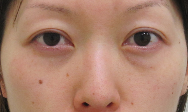
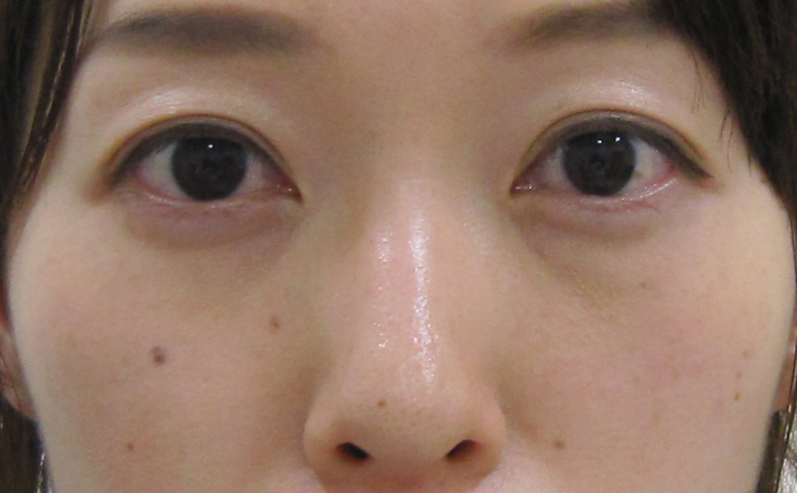
目の下のたるみ・クマ治療(経結膜脱脂法およびグロースファクター)を受けられたモニターの方です。
術前・・・診察上の所見・色で分類したクマの種類としては、以下の通りです。
1.涙袋は目の下の脂肪(眼窩脂肪)の突出により左右ともにわずかに不明瞭になっています。
2.ふくらみのところには赤み(赤クマ)があります。
3.脂肪の量(進行度としては中等度です。
4.ふくらみの下にはハの字状にくぼみがあります。(影クマ・黒クマ)
5.くぼみの位置にシミ(茶クマ)はほとんど見られません。
6.一部青みがかっているところもあります。(青クマ)
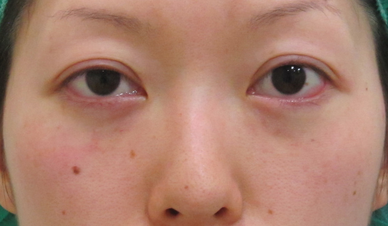
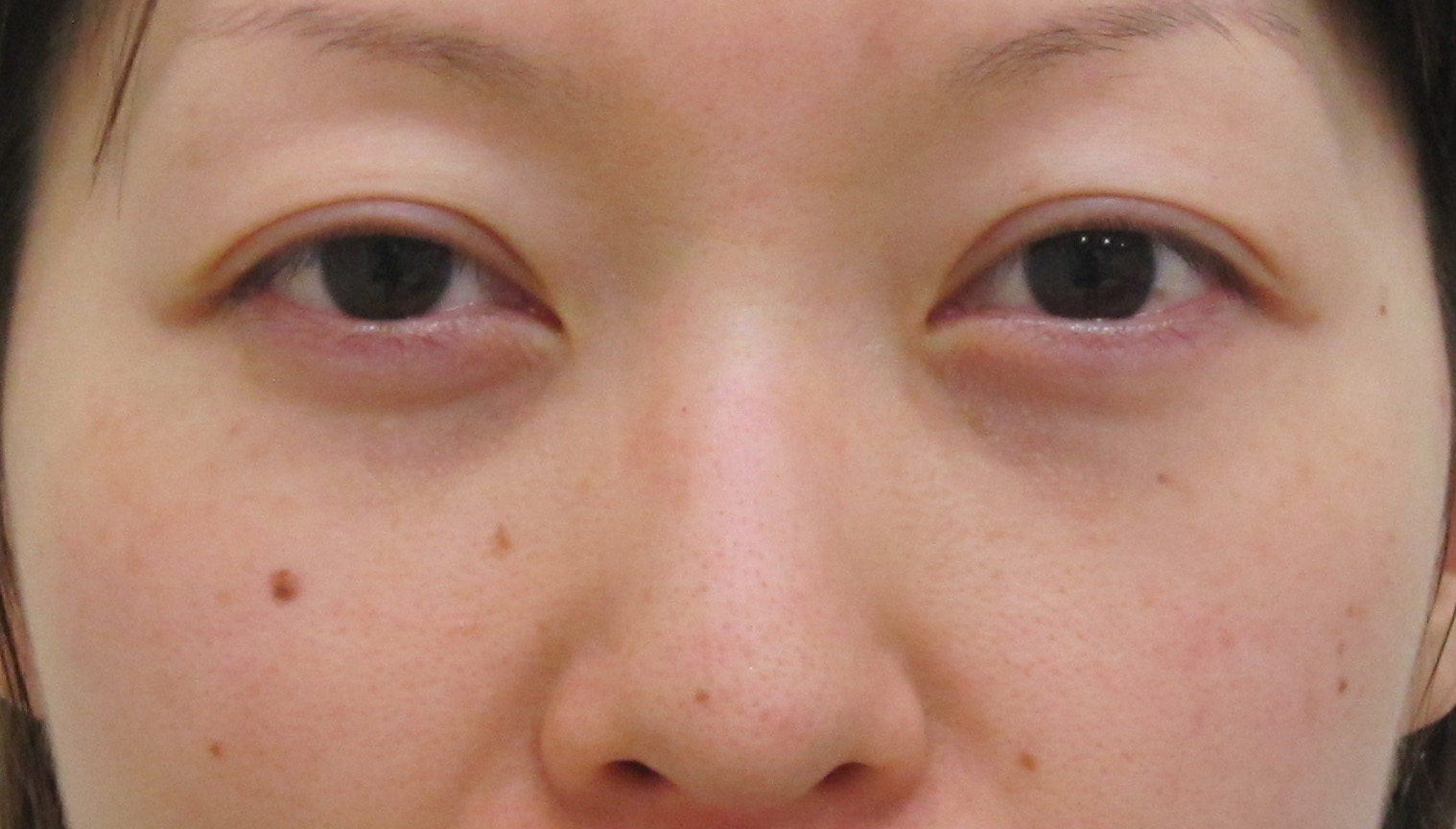
術前(メイクあり)・・・メイクをしても目の下の凹凸は残っています。
術直後・・・赤くなっているのは、冷やしているためで一時的なものです。
グロースファクターの注射の跡がよく見るとわずかにあります。
術直後はほとんど腫れはありません。
4日後・・・左の白目の内出血は、まぶたの裏側の結膜の傷からの血がにじんで透けて見えているためです。
これは1週間ほどで消えます。
グロースファクターはこの時点ではまだ効果が出ていません。
1か月後・・・腫れはほぼ引いています。
グロースファクターの最終結果は半年かかるので、この時期は何もせずに様子を見ていただきます。
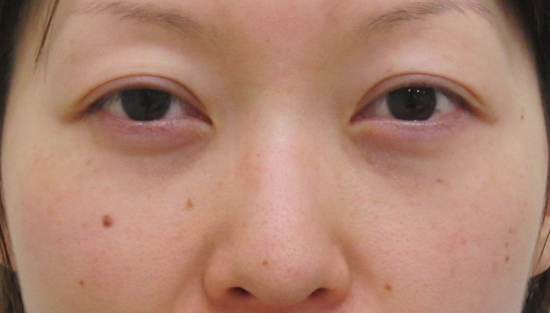
6か月後・・・きれいになっていますね。
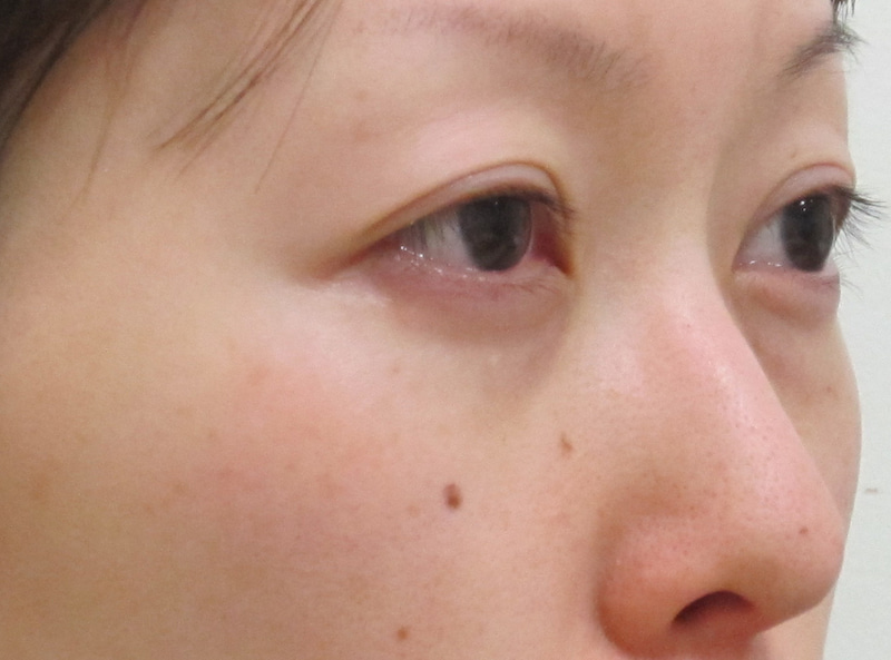
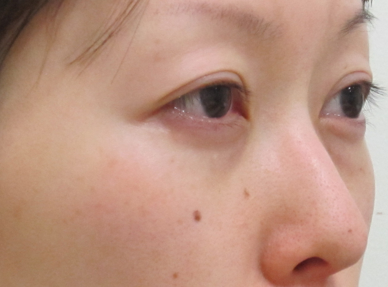
術前・・・斜めから見た状態の比較です。
6か月後・・・自然な仕上がりです。
青クマが多少透けて見えていますが、凹凸はほぼありません。
施術前・・・反対側です。
6か月後・・・すっきりした印象です。
術前・・・笑った状態の比較です。
6ヵ月後・・・笑っても違和感はありません。
また、グロースファクターにより皮膚のハリが出ることで、笑った時の小ジワも最小限にできます。
施術名:経結膜脱脂+グロースファクター
経結膜脱脂法の術前・術後に気をつけることやダウンタイムの詳細が気になりますよね?
経結膜脱脂法(目の下のたるみ取り治療)の詳細をご覧になりたい方は、次をクリックして下さい。
目の下のたるみ・クマは、グロースファクターの注射のみでも改善できることが多いです。
その場合、費用やダウンタイムが最小限で済み、脱脂後のシワを回避できることと、頬のリフトアップによる若返り効果も得られるというメリットがあります。
詳細をご覧になりたい方は、次をクリックして下さい。
目の下のたるみ・クマでお悩みの方は、解決方法がここできっと見つかると思います。
目の下のたるみ・クマの記事一覧をご覧になりたい方は、次をクリックして下さい。
実は、経結膜脱脂手術できれいに仕上げるためには、手術前の準備で9割が決まります。
逆に言うと、そこをクリアすれば、経結膜脱脂法で成功するのはそれほど難しいことではありません。
詳細は、以下をご覧下さい。
目の下の脱脂で失敗したり後悔したくないですよね?
当院または他院様で目の下の脱脂などを受けられ、後悔された方の分析と、そこから得られる失敗学について解説いたします。
よろしければ診断ツールをご利用ください
質問に答えていくタイプのツールです。
あなたの目の下のたるみ・クマの種類や状態、さらに適切な治療法が分かります。
次をクリックしていただくと、セルフチェックのページに移動します。
目の下のたるみ・クマの関連記事
症例写真
症例写真|脱脂+グロースファクター
症例写真|手術しない目の下のクマ治療
症例写真 | 目の下のクマ他院修正治療


















