①目の下のたるみ・クマ治療(目の下のグロースファクター後に経結膜脱脂+グロースファクター)、
②顔全体のシワ・たるみ治療(ほうれい線・頬・口角のグロースファクター)、
を受けられたモニターの方です。
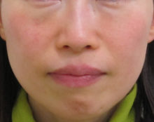
施術前・・・診察上の所見としては以下の通りです。
1.涙袋 は目の下の脂肪(眼窩脂肪)の突出により比較的不明瞭になっています。
2.脂肪の量(進行度) としては中等度です。
3.ふくらみのところには赤み (赤クマ)があります。
4.ふくらみの下にはハの字状にくぼみ があります。(影クマ・黒クマ)
5.くぼみの位置にはごくわずかにシミがあります。(茶クマ)
目の下のクマに関しては、まずグロースファクターのみによる施術を希望されました。
その他、頬、法令線、口角のグロースファクターの施術も受けられています。
6か月後・・・3ヵ月後の時点で目の下のグロースファクターの追加投与を行っています。
目の下を含め、全体的にハリが出ています。

1年2ヵ月後(体重が増えられたとのことです)・・・この時点で目の下の脂肪によるふくらみが気になるとのことで、経結膜脱脂+グロースファクターによるクマ治療を追加で受けられました。

脱脂後1週間・・・この時点では腫れがあります。

脱脂後1か月・・・この時点でメラフェードによるシミ・くすみ治療を開始されました。

脱脂後6ヶ月・・・目の下がきれいになっていますね。

グロースファクター治療前・・・笑った状態の比較です。

脱脂後6ヶ月・・・笑っても違和感はありません。
グロースファクター治療前・・・斜めから見た状態です。

1年2か月後(脱脂前)・・・シワ・たるみ・クマが改善しています。

脱脂後6か月・・・クマがさらに改善してます。
くすみもメラフェードによりきれいになっています。

グロースファクター治療前・・・反対側です。

1年2か月後(脱脂前)

脱脂後6か月・・・自然な仕上がりですね。
脂肪の量(進行度) が中等度以上の方は、グロースファクターによる目の下のクマ治療を行う場合、目の下+頬まで行ったほうがきれいになります。
目の下のみですと範囲が足りないことが多いです。
また、中等度以上の方でも脂肪が多めの方は経結膜脱脂をされた方が明らかにきれいになります。
こちらのモニターの方のように、一度グロースファクターのみで様子を見てから、後で脱脂を行うことも可能です。
施術名:経結膜脱脂+グロースファクター
施術名:グロースファクター注入療法
施術名:メラフェード
経結膜脱脂法の術前・術後に気をつけることやダウンタイムの詳細が気になりますよね?
経結膜脱脂法(目の下のたるみ取り治療)の詳細をご覧になりたい方は、次をクリックして下さい。
目の下のたるみ・クマは、グロースファクターの注射のみでも改善できることが多いです。
その場合、費用やダウンタイムが最小限で済み、脱脂後のシワを回避できることと、頬のリフトアップによる若返り効果も得られると いうメリットがあります。
詳細をご覧になりたい方は、次をクリックして下さい。
目の下のたるみ・クマでお悩みの方は、解決方法がここできっと見つかると思います。
目の下のたるみ・クマの記事一覧をご覧になりたい方は、次をクリックして下さい。
実は、経結膜脱脂手術できれいに仕上げるためには、手術前の準備で9割が決まります。
逆に言うと、そこをクリアすれば、経結膜脱脂法で成功するのはそれほど難しいことではありません。
詳細は、以下をご覧下さい。
目の下の脱脂で失敗したり後悔したくないですよね?
当院または他院様で目の下の脱脂などを受けられ、後悔された方の分析と、そこから得られる失敗学について解説いたします。
よろしければ診断ツールをご利用ください
質問に答えていくタイプのツールです。
あなたの目の下のたるみ・クマの種類や状態、さらに適切な治療法が分かります。
次をクリックしていただくと、セルフチェックのページに移動します。
関連記事
症例写真
症例写真|脱脂+グロースファクター
症例写真|手術しない目の下のクマ治療
症例写真 | 目の下のクマ他院修正治療









