涙袋の老化の症状と改善方法を知りたいですか?
涙袋は、まつ毛の直下にあります。
涙袋(涙堂)は、加齢により以下の変化が起こります。
- 盛り上がりが減る
- シワができる
- 目の下のふくらみ(目袋)により不明瞭になる
ここでは、以下のようなお悩みにお答えします。
解消法はありませんか?
こちらをご覧になっていただき、きれいな目元を取り戻されるきっかけになれば幸いです。
ちなみに、目の下のふくらみ(目袋)・黒クマの原因や解消法をご覧になりたい方は以下をご覧下さい。
目次
涙袋の3つの老化症状
盛り上がりが減る
涙袋は、目の周りの眼輪筋(がんりんきん)という筋肉の一部が盛り上がったものです。
盛り上がり方には個人差があり、また左右差があったりします。
目の周りの筋肉の量は、年齢とともに減ってきます。
そのため、涙袋の盛り上がりも徐々に減る傾向があります。
これは、後述の目の下の脂肪が出てくるとより顕著になります。
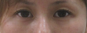
30代の方の涙袋の例

40代の方の涙袋の例

60代の方の涙袋の例

こちらの方のように、皮膚のたるみにより、外側の輪郭がぼやけることがあります。
70代の方の涙袋の例

眼輪筋の隆起の減少に対する対処法
ヒアルロン酸注入により盛り上げる方法がありますが、数か月しか持たない上、皮膚が薄いと青白く見えてしまうリスクもあります。
そこで、眼輪筋とレーニングによる方法も考えられますが、こちらは継続が必要なため、かなり根気が必要です。
シワができる
皮膚は紫外線や加齢により主成分のコラーゲンが減ることで薄くなります。
涙袋の上の皮膚は、筋肉の盛り上がりによりぷっくりとなっている場合は、引き伸ばされてピーンと張っていますが、老化による涙袋の盛り上がりの低下や皮膚が薄くなってくることで、小ジワが寄るようになります。
つまり、涙袋の上にシワ・小ジワができるようになります。
実際は、最初は細かい小ジワができ、繰り返し動かすうちに深いシワになります。
深いシワは放置すると折れ癖になります。
涙袋上のシワの対処法
涙袋にできた小ジワ・シワにはメラフェードによる治療がお勧めです。
こちらは、ご自宅用の塗り薬で、表皮のコラーゲンを増やす効果があります。
目の下のふくらみ(目袋)により不明瞭になる
涙袋は、目の下の脂肪(眼窩脂肪)が出てくることによる目の下のたるみ・ふくらみ・目袋の影響を受けます。
涙袋は、ふくらみに埋もれて不明瞭になることがあります。
目の下のたるみ・目袋を除去することで涙袋を出す方法
涙袋は、ふくらみに埋もれることがあり、その場合の涙袋の作り方としては、ヒアルロン酸を入れるのではなく、ふくらみを取ると涙袋がきれいに出てきます。
目の下のクマは、目の下の脂肪によるふくらみ(目袋)が原因です。
クマを放置すると、徐々に脂肪が出てくるにつれ、涙袋が埋もれてきます。
②以上の中等度の状態になると、涙袋が埋もれてきます。
「昔は涙袋があった」という方もいれば、目の下のふくらみがかなり昔からあるために、「元々涙袋がなかった」という方もいます。
例えば、次の方は、涙袋がクマの影響で見えづらくなっています。
「目袋」に涙袋が埋もれている状態です。
脱脂により涙袋は復活します。

目の下の脂肪を取ることで、埋もれていた涙袋が出てきました。
詳細な経過>>
よろしければ診断ツールをご利用ください
質問に答えていくタイプのツールです。
あなたの目の下のたるみ・クマの種類や状態、さらに適切な治療法が分かります。
次をクリックしていただくと、セルフチェックのページに移動します。
関連記事
涙袋とクマの関係は?【画像で詳しく解説】
【実例解説】 半永久的!美容整形による涙袋の作り方・出し方
涙袋とは何でしょうか?【目の下の専門クリニックが画像で解説】
知らないと損!ヒアルロン酸で涙袋を作ることの5つのデメリット
笑った時だけ涙袋が出る症状について | 原因と解消法
脱脂希望ですが、涙袋にヒアルロン酸を入れていても手術は可能ですか?
「グロースファクター注入療法」で涙袋を作ることはできますか?
【よくあるご質問】左右の涙袋の大きさが同じになるように脱脂することはできませんか?
【実例で解説】経結膜脱脂法により涙袋を出すことはできるのか?
【よくあるご質問】脱脂後、涙袋が出てくるかどうか分りますか?
目の下にふくらみがあり涙袋がありません。ヒアルロン酸で作れますか?
グロースファクターにより涙袋を目立たなくさせることは可能でしょうか?









