0120-735-538
03-5491-5588

電話受付: 休止中(メールのみ)

診療時間:10〜19時(完全予約制)

  • 症例写真

50代女性 目の下のたるみ・クマ治療(経結膜脱脂+グロースファクター)+シミ治療 6カ月後の経過

①目の下のたるみ・クマ治療(経結膜脱脂+グロースファクター)、

メラフェードによるシミ・くすみ治療

を受けられたモニターの方です。

 

 
1

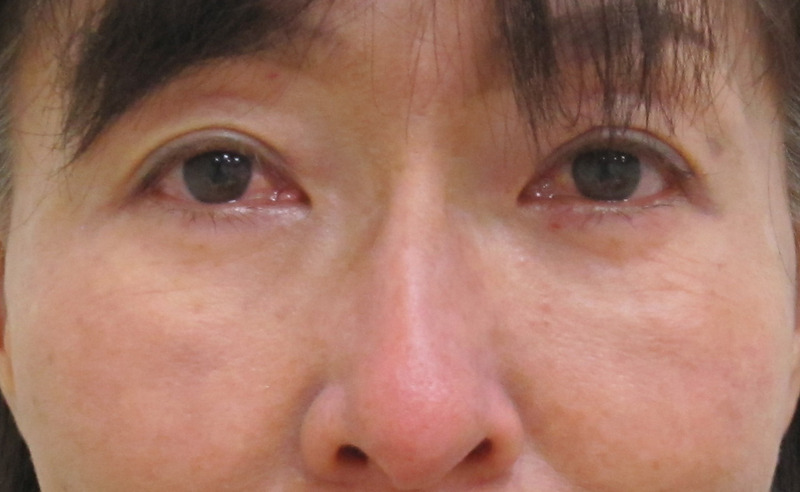
術前・・・診察上の所見・色で分類したクマの種類としては、以下の通りです。

1.涙袋目の下の脂肪(眼窩脂肪)の突出によりほとんど不明瞭になっています。

2.脂肪の量(進行度) としては重度です。

3.ふくらみのところには赤み (赤クマはありません。

4.ふくらみの下にはハの字状にくぼみ があります。影クマ・黒クマ

5.くぼみの位置にはシミ・くすみがあります。(茶クマ

6.頬 はたるみにより扁平~ややくぼんだ状態になっています。

メラフェードは手術後翌日より使用開始されました。

 

   
2

1週間後・・・グロースファクターの注射による皮下出血の跡があります。

 

 
3

1カ月後・・・徐々に腫れも引いてきています。

メラフェードによる美白効果も出てきています。

 

 
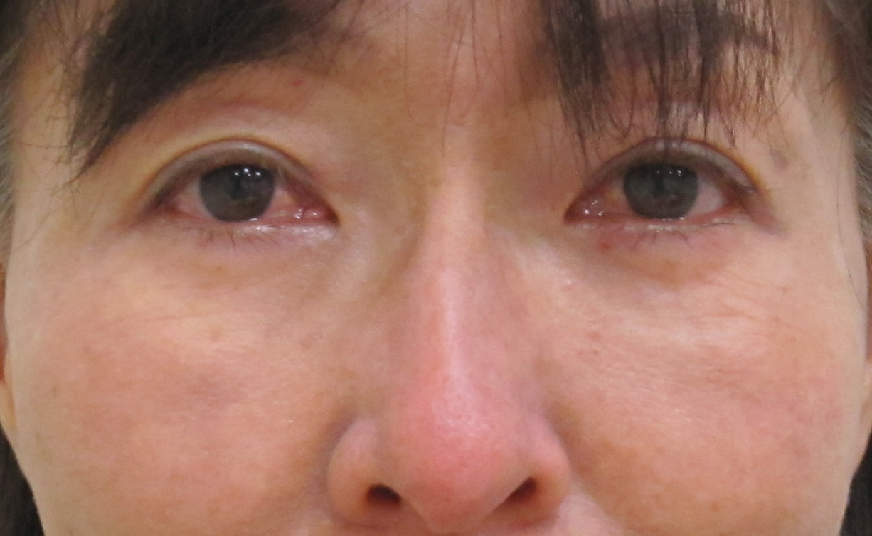
5

6カ月後・・・シミも取れてきれいな印象になっています。
ただし、わずかな頬のたるみが残っているため、本来であれば、頬の治療までされた方がきれいに仕上がると考えます。

 

 
6

術前・・・茶クマは斜めから見ると判断しやすいです。

 

 
7

6カ月後・・・きれいになっていますね。

 

 
8

術前…反対側です。

 

 
9

1週間後

 

 
a

6カ月後・・・微妙なくすみが残っています。

もうしばらくメラフェードを継続するとよいかもしれません。

 

 
b

術前・・・笑った状態の比較です。 

 

 
c

6カ月後・・・笑っても違和感はありません。

 

施術名:経結膜脱脂+グロースファクター 

施術名:メラフェード

 

 


経結膜脱脂法の術前・術後に気をつけることやダウンタイムの詳細が気になりますよね?
経結膜脱脂法(目の下のたるみ取り治療)の詳細をご覧になりたい方は、次をクリックして下さい。


目の下のたるみ・クマは、グロースファクターの注射のみでも改善できることが多いです。
その場合、費用やダウンタイムが最小限で済み、脱脂後のシワを回避できることと、頬のリフトアップによる若返り効果も得られると いうメリットがあります。
詳細をご覧になりたい方は、次をクリックして下さい。


目の下のたるみ・クマでお悩みの方は、解決方法がここできっと見つかると思います。
目の下のたるみ・クマの記事一覧をご覧になりたい方は、次をクリックして下さい。


実は、経結膜脱脂手術できれいに仕上げるためには、手術前の準備で9割が決まります。
逆に言うと、そこをクリアすれば、経結膜脱脂法で成功するのはそれほど難しいことではありません。
詳細は、以下をご覧下さい。


目の下の脱脂で失敗したり後悔したくないですよね?
当院または他院様で目の下の脱脂などを受けられ、後悔された方の分析と、そこから得られる失敗学について解説いたします。

よろしければ診断ツールをご利用ください

質問に答えていくタイプのツールです。
あなたの目の下のたるみ・クマの種類や状態、さらに適切な治療法が分かります。
次をクリックしていただくと、セルフチェックのページに移動します。

目の下のたるみクマ自動診断

 

関連記事

症例写真

症例写真|脱脂+グロースファクター 
症例写真|手術しない目の下のクマ治療 
症例写真 | 目の下のクマ他院修正治療


 

【直筆】当院に寄せられた真実の物語

 

 

 

 

 

「このクリニックに興味があるけど、実際はどうなんだろう?」

色々ご不安な方も多いと思います。

そこで、実際に治療を受けられた方々による直筆の資料(症例写真付き)をご覧になりませんか?

主な内容:
・痛み・内出血・腫れ
・お仕事を休まれた期間
・結果の満足度 など


ぜひ以下をクリックしてご覧下さい!


資料を読む>>