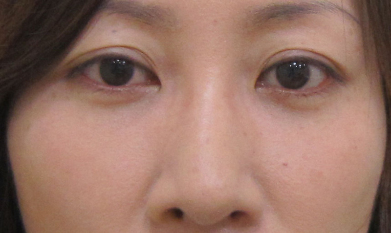
経結膜脱脂+グロースファクターによる治療を受けられたモニターの方です。
1週間後・・・左(向かって右)の涙袋に内出血によるふくらみがあります。
自然と徐々に消えていきます。
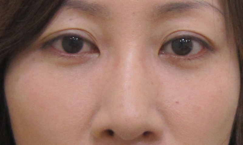
1カ月後・・・だいぶ良くなっています。
左の涙袋のふくらみも消えて、左右差は問題ありません。
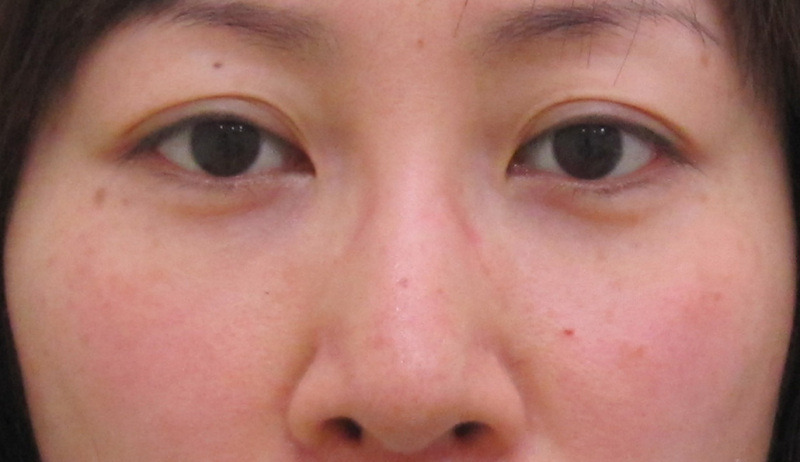
3カ月後・・・このころになると、目の下の皮膚のハリがだいぶ出てきて、くぼみは改善してきます。
きれいになっていますね。
こちらの方は、術後数ヶ月間、メラフェードによるシミ・くすみ治療も併用されています。
メラフェードにより肌のハリもアップして、グロースファクターとの相乗効果が得られています。
6カ月後・・・笑った状態でも違和感はありません。
しこりなどの問題もなく、順調な経過です。
もう一度、術前と6カ月後の比較です。
すっきりとした目元になっています。
術前・・・斜めから見た状態です。
6か月・・・黒クマと青クマが改善しています。
肌全体が明るくなっています。
施術名:経結膜脱脂+グロースファクター
施術名:メラフェード
経結膜脱脂法の術前・術後に気をつけることやダウンタイムの詳細が気になりますよね?
経結膜脱脂法(目の下のたるみ取り治療)の詳細をご覧になりたい方は、次をクリックして下さい。
目の下のたるみ・クマは、グロースファクターの注射のみでも改善できることが多いです。
その場合、費用やダウンタイムが最小限で済み、脱脂後のシワを回避できることと、頬のリフトアップによる若返り効果も得られるというメリットがあ ります。
詳細をご覧になりたい方は、次をクリックして下さい。
目の下のたるみ・クマでお悩みの方は、解決方法がここできっと見つかると思います。
目の下のたるみ・クマの記事一覧をご覧になりたい方は、次をクリックして下さい。
実は、経結膜脱脂手術できれいに仕上げるためには、手術前の準備で9割が決まります。
逆に言うと、そこをクリアすれば、経結膜脱脂法で成功するのはそれほど難しいことではありません。
詳細は、以下をご覧下さい。
目の下の脱脂で失敗したり後悔したくないですよね?
当院または他院様で目の下の脱脂などを受けられ、後悔された方の分析と、そこから得られる失敗学について解説いたします。
よろしければ診断ツールをご利用ください
質問に答えていくタイプのツールです。
あなたの目の下のたるみ・クマの種類や状態、さらに適切な治療法が分かります。
次をクリックしていただくと、セルフチェックのページに移動します。
関連記事
症例写真
症例写真|脱脂+グロースファクター
症例写真|手術しない目の下のクマ治療
症例写真 | 目の下のクマ他院修正治療















