①経結膜脱脂+グロースファクターによる目の下のたるみ・クマ治療、
②メラフェードによるシミ・くすみ治療を受けられたモニターの方です。
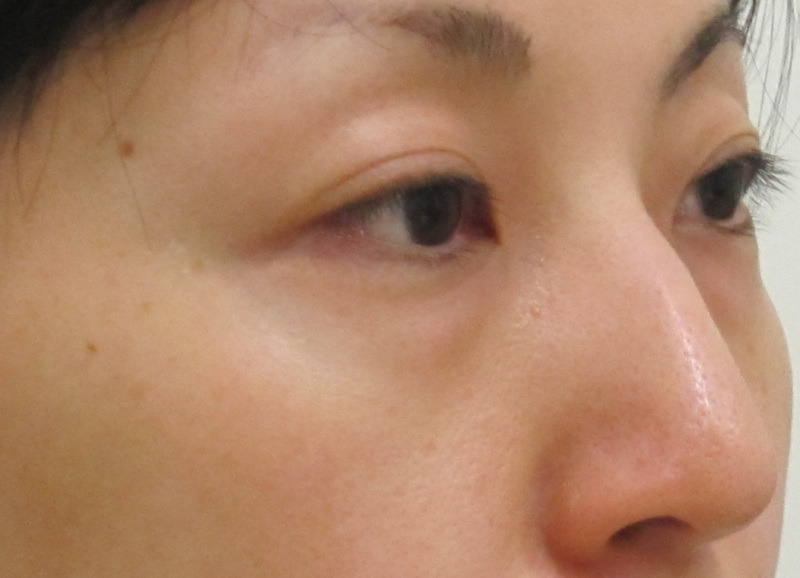
術前・・・診察上の所見および色で分類したクマの種類としては、以下の通りです。
1.涙袋 は目の下の脂肪(眼窩脂肪)の突出により左右ともにやや不明瞭になっています。
2.ふくらみのところには赤み (赤クマ)があります。
3.脂肪の量(進行度) としては中等度です。
4.ふくらみの下にはハの字状にくぼみ があります。(影クマ・黒クマ)
5.くぼみの位置にくすみ(茶クマ)があります。
6.青クマとの重複により一部紫がかっているところもあります。(紫クマ)
術直後・・・赤くなっているのは冷やしたためで、一時的なものです。
ポツポツとグロースファクターの注射の跡がわずかにあります。
術直後はほとんど腫れはありません。
1週間後・・・少しまだ腫れがあります。
残った茶クマに対して、この時点でメラフェードを開始されました。
6か月後・・・シミも改善しています。
2年7か月後・・・目の下はいい状態を維持されています。
また、この間に目の上のくぼみ治療(グロースファクター)も行われています。
術前・・・笑った状態の比較です。
術前は、笑うと多少脂肪が浮き上がっていました。
6か月後・・・笑った状態でも違和感はありません。
2年7か月後・・・笑っても脂肪が浮き上がりません。
術前・・・斜めから見た状態です。
1週間後・・・まだむくみがあります。
1か月後・・・順調な経過です。
斜めから見ると、目の下が茶色になっているのが分かります。
6か月後・・・メラフェード+グロースファクターの相乗効果により肌のハリも出ています。
2年7か月後・・・きれいな状態を維持されています。
目の上も改善したことで、目元の印象がすっきりとした感じになりました。
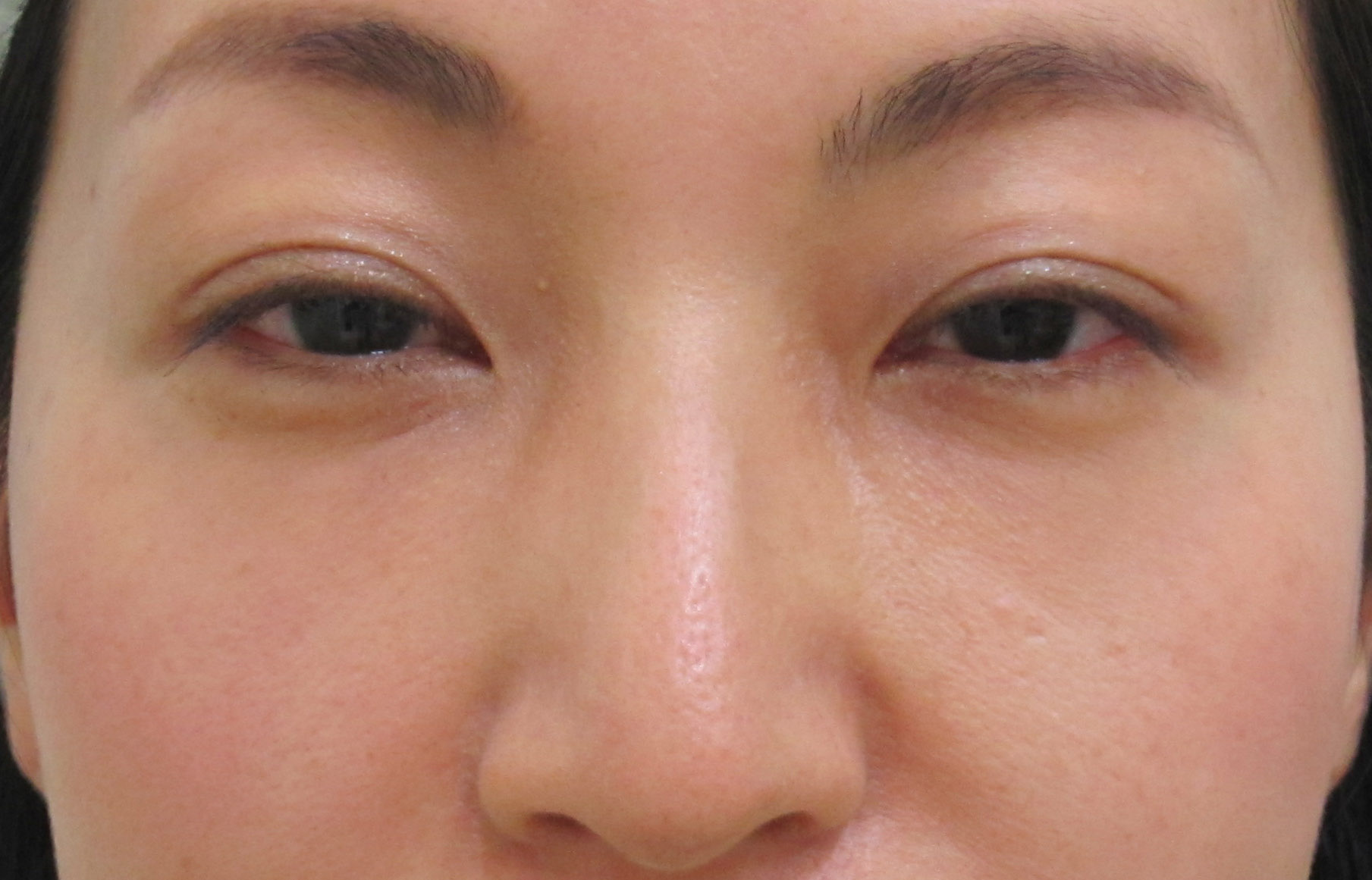
術前・・・反対側です。
6か月後・・・きれいになっていますね。
2年7か月後・・・目の下は1回の治療で、ずっときれいな状態を維持されています。
その後の経過です。
5年5か月後・・・その後もいい状態を維持されています。
5年5か月後・・・斜めの状態です。
5年5か月後・・・笑っても違和感はありません。
施術名:経結膜脱脂+グロースファクター
施術名:メラフェード
経結膜脱脂法の術前・術後に気をつけることやダウンタイムの詳細が気になりますよね?
経結膜脱脂法(目の下のたるみ取り治療)の詳細をご覧になりたい方は、次をクリックして下さい。
目の下のたるみ・クマは、グロースファクターの注射のみでも改善できることが多いです。
その場合、費用やダウンタイムが最小限で済み、脱脂後のシワを回避できることと、頬のリフトアップによる若返り効果も得られるというメリットがあります。
詳細をご覧になりたい方は、次をクリックして下さい。
目の下のたるみ・クマでお悩みの方は、解決方法がここできっと見つかると思います。
目の下のたるみ・クマの記事一覧をご覧になりたい方は、次をクリックして下さい。
実は、経結膜脱脂手術できれいに仕上げるためには、手術前の準備で9割が決まります。
逆に言うと、そこをクリアすれば、経結膜脱脂法で成功するのはそれほど難しいことではありません。
詳細は、以下をご覧下さい。
目の下の脱脂で失敗したり後悔したくないですよね?
当院または他院様で目の下の脱脂などを受けられ、後悔された方の分析と、そこから得られる失敗学について解説いたします。
よろしければ診断ツールをご利用ください
質問に答えていくタイプのツールです。
あなたの目の下のたるみ・クマの種類や状態、さらに適切な治療法が分かります。
次をクリックしていただくと、セルフチェックのページに移動します。
目の下のたるみ・クマの関連記事
症例写真
症例写真|脱脂+グロースファクター
症例写真|手術しない目の下のクマ治療
症例写真 | 目の下のクマ他院修正治療

























