①目の下のたるみ・クマ治療(経結膜脱脂+グロースファクター注入)、
②メラフェードによるシミ・くすみ治療
を受けられたモニターの方です。
目の下のふくらみ(目の下の脂肪)とくぼみが数年前から気になられていたそうです。
他院様でも、目の下の相談をされたことがあるとのことでした。
脂肪注入も勧められたそうです。
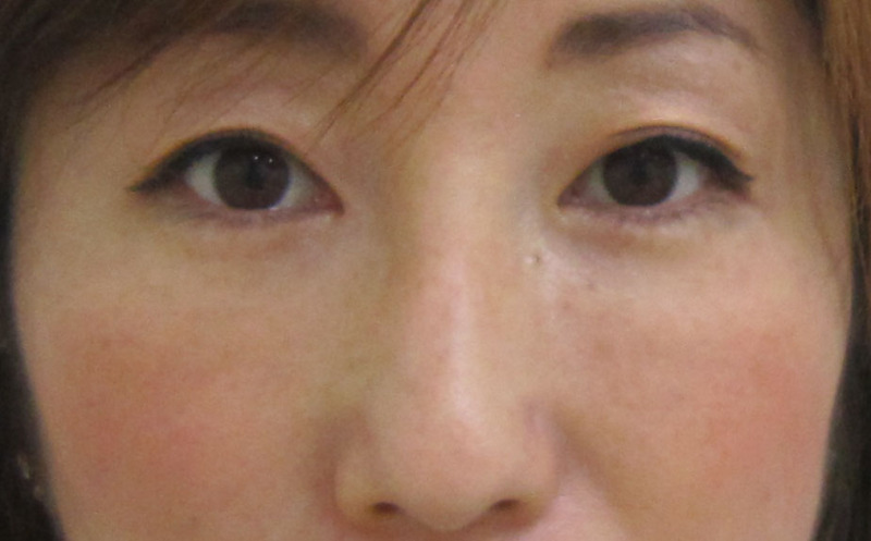
術前・・・目の下にふくらみ(目の下の脂肪)+くぼみがあります。
診察上の所見・色で分類したクマの種類としては、以下の通りです。
1.脂肪の量(進行度)としては中等度です。
2.ふくらみの下にはハの字状にくぼみがあります。(影クマ・黒クマ)
3.くぼみの位置にはシミ(茶クマ)はわずかにあります。
目の下の脂肪の量は、左右差(右>左)があります。
昔日焼けをされていたとのことです。
それによる皮膚の弾力低下が見られるため、グロースファクターの追加注入の可能性があると考えられました。
メラフェードによるシミ・くすみ治療も開始されています。
1週間後・・・順調な経過です。
右側のみ赤く内出血が出たそうです。
腫れは、周りから気づかれない程度だったとのことでした。
術中は、痛みがおありだったそうです。
メラフェードを使用されたことにより、効果を実感されているとのことでした。
1カ月後・・・・・・問題なく経過しています。
メラフェードで皮むけが起きたため、使用を控えていらっしゃったそうです。
メラフェードは、赤み・乾燥・ヒリヒリ感・皮膚がポロポロ落ちるなど(まれにニキビ悪化)の副作用があります。
これは、効いているという証拠ですが、辛ければ使用頻度を減らすことで対処可能です。
また、部分的に塗布範囲を避けることで継続するという方法もあります。
3カ月後・・・順調な経過です。
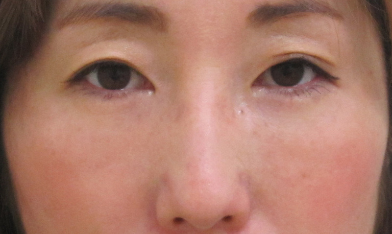
6カ月後・・・きれいになっていますね。
6か月間でメラフェードを、ほとんど全て使用されました。
シミ・くすみも改善し、肌全体が明るくなっています。
メラフェードによる効果が出ています。
術前・・・斜めから見た状態です。
6カ月後・・・クマもくすみも取れています。
術前
6カ月後・・・ふくらみのところにあったシミがきれいになることで、術後の仕上がりがさらに良くなっています。
目の下にシミのある方は、脱脂+グロースファクターのみでは、凹凸感が消えても「茶クマ」が残ることがあります。
その改善には、メラフェードが有効です。
小ジワ改善効果もたるめ、当院ではフォトフェイシャルやレーザーなどよりもメラフェードを選ばれる方が多いです。
メラフェードTには、トレチノインという成分が入っています。
トレチノインは、皮膚の代謝を上げ、古い皮膚を除去して、新しい肌に入れ替える作用があります。
メラフェードの副作用として、赤み・乾燥・ヒリヒリ感などの炎症症状・皮膚がポロポロ落ちる最初の数日で起こることがあります。
1週間~数週間程度で治まることがほとんどです。
薄めの濃度から開始し、徐々に濃くしていくと、最小限にできます。
今回の方は、当院受診以前は、コットンでお肌を擦るように化粧水を付けられていたそうです。
新しい生まれたての肌は刺激を受けやすく、ちょっとした摩擦が炎症後色素沈着や肝斑が悪化する原因となります。
その後は、極力肌への刺激を控えていただくと、仮に色素沈着が起こったとしても自然に落ち着いてきます。
経結膜脱脂法の術前・術後に気をつけることやダウンタイムの詳細が気になりますよね?
経結膜脱脂法(目の下のたるみ取り治療)の詳細をご覧になりたい方は、次をクリックして下さい。
目の下のたるみ・クマは、グロースファクターの注射のみでも改善できることが多いです。
その場合、費用やダウンタイムが最小限で済み、脱脂後のシワを回避できることと、頬のリフトアップによる若返り効果も得られるというメリッ トがあります。
詳細をご覧になりたい方は、次をクリックして下さい。
目の下のたるみ・クマでお悩みの方は、解決方法がここできっと見つかると思います。
目の下のたるみ・クマの記事一覧をご覧になりたい方は、次をクリックして下さい。
実は、経結膜脱脂手術できれいに仕上げるためには、手術前の準備で9割が決まります。
逆に言うと、そこをクリアすれば、経結膜脱脂法で成功するのはそれほど難しいことではありません。
詳細は、以下をご覧下さい。
目の下の脱脂で失敗したり後悔したくないですよね?
当院または他院様で目の下の脱脂などを受けられ、後悔された方の分析と、そこから得られる失敗学について解説いたします。
よろしければ診断ツールをご利用ください
質問に答えていくタイプのツールです。
あなたの目の下のたるみ・クマの種類や状態、さらに適切な治療法が分かります。
次をクリックしていただくと、セルフチェックのページに移動します。
関連記事
症例写真
症例写真|脱脂+グロースファクター
症例写真|手術しない目の下のクマ治療
症例写真 | 目の下のクマ他院修正治療















