経結膜脱脂+グロースファクターによる目の下のたるみ・クマ治療を受けられたモニターの方です。
20代の頃から、目の下のクマが気になられ始めたそうです。
年齢を重ねるごとに悪化しているとのことでした。
また、頬外側(フェイスライン)のたるみが気になられていました。
他院様で涙袋のヒアルロン酸治療を受けられた際に、目の下にも投与されたものの、効果を感じることができなかったとのことでした。
その他、脱脂と脂肪注入についてもご相談されていたそうです。
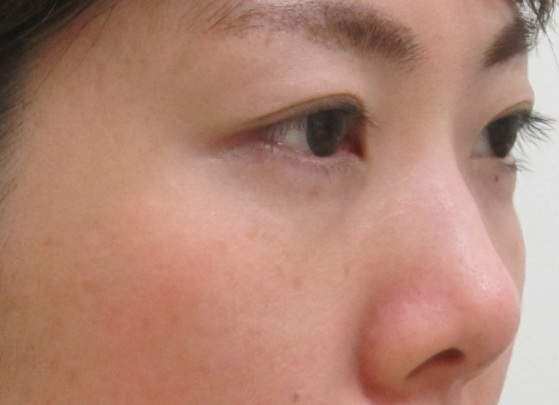
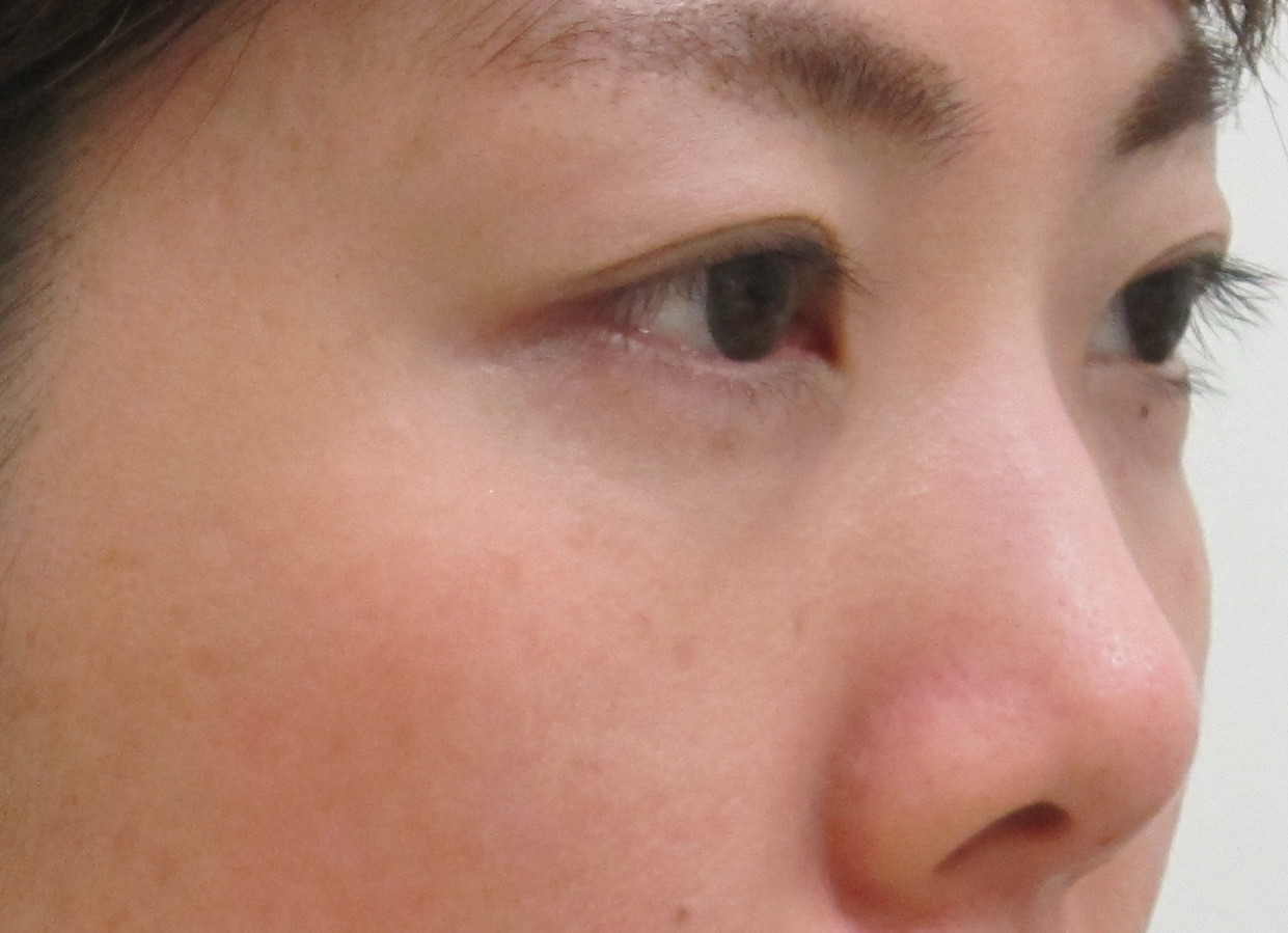
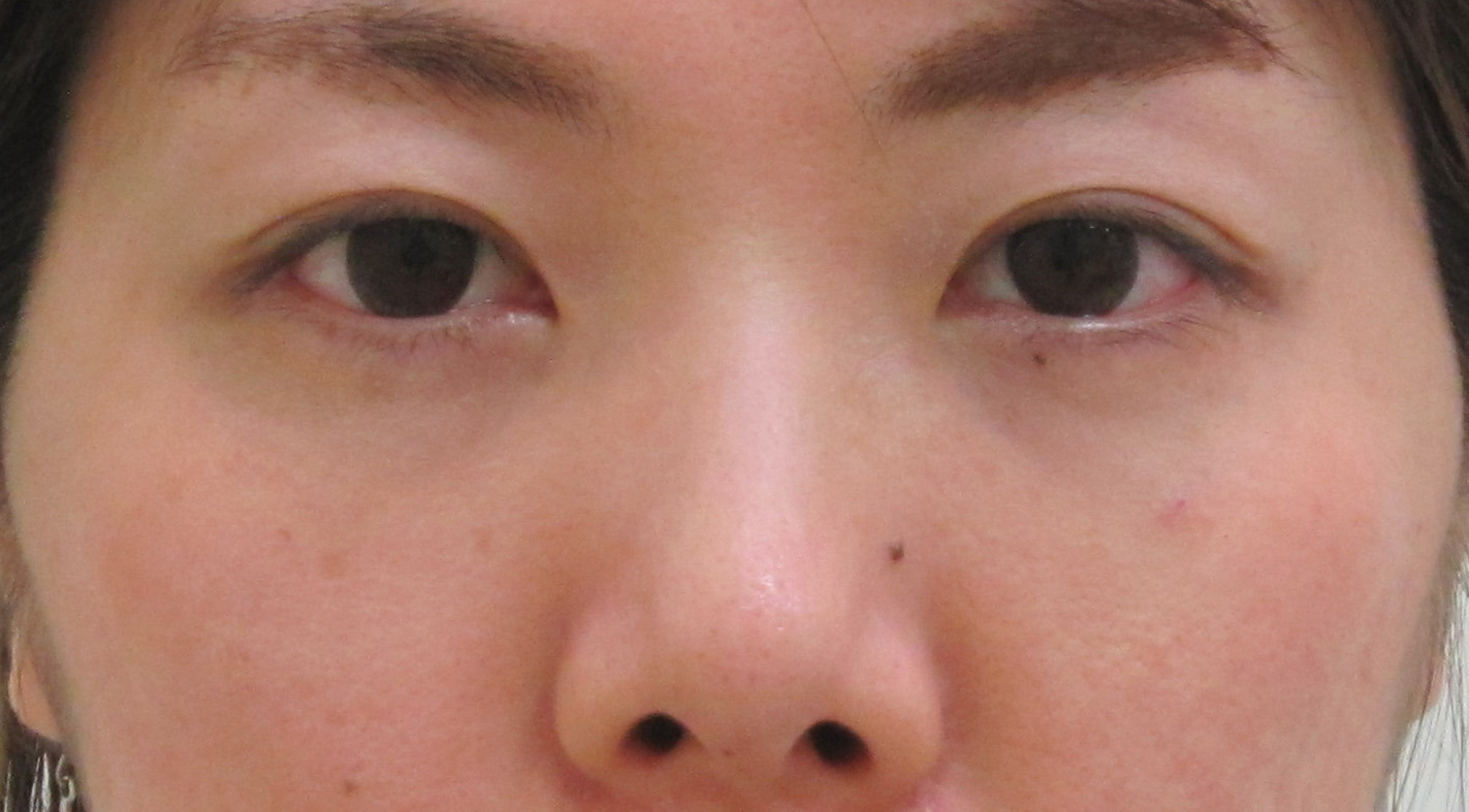
術前・・・診察上の所見・色で分類したクマの種類としては、以下の通りです。
1.涙袋 は目の下の脂肪(眼窩脂肪)の突出により左右ともに多少不明瞭になっています。
2.脂肪の量(進行度) としては中等度です。
3.ふくらみ(目袋)のところにはごくわずかに赤み (赤クマ)があります。
4.ふくらみの下にはハの字状にくぼみ があります。(影クマ・黒クマ)
5.くぼみの位置にはシミがあります。(茶クマ)
6.ふくらみには青クマとの重複により一部紫がかっているところもあります。(紫クマ)
術直後・・・頬が赤くなっているのは冷やしたためで一時的なものです。
右目の下には、グロースファクターの注射による内出血の跡があります。
術中の痛みは、鈍痛のみだったそうです。
腫れは、周りから気づかれない程度だったそうです。
1週間後・・・印象としては、順調な経過ですが、右目の下に内出血の残りがあります。
内出血は、最初赤く出て、途中から黄色に変わったそうです。
内出血はグロースファクターの注射時のみ出ました。
手術の際には見られませんでした。
周りから気づかれない程度の腫れだったそうです。
1カ月後・・・徐々にグロースファクターが効果を発揮し出します。
目の下の内側付近に、少しくぼみが残っています。
グロースファクターの最終結果が出るまで半年程度かかるので、しばらく様子を見ていただきます。
3カ月後・・・だいぶ良くなってきています。
術前からあった青クマが残っています。
その他、小ジワがごく一部見られます。
保湿剤代わりに、リップクリームを目の下に塗り、対処されているとのことでした。
この時点で、左側のみ目の下のグロースファクターの追加投与を行いました。
6カ月後・・・すっきりとした印象になりました。
3か月前に追加投与を行ったことで、凹凸が目立たなくなり、治療前と比較するとかなり改善した印象です。
目の下には、うっすらとシミ・くすみ(茶クマ)が見られます。
シミ治療は今回されていません。
また、青色~紫色は多少残っています。
赤クマも改善しています。
6カ月後・・・自然な仕上がりです。
術前・・・反対側です。
6カ月後・・・きれいになっていますね。
「疲れた印象がなくなった」と喜ばれていました。
術前・・・笑った状態の比較です。
6カ月後・・・笑っても違和感はありません。
もちろん、触ってもしこりなどはありません。
半年後の時点で、夜間のみ涙袋の小ジワが気になられるとのことでした。
このような場合は、メラフェードによる治療をお勧めしております。
メラフェード(塗り薬)は、皮膚表面の浅い層のコラーゲンを増やすことで、小ジワ改善効果が期待できます。
その他、こちらの方より、術前に「ふくらみはどこまで取りますか?くぼまないでしょうか?」とご質問をいただきました。
脂肪を取る量は、飛び出している余分な部分だけです。
また、「経結膜脱脂法(脱脂)のみ」ですと、目の下にくぼみが残ることが多いため、経結膜脱脂法だけを行うことは当院では通常行いません。
当院では、目の下のくぼみ治療として、グロースファクターを皮膚の外から注入します。
また、「顔の筋トレは有効ですか?」とご質問をいただきました。
表情筋トレーニング・顔ヨガで、顔に思い切り力を入れたりする方法がありますが、注意点として、強く動かし過ぎるとシワがどんどん深くなるというデメリットがあります。
筋肉を鍛え過ぎると(特に咬筋)、エラが張って、横に顔が広くなるということも起こり得ます。
その他、生活習慣について、紫外線対策や血糖値を上げないような食事をお勧めいたしました。
最後に、「デスクワークが多いと目の下のたるみが悪化しますか?」とご質問をいただきました。
特にそのようなことはありません。
施術名:経結膜脱脂+グロースファクター
経結膜脱脂法の術前・術後に気をつけることやダウンタイムの詳細が気になりますよね?
経結膜脱脂法(目の下のたるみ取り治療)の詳細をご覧になりたい方は、次をクリックして下さい。
目の下のたるみ・クマは、グロースファクターの注射のみでも改善できることが多いです。
その場合、費用やダウンタイムが最小限で済み、脱脂後のシワを回避できることと、頬のリフトアップによる若返り効果も得られると いうメリットがあります。
詳細をご覧になりたい方は、次をクリックして下さい。
目の下のたるみ・クマでお悩みの方は、解決方法がここできっと見つかると思います。
目の下のたるみ・クマの記事一覧をご覧になりたい方は、次をクリックして下さい。
実は、経結膜脱脂手術できれいに仕上げるためには、手術前の準備で9割が決まります。
逆に言うと、そこをクリアすれば、経結膜脱脂法で成功するのはそれほど難しいことではありません。
詳細は、以下をご覧下さい。
目の下の脱脂で失敗したり後悔したくないですよね?
当院または他院様で目の下の脱脂などを受けられ、後悔された方の分析と、そこから得られる失敗学について解説いたします。
よろしければ診断ツールをご利用ください
質問に答えていくタイプのツールです。
あなたの目の下のたるみ・クマの種類や状態、さらに適切な治療法が分かります。
次をクリックしていただくと、セルフチェックのページに移動します。
関連記事
症例写真
症例写真|脱脂+グロースファクター
症例写真|手術しない目の下のクマ治療
症例写真 | 目の下のクマ他院修正治療


















